
病例展播
病例信息
患者:男性,56岁。
现病史:患者6个月前出现头晕,当地诊所给予口服“倍他斯汀片”未见明显好转,入院前15天出现一过性黑矇,言语不清,多在3-5分钟缓解入院。
既往史:高血压病15年,血压最高210/120mmHg,长期抽烟。
查体:神志清楚,体位自主,言语流利,双侧瞳孔等大等圆,对光反射灵敏,眼球活动正常,双侧鼻唇沟对称,伸舌居中,四肢肌力、肌张力正常,颈软,布氏征(-),克氏征(-),感觉及共济运动正常,病理征阴性。
影像信息
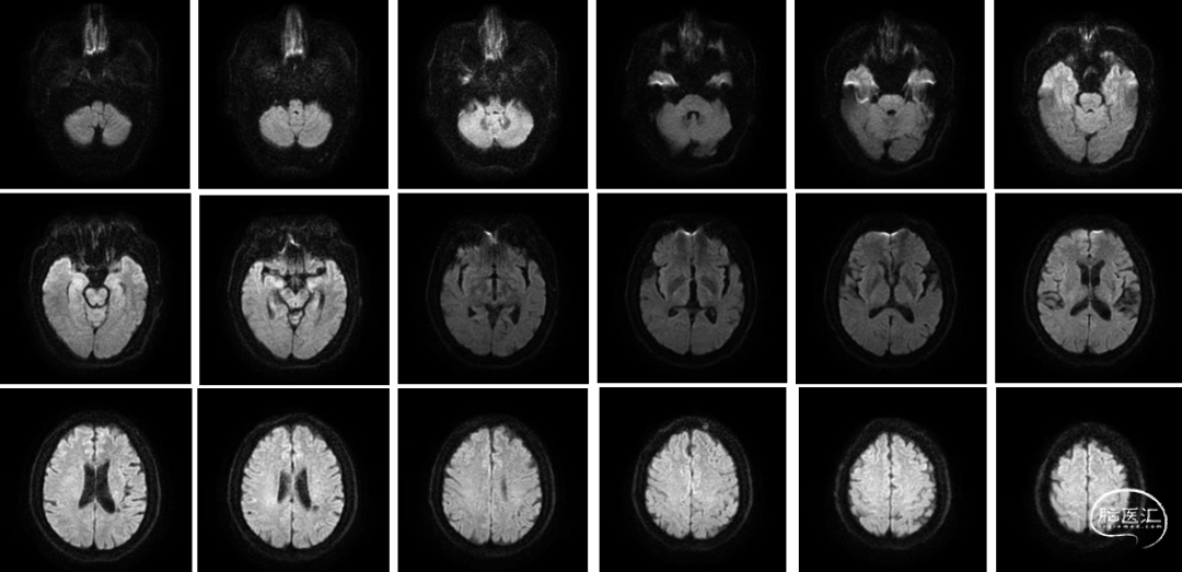
头颅MRI:未见新鲜脑梗死
DWI:

MRA:基底动脉重度狭窄



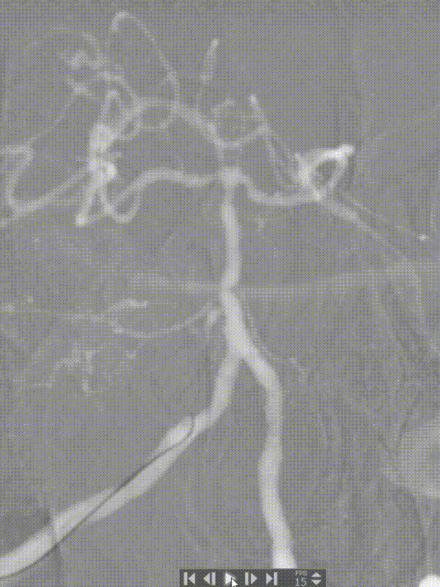
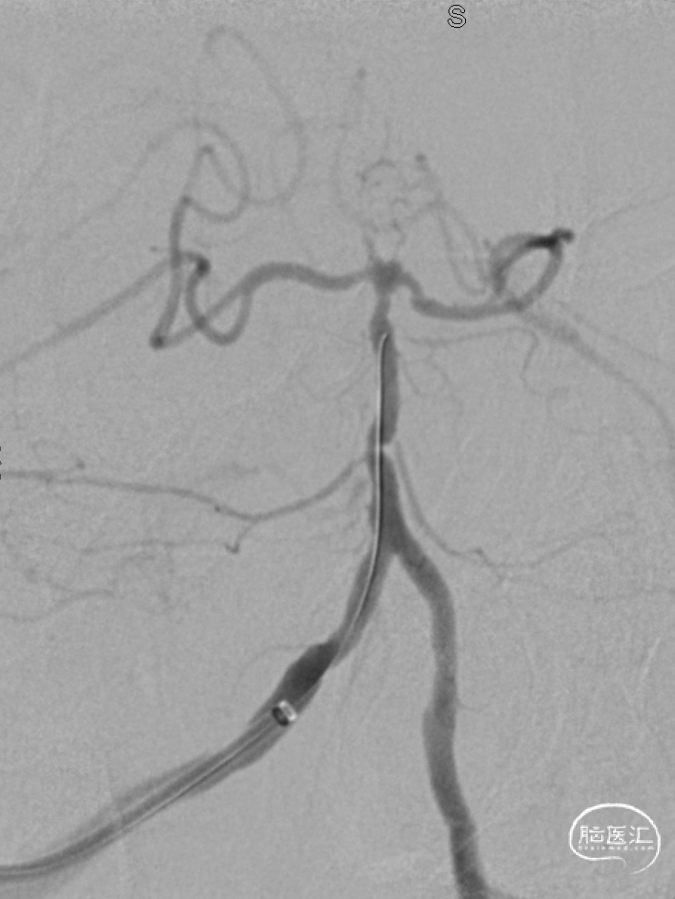
经桡入路造影




椎动脉后循环旋转造影

药物治疗
患者因家庭原因,暂缓手术,给予阿司匹林100mg+氯吡格雷75mg,QD双抗,阿托伐他汀降脂治疗后出院。
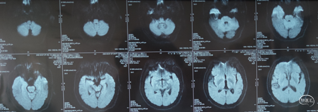
第二次住院,夜间再发头晕、呕吐、视物重影,约10分钟后好转。次日早晨来院,入院查体未见阳性体征,行急诊头颅MRI+DWI:未见急性梗死病灶。



术前诊断
1、短暂性脑缺血发作;
2、基底动脉中下段重度狭窄;
3、高血压病3级(极高危)。
术前讨论
➢手术风险及预案
微导丝穿透血管,形成夹层;预案:术中轻柔操作、路图下操作。
支架内急性血栓形成:术前严格双重抗血小板聚集治疗;术中给予欣维宁临时强化抗血小板聚集治疗;术后给予严格抗血小板聚集治疗。
穿支闭塞、栓塞、夹层形成:拟采取小球囊缓慢扩张的方式。
术中可能会出现过度灌注甚至脑出血情况;术中及术后严格调控血压,术前给予改善侧支代偿药物,术中减少造影剂的使用。
再狭窄:严格控制基础病,药物到位。
➢手术策略
手术方式:基底动脉狭窄球囊扩张+支架植入术。
结合患者病史及相关影像学检查,基底动脉为缺血事件的责任血管,可行支架植入术改善血管狭窄,减低卒中复发风险。
➢造影信息
造影示:右侧优势椎,经右侧椎动脉导弯造影,双侧胚胎型大脑后动脉。
➢术中难点
椎动脉V2、V3段迂曲,若不建立良好通路,则后续球囊支架无法到位释放。
基底动脉狭窄位于双侧AICA开口处,且无双侧PICA,其供血区由双侧AICA、SCA分支代偿供血。
术中如何扩张基底动脉的同时保护双侧AICA通畅是手术成功的关键。
手术器械
· 8F 动脉鞘
· 6F 90cm 长鞘
· 125cm多功能单弯导管
· 5F 115cm 通桥银蛇®颅内支持导管
· 0.014inch 200cm 微导丝
· 微导管
· 球扩支架 2.5*8mm
治疗过程
术前DSA:双侧后交通动脉开放。

R-CCA

L-CCA

R-VA

L-SUB-VA


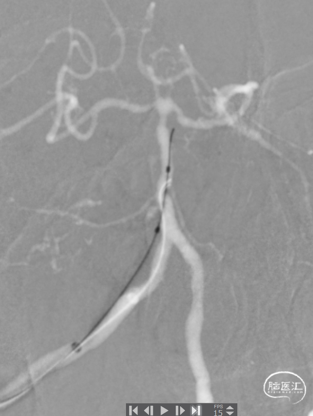
6F 90cm 长鞘+5F 115cm 通桥银蛇®颅内支持导管建立通路。
0.014in*200cm 微导丝超选,球扩支架 2.5*8mm到位。



充盈球囊支架释放。


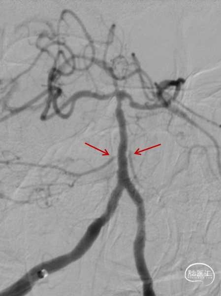
术后造影:基底动脉狭窄消失,双侧AICA通畅。





术后情况
➢术后处理
术后经动脉鞘给予替罗非班8ml,拔鞘后静脉泵入替罗非班8ml/h,至次日上午9点(早7点口服双抗后交替2小时)。
综合心电监测,密切观察患者意识状态、精神情况、四肢肌力。
观察股腹股沟局部有无血肿、出血,足背动脉搏动情况。
➢术后头颅CT

病例小结
基底动脉狭窄位于双侧AICA开口处,且无双侧PICA,其供血区由双侧AICA、SCA分支代偿供血。
基底动脉狭窄患者,斑块呈偏心性,而偏心性病变易破裂,并可能导致远端栓塞。
术中如何扩张基底动脉的同时保护双侧AICA通畅是手术成功的关键。
通桥银蛇®颅内支持导管具有优异的通过性,能够接近病变位置;具有优异的支撑性,为后续治疗器械的输送提供可靠的通路。
术者简介
侯晓辉
邢台医学院第二附属医院
神经外二科主任,副主任医师,副教授
河北省“三三三人才工程”人选,首都医科大学北京宣武医院硕士研究生,导师:张鸿祺教授
中国医师协会神经介入专业委员会青年委员;中国研究型医院协会神经外科学分会专家委员;河北省医学会神经外科委员会委员;河北省脑血管病介入专业委员会委员;河北省中西医结合学会小儿神经外科委员会常委
擅长脑脊髓血管疾病(如颅内动脉瘤、脑出血、脑脊髓血管畸形、动静脉瘘、烟雾病、急性脑梗死介入取栓、动脉溶栓、脑血管狭窄支架植入术、静脉窦血栓介入治疗、颈动脉狭窄内膜剥脱术等);垂体瘤、脑膜瘤、胶质瘤的微创手术治疗;三叉神经痛、面肌痉挛、癫痫、帕金森病等功能神经外科的治疗;颅脑外伤、脑积水、脊髓脊柱疾病的诊断及治疗
马魏魏
邢台医学院第二附属医院
主治医师,邢台医学院第二附属医院神经外二科
河北省医学会神经外科委员会委员
河北省脑血管病介入专业委员会委员
邢台市医学会神经外科分会委员
从事神经外科专业10余年。曾在首都医科大学宣武医院神经外科进修学习
擅长脑脊髓血管病的介入治疗和微创手术治疗

本内容仅供医学专业人士作线上专业交流
本内容不向非医学专业人士开放,敬请理解
讲课内容仅代表专家个人观点,非通桥医疗推广产品
声明:脑医汇旗下神外资讯、神介资讯、脑医咨询、Ai Brain 所发表内容之知识产权为脑医汇及主办方、原作者等相关权利人所有。
投稿邮箱:NAOYIHUI@163.com
未经许可,禁止进行转载、摘编、复制、裁切、录制等。经许可授权使用,亦须注明来源。欢迎转发、分享。
投稿/会议发布,请联系400-888-2526转3。







