病 例 分 享
复杂静脉窦血栓介入治疗:直窦新近血栓合并上矢状窦和优势横窦-乙状窦慢性血栓
病史简要:
患者:女,53岁
入院时间:2024-9-23
主诉:头痛1月余,加重伴反应迟钝和言语障碍2天
现病史:1个月来劳累后头痛,2天前出现反应迟钝和言语障碍,言语不能,无法理解他人语言,行走困难,饮水呛咳。外院诊断为静脉窦血栓,MRI示双侧丘脑静脉性梗死。予以抗凝和脱水降颅压等治疗。
既往史:反复头痛4年,诊断为抑郁状态。
个人史和家族史无特殊。
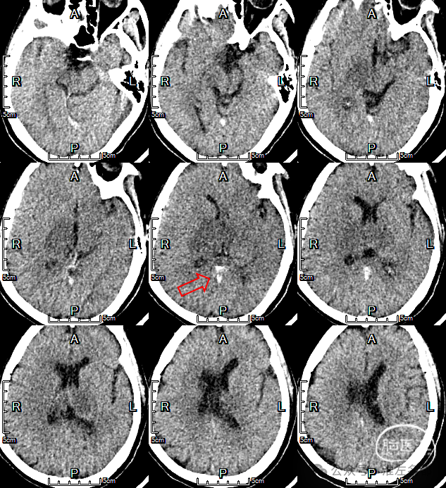
急诊多模式CT
2024-9-23 07:50

CT平扫:双侧丘脑低密度肿胀,直窦-大脑大静脉血栓高密度。

CT平扫(矢状位薄层重建):直窦-大脑大静脉-大脑内静脉-下矢状窦急性血栓高密度征。



CTV:左侧横窦-乙状窦细小,右侧横窦充盈缺损,深部静脉系统未见显影,上矢状窦显影不清晰。
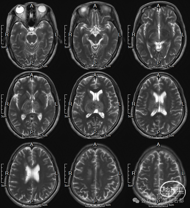
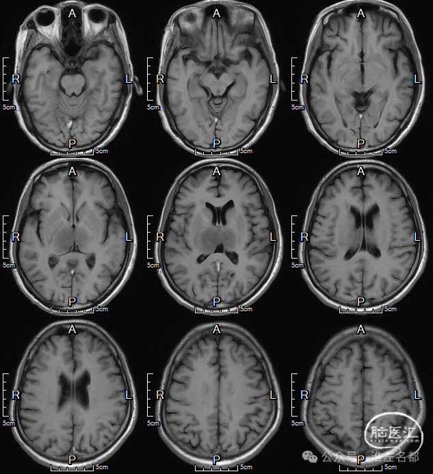
颅脑MRI
2024-9-25

T2

T1

FLAIR

DWI
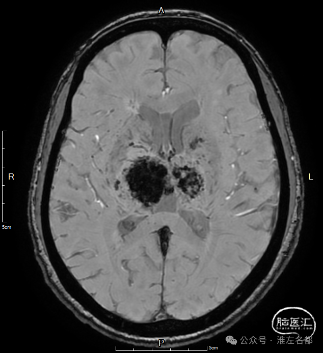
双侧丘脑和右侧内囊-间脑淤血性梗死、水肿和伴渗血。


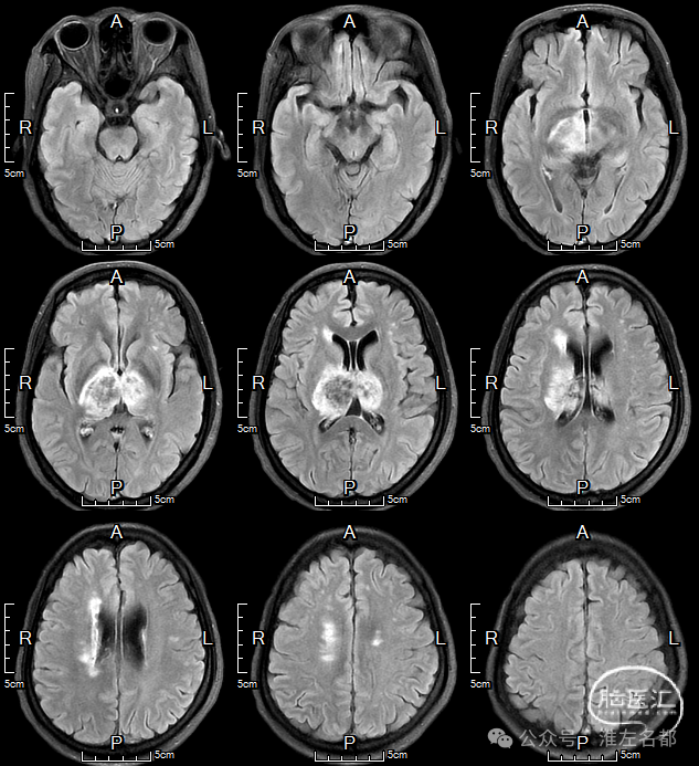
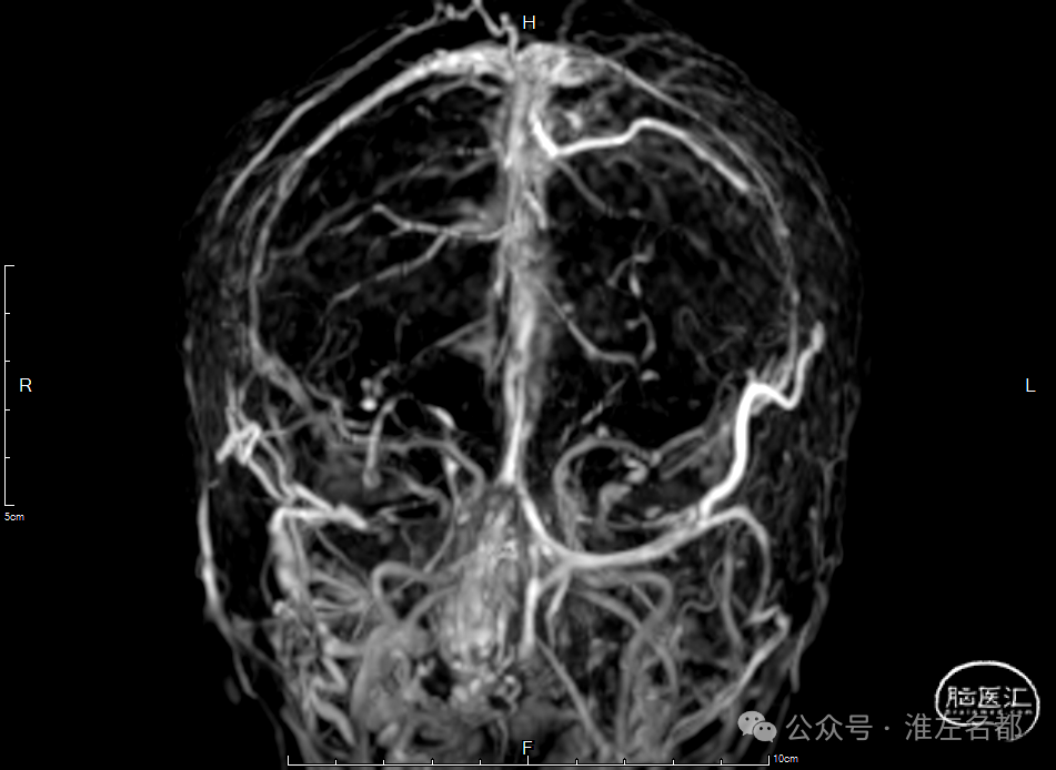
增强MRV:左侧横窦-乙状窦显影纤细;上矢状窦和右侧横窦-乙状窦充盈缺损;脑深部静脉和直窦未见显影。


SWI:双侧丘脑渗血改变,右侧基底静脉和大脑中静脉血栓。
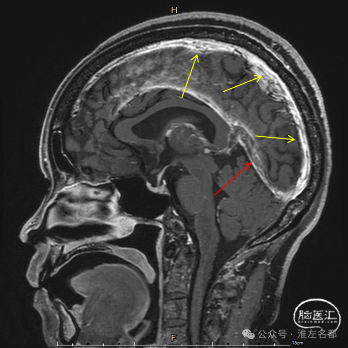
三维黑血高分辨T1


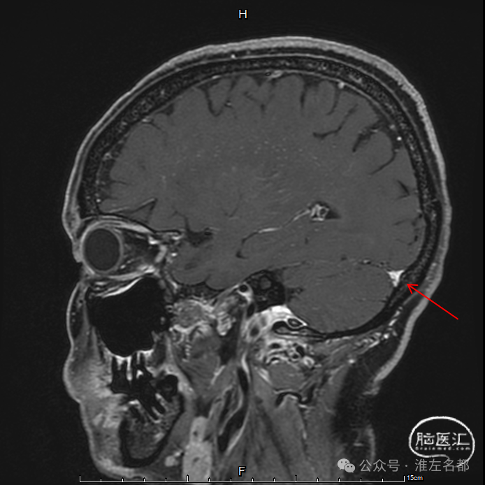
三维黑血高分辨T1平扫(上图)和增强(下图):右侧乙状窦慢性血栓,平扫呈等低信号,并显著强化。


三维黑血高分辨T1平扫(上图)和增强(下图):右侧横窦慢性血栓。


三维黑血高分辨T1平扫(上图)和增强(下图):上矢状窦慢性血栓;直窦内新进血栓(急性血栓等低信号,或亚急性血栓高信号,无强化)。


三维黑血高分辨T1平扫(上图)和增强(下图):左侧横窦发育细小。


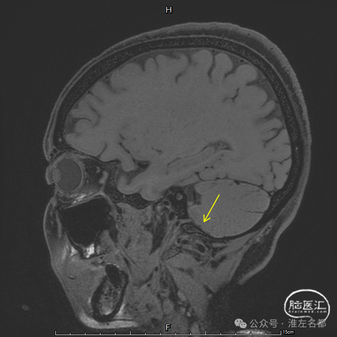
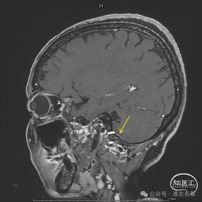
三维黑血高分辨T1平扫(上图)和增强(下图):左侧乙状窦局部未发育。
诊断评估
血液检测:出凝血、风湿、免疫、血管炎、甲状腺功能、肿瘤指标等未及明确异常,D-二聚体稍高于正常值,轻度贫血,蛋白S和蛋白C等未及异常。
双下肢静脉超声未及明确异常。
胸部DR:未及异常。
眼底照相:双侧视乳头水肿。

临床诊断
脑静脉窦血栓
直窦新近血栓
上矢状窦-右侧横窦和乙状窦慢性血栓
颅内压增高(视乳头水肿)
贫血(轻度)
治疗
抗凝:低分子肝素
脱水降颅压:甘露醇
对症治疗
如需要,血管内介入治疗
患者直窦血栓新近血栓,合并其他脑静脉窦广泛慢性血栓,且症状严重,预后差。交代病情后,家属同意介入治疗,并签署手术知情同意书。
血管内介入治疗
2024-9-26
局麻


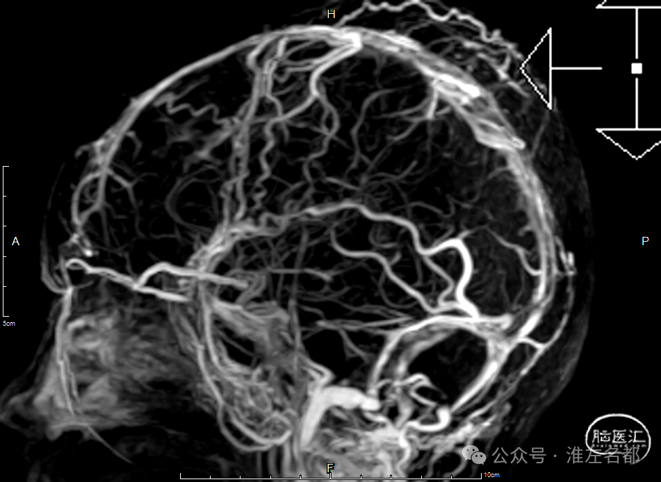
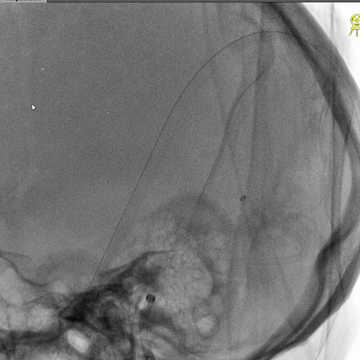
右侧颈动脉造影(正侧位):上矢状窦和直窦未见显影;右侧横窦和乙状窦少许显影。


左侧颈动脉造影(正侧位):上矢状窦前部少许显影,直窦未见显影,左侧横窦和乙状窦显影纤细。

右侧股动脉穿刺置5F鞘,股动脉造影路图下穿刺右侧股静脉,置入8F鞘。6F长鞘(90cm,Cook)+6F中间管(115cm)+4F多功能管(125cm)组成同轴,泥鳅导丝导引下进入右侧颈内静脉颅底位置。泥鳅导丝超选进入右侧乙状窦和横窦,4F多功能管跟进乙状窦一段距离后难以继续前进,此时6F中间管在内衬4F管支撑下进入乙状窦,并前推进入横窦,成功建立治疗通道。

微导丝(Command 14)微导管配合,进入上矢状窦中部,交换出微导管,保留微导丝作为参照,引导后续微导丝微导管超选直窦。

微导管微导丝(Command 14)超选直窦成功后,交换出微导管。经微导丝送入3*30mm球囊,扩张直窦近段,并以BAT技术将6F中间管推送入直窦内,行血栓抽吸操作,吸出多量红色血栓。

中间管对直窦中远段抽吸后,送入微导丝,在微导丝保持通路情况下,中间管回撤抽吸直窦近段。

完成抽吸后,中间管和微导管直窦内造影均显示直窦管腔部分再通,恢复引流,但直窦近段存在狭窄。

经微导管送入并释放取栓支架(S AB 6*30mm),并在直窦取栓一次,取出少量碎小红色血栓。

微导管配合下,微导丝通过长段慢性血栓进入上矢状窦前部真腔,后交换出微导管。

3*30mm球囊扩张上矢状窦中前部管腔,辅以球囊滑动技术。

4*30mm球囊扩张上矢状窦中前部管腔,辅以球囊滑动技术。





5*30mm球囊扩张上矢状窦和右侧横窦-乙状窦,辅以球囊滑动技术。

中间管造影:上矢状窦中后部和右侧横窦-乙状窦血液引流可。

微导丝微导管再次超选直窦,造影示直窦近段狭窄。

3*30mm球囊再次扩张直窦近段,辅以球囊滑动技术。

球囊扩张直窦后造影:直窦近段仍见狭窄。

微导管造影示:右侧横窦-乙状窦仍见明显狭窄。

直窦再次微导管造影:直窦血液引流可。


6*30mm球囊扩张右侧横窦-乙状窦和颅底位置颈内静脉,辅以球囊滑动技术。




介入治疗后右侧颈动脉造影:上矢状窦、直窦和右侧横窦-乙状窦均见显影,右侧横窦局部狭窄明显。
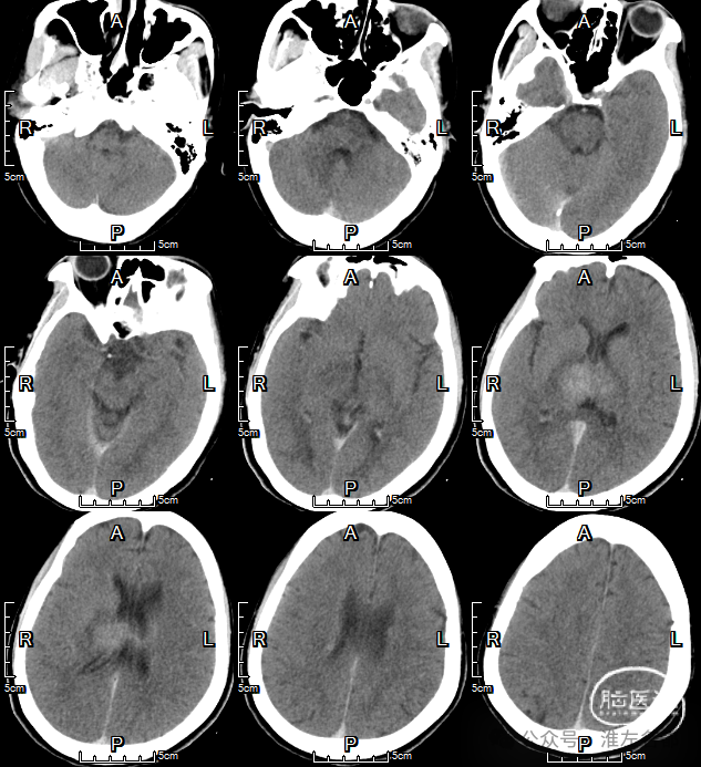
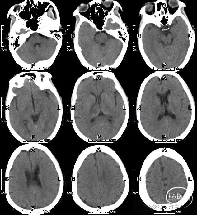
2024-1-26 术后即刻

CT平扫:双侧丘脑静脉梗死区域造影剂染色。
2024-1-27 术后第2日

CT平扫:右侧丘脑静脉梗死区稍高密度。


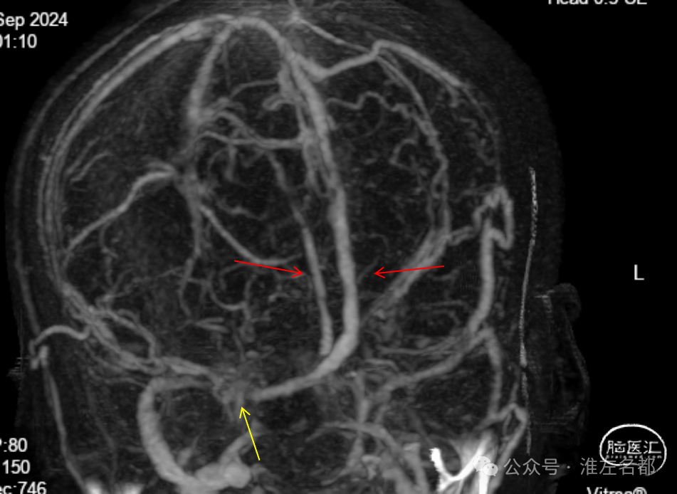
CTV:上矢状窦、直窦、右侧横窦-乙状窦再通显影,右侧横窦局部管腔狭窄明显。
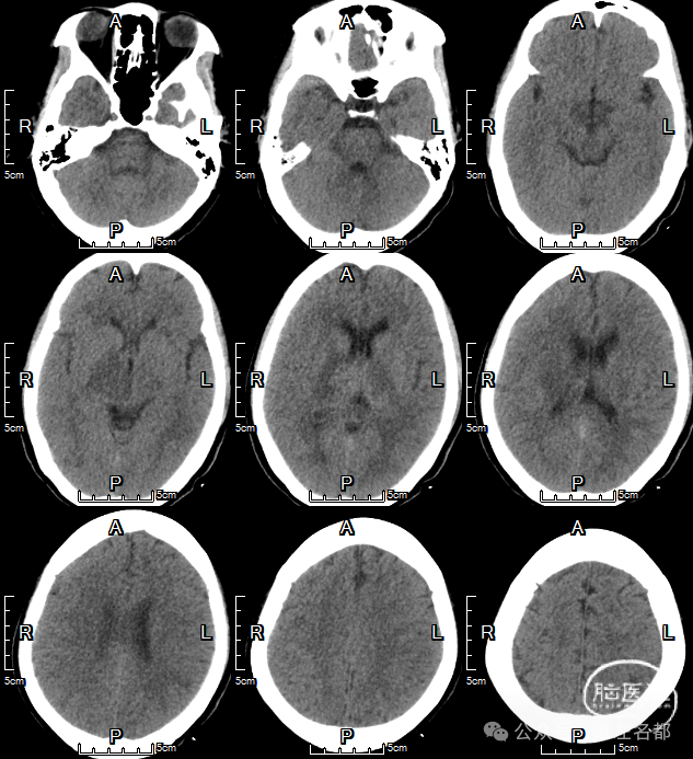
2024-10-2 术后第7天

CT平扫:双侧丘脑病变范围明显改善。
2024-10-14 术后第19天

CT平扫:仅见右侧丘脑和内囊少许低密度影。
患者术后症状逐渐改善,恢复良好,术后2周时:
能言语,对答
独立行走
术者简介
陈红兵
中山大学附属第一医院
中山大学附属第一医院神经科,副主任医师,医学博士,硕士研究生导师;
中华医学会神经病学分会神经介入协作组委员;
中国神内医师分会神经介入专委会委员;
中国研究型医院学会介入神经病学分会委员;
中国卒中学会脑静脉病变分会委员;
广东省健康管理协会介入专委会常委;
广东省医师协会脑血管病分会委员;
广东省卒中学会理事;
广东省临床医学会介入神经病学分会副主委;
长期从事缺血性脑血管病临床和科研工作,擅长神经介入和脑血管病影像。完成近千例神经介入治疗手术,熟练掌握各类缺血性脑血管病的择期和急诊手术,在复杂高危脑动脉缺血病变和脑静脉窦狭窄/闭塞介入治疗领域有一定造诣,尤其是脑静脉窦血栓闭塞介入治疗在国内处于领先水平。较早将管壁高分辨MRI和多模式CT技术应用于脑血管病诊治,极大提高了脑血管病的临床诊断水平,对药物和介入治疗具有重要指导价值;目前已应用于数千病例,积累了丰富经验,国内领先。
END
声明:脑医汇旗下神外资讯、神介资讯、脑医咨询、Ai Brain 所发表内容之知识产权为脑医汇及主办方、原作者等相关权利人所有。
投稿邮箱:NAOYIHUI@163.com
未经许可,禁止进行转载、摘编、复制、裁切、录制等。经许可授权使用,亦须注明来源。欢迎转发、分享。
投稿/会议发布,请联系400-888-2526转3。






