手术亮点
遭遇挑战性颈动脉解剖时,例如迂曲呈“S”形或“C"形时,除使用双导丝技术外,也可借助中间导管输送并释放Nav6保护伞与颈动脉支架系统,使得治疗路径问题迎刃而解。
患者基本信息
患者:男性,76岁。
主诉:因“发现颈动脉狭窄3天”于7月29日入院
现病史:
· 患者1周前(7月23日)于凌晨4点突发左侧肢体麻木无力,无头晕头痛,无恶心呕吐,有双眼视物模糊,无耳鸣及听力下降。
· 2天后至常州当地医院就诊,完善头颅CT示双侧基地节区,放射冠腔隙性脑梗死。颈部彩超示右侧颈总动脉分叉处至颈外动脉起始处见一斑块,大小约16.2*7.6mm,该处狭窄约80%。予抗血小板聚集,调脂等治疗后出院。
· 现患者为进一步治疗至苏州大学附属第二医院进行就诊。病程中,患者神志清,精神可,食纳睡眠可,二便正常,近期体重无明显变化。
既往史:高血压病史10余年,收缩压最高180mmHg,口服美托洛尔23.75mg/d;冠心病病史10余年,口服阿司匹林100mg/pd;腰椎间盘突出术后,体内置入钢板;否认糖尿病等其余慢性病史;否认药物食物过敏史;否认其余手术史、外伤史及输血史。
入院查体:
· 神志清,精神可,口齿欠清,双眼裂对称等宽,双侧眼脸无下垂,双侧瞳孔等大等圆,直径2.0mm,对光反应灵敏,眼球各方向运动正常,无复视,双侧额纹,鼻唇沟对称,口角居中,伸舌居中;
· 右侧肢体肌力5级,左侧肢体肌力5-级,四肢肌张力正常,双侧浅感觉对称,双侧共济试验正常,四肢腱力对称引出,双侧巴氏征阴性。
· NIHSS评分:0分。
术前影像学检查
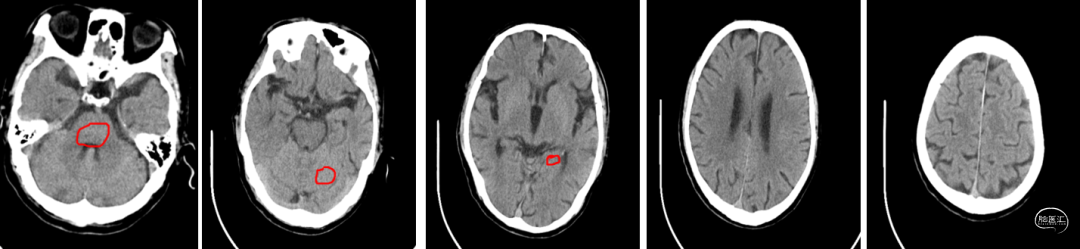
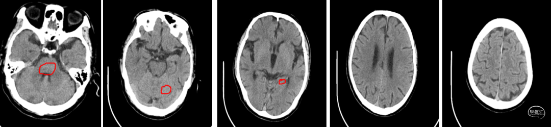
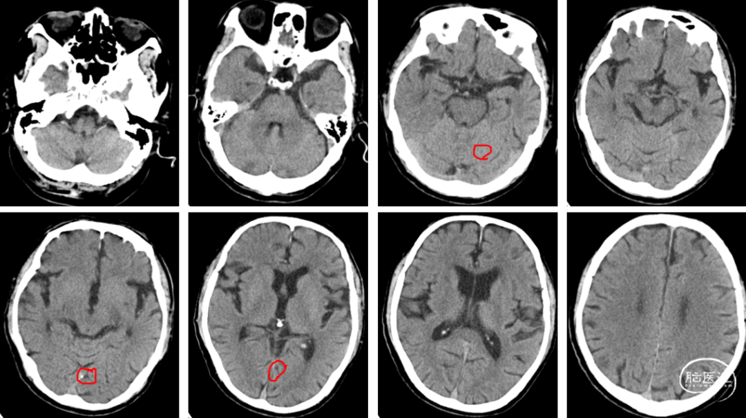
头颅CT(2024-07-25,外院):双侧基底节区,放射冠腔隙性脑梗死。

颈部彩超(2024-07-26,外院):
1、RCCA分叉处见一枚隆起性混合回声斑块,大小约14*2.7mm;
2、RCCA分叉处至ECA起始处见一枚不均质回声斑块,大小约16.2*7.6mm,该处狭窄约80%;
3、LCCA壁上见数枚隆起性混合回声斑块,其中左侧颈总动脉分叉处壁上一枚大小约6.3*2.6mm,双侧颈动脉粥样硬化,右侧颈总动脉分叉处至颈外动脉起始处狭窄。
· 90cm 长鞘
· 6F 115cm 中间导管
· 雅培 Emboshield Nav6保护伞
· 4mm*20mm 球囊
· 5mm*30mm 球囊
· 8mm*40mm 颈动脉支架
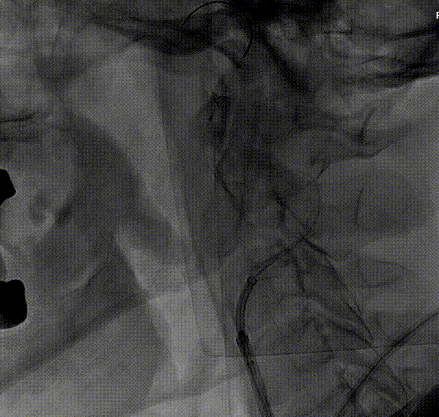
患者取平卧位置,常规消毒、铺巾和局麻右侧腹股沟下穿刺点后,穿刺置入5F动脉鞘,再以5F单弯行选择性脑动脉造影。造影示:II型主动脉弓,右侧颈内动脉C1段重度狭窄。


左侧颈动脉未见明显异常。
造影显示左侧椎动脉V1段中重度狭窄。


使用雅培Workhorse保护伞导丝先行通过病变狭窄处,随后将Emboshield Nav6保护伞沿导丝推送经过C1端弯曲处。借助Nav6保护伞的支撑,推送6F 115cm中间导管至C1远端,利用特洛伊木马技术将Nav6保护伞输送并放置于颈内动脉C1段。回撤中间导管,在透视状态下释放Nav6保护伞,Nav6圆周骨架在透视下显影清晰,定位准确。



将中间导管撤至颈总动脉,通过Workhorse导丝送入4mm*20mm球囊至右侧颈内动脉狭窄病变处,准确定位后以适当压力预扩狭窄病变,造影示狭窄改善不明显。撤出球囊,再次通过Workhorse导丝送入5mm*30mm球囊至狭窄病变处进行扩张,造影提示狭窄稍改善。


考虑到靶血管较迂曲,拟使用中间导管进行支架释放。在Workhorse导丝引导下,将中间导管通过迂曲段,经由中间导管送入8mm*40mm颈动脉支架至右侧颈内动脉狭窄处。回撤中间导管至颈总动脉后,在透视状态下准确释放支架。


造影显示残余狭窄小于30%,未进行后扩张。术后造影显示狭窄解除,支架置入部位满意,血流较术前明显改善。使用中间导管将Nav6保护伞顺利回收后,对股动脉穿刺点进行止血,患者安返病房。


Nav6由于其出色的安全性和独特的独立导丝技术,已成为CAS手术中术者常规应用的保护伞。在本病例中,由于患者颈内动脉起始处严重狭窄合并S形弯的解剖形态,使得保护伞和支架顺利到位变得挑战。在此类病变中,巧用6F中间导管并借助Nav6输送导管的有效支撑采用特洛伊木马及望远镜技术,可将保护伞顺利输送到C1远端平直处,为后续顺利治疗提供基础。
术者介绍
徐加平
苏州大学附属第二医院
苏州大学附属第二医院主治医师,讲师,医学硕士
专业技能:掌握神经内科常见病及多发病的诊断及治疗;擅长脑血管病的规范化诊疗及缺血性脑血管病的介入诊疗,专注于危重脑血管病的超早期急救,包括rt-PA静脉溶栓、动脉取栓、急诊支架成形术等多模式血流重建治疗
手术指导
肖国栋
苏州大学附属第二医院
主任医师,博士生导师
苏州大学附属第二医院神经科副主任兼神经介入亚专科&卒中病房主任
苏州市医学会神经病学分介入学组组长、中国研究型医院协会介入神经病学专委会常务委员、江苏省卒中学会神经介入专委会副主委、中国卒中学会青理会常委、中国医师学会神经病学分会介入学组委员、SVN杂志编审委等学术任职

声明:脑医汇旗下神外资讯、神介资讯、脑医咨询、Ai Brain 所发表内容之知识产权为脑医汇及主办方、原作者等相关权利人所有。
投稿邮箱:NAOYIHUI@163.com
未经许可,禁止进行转载、摘编、复制、裁切、录制等。经许可授权使用,亦须注明来源。欢迎转发、分享。
投稿/会议发布,请联系400-888-2526转3。