
病例分享
本期由:汕头市中心医院黄楚明、许楚凯、叶煜东教授为大家分享病例:Atlas支架辅助弹簧圈栓塞前交通及基底动脉尖动脉瘤一例。
病例详情
▶女性,64岁,因“头痛呕吐9小时余”于2024-02-21急诊入院。
▶既往史:既往高血压多年,未规律诊治。
▶查体:BP 202/110mmHg,P 70次/分。神志清,精神疲,构音障碍,双侧瞳孔等大等圆,直径2.5mm,对光反射灵敏,各向运动到位;鼻唇沟对称,伸舌居中;颈抵抗,颏胸距3横指;四肢肌力5级,巴氏征阴性。Hunt-Hess 2级。
术前影像
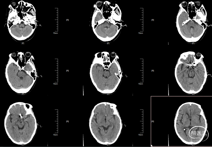
头颅CT见双侧外侧裂池、基底池、鞍上池高密度影,考虑蛛网膜下腔出血。

头颅CTA见前交通动脉、基底动脉多处瘤样突起,考虑动脉瘤;另见右侧大脑中动脉M1段以远闭塞。


DSA:

弓造影


左颈内动脉造影


右颈内动脉造影

3D造影

工作角度


右椎动脉造影

3D造影

工作角度
术前讨论
术前诊断
1.颅内动脉瘤破裂伴蛛网膜下腔出血
2.右侧大脑中动脉闭塞
3.高血压3级 极高危组
手术策略
结合瘤体形态及血肿灶部位,考虑前交通动脉瘤为此次责任病变,基底动脉尖动脉瘤拟行择期治疗
修正诊断:
1.前交通动脉瘤破裂伴蛛网膜下腔出血
2.基底动脉尖动脉瘤
3.右侧大脑中动脉闭塞
4.高血压3级 极高危组
一期前交通动脉瘤治疗
手术策略
手术策略:支架辅助弹簧圈栓塞术。

介入材料
8F 导引导管
6F 中间导管
Rebar-18微导管、SL-10微导管、Echelon 10微导管
Synchro 0.14×200cm微导丝
Target、Prime弹簧圈
Atlas支架4.0*21mm
手术精华
同轴技术建立通路:8F导引导管到位右颈内动脉C1段,6F 沃比中间导管送达海绵窦段。路图及微导丝指引下将塑形微导管送达前交通动脉瘤体处上部。


填塞Target 3*8mm弹簧圈半释放,另选SL-10微导管,微导丝指引下超选至同侧大脑前动脉A2段以远。


送入Atlas 4*21mm支架,释放并充分覆盖瘤颈,继续填塞弹簧圈成篮。



依次填塞Target 2mm*6cm、2mm*4cm弹簧圈、Prime 2mm*4cm、2mm*4cm、2mm*4cm弹簧圈、Target 2mm*3cm弹簧圈、Prime 1.5mm*4cm、1.5mm*3cm弹簧圈。




工作角度,见瘤体填塞致密。


正侧位造影。


术后转神经重症监护,留置腰大池引流管,予抗感染、解痉、补液、护胃、控制颅压、预防癫痫等治疗。
术后24小时复查头颅CT:

03-21复查头颅CT:

出院时患者神志清,精神可,四肢肌力5级。嘱继续服用抗血小板,择期返院行基底动脉瘤手术治疗。
二期基底动脉尖动脉瘤治疗
随诊期间患者无诉明显不适,06-28返院治疗,言语肌力基本正常,完善术前检查。
术前头颅CT:

介入材料
6F 长鞘
6F 中间导管
Rebar-18微导管、SL-10微导管、Echelon10微导管
Synchro 0.14×200cm微导丝、V18导丝
Target、Prime弹簧圈
Atlas支架4.0*24mm
手术精华
右颈内动脉造影复查,前交通动脉瘤愈合良好,未见复发。



建立通路:6F长鞘到位右侧椎动脉开口处,微导管微导丝+V18导丝支撑,同轴技术下将6F中间管送达右侧椎动脉V3段。



证实基底动脉多发狭窄并中段瘤样扩张,基底动脉尖动脉瘤,左侧椎动脉V4段重度狭窄,狭窄程度90%。


3D造影
工作位
路图及微导丝指引下将塑形J形SL-10微导管送达右侧大脑后动脉。


另选塑形Echelon 10微导管送至瘤体处,填塞Prime弹簧圈5*15mm。


经SL-10微导管推送Atlas支架4*24mm,半释放支架并充分覆盖瘤颈,继续填塞弹簧圈并解脱。


依次填入Prime弹簧圈3*6mm、3*6mm、2*4mm、1.5*2mm,将Atlas支架完全释放。



正侧位造影,见瘤体填塞致密。


患者术后一般情况平稳,复查头颅CT未见出血,出院随诊。
24小时后复查头颅CT:


手术总结
本例患者DSA示多发颅内动脉瘤,急诊CT见以鞍上池及外侧裂池蛛血为主,考虑前交通动脉瘤破裂为责任病灶。瘤体形态不规则,瘤颈宽,与载瘤动脉关系密切,栓塞需注意保护重要分支,且瘤体长轴与载瘤动脉角度较大,需行支架辅助弹簧圈栓塞。
患者基底动脉尖未破裂宽颈动脉瘤,观察3D造影见瘤体与右侧PCA关系较密切,经右侧PCA向BA放置支架,确保右侧PCA,也可一定程度抑制弹簧圈向左侧偏移;分叉角度较大,微导丝超选困难时可选择微导管塑形,且通过动脉瘤壁将导丝引导至大脑后动脉,但需注意导丝张力及远端推进阻力,避免对动脉瘤壁造成压力。
Altas支架使用XT-17或SL-10微导管释放,避免术中需进行导丝及支架导管交换,减少器械操作时间。
Altas支架为超低剖面立体激光雕刻工艺,支架柔软、从容输送、轻松到位,在小血管中易打开,径向支撑力好且具有一定后扩张力。
在粗细不均的血管中,Atlas支架可达到标称血管直径并贴壁形成“穹窿”效应,更好的阻挡弹簧圈。
专家简介

黄楚明
汕头市中心医院
主任医师,硕士研究生导师
汕头市中心医院神经内科脑血管病区副主任
汕头市中心医院潮阳分院脑血管病区主任
中国卒中学会神经介入分会青年委员
中国卒中专科联盟卒中急救地图专家委员会委员
广东省卒中学会缺血性神经介入分会副主任委员
广东省医学会第二届脑血管病分会常委兼神经介入学组副组长
广东省精准医学应用学会头痛分会副主任委员
广东省精准医学应用学会脑卒中分会常委
广东省医学会神经介入分会委员
广东省医师协会神经介入分会委员
广东省医师协会脑血管病医师分会第一届委员会委员
汕头市医学会神经内科学专委会常委

许楚凯
汕头市中心医院
主治医师,中山大学硕士研究生
广东省医学会脑血管病学分会青年委员
广东省神经危重症专业委员
广东省疑难疾病专科委员会委员
曾至北京天坛医院、漳州市医院进修学习,主持及参与多项市级课题,发表SCI论文及中文科技核心论文多篇

叶煜东
汕头市中心医院
住院医师,汕头大学硕士研究生
2022年硕士毕业于汕头大学医学院神经病学专业
主要从事神经内科、脑血管病的综合诊疗,擅长缺血性脑血管病的介入治疗,发表多篇国内期刊
视频学院H5 专区已上线
扫描左侧二维码或点击 “阅读原文”抢先体验!

声明:脑医汇旗下神外资讯、神介资讯、脑医咨询、Ai Brain 所发表内容之知识产权为脑医汇及主办方、原作者等相关权利人所有。








