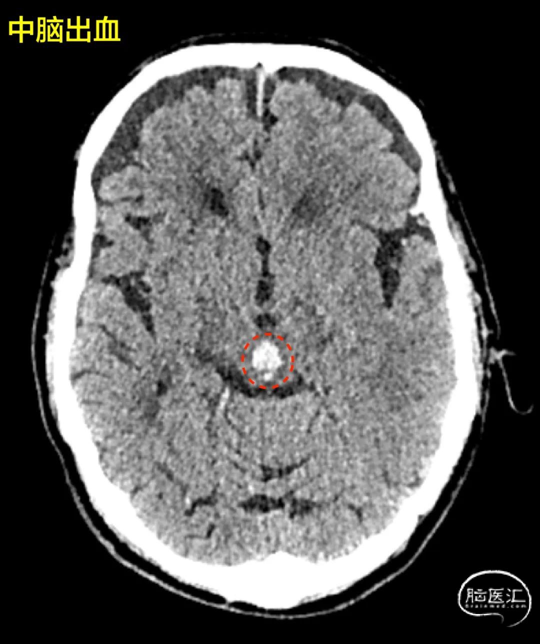
脑干出血咋办
脑干出血这事儿可真不一般,特别之处在于:
首先,这地方位置太关键了,就在脑干,这可是咱们人类能活着的关键部位;其次,脑干这地方还特狭小,稍微出点血人就承受不住了。再说,脑干内的神经核密密麻麻的,一不小心就被伤害到。

具体病因
至于原因嘛,海绵状血管瘤是罪魁祸首之一,但也不能忽视其他可能性:高血压弄出来的出血、动静脉畸形、血液系统出了问题,或者是抗凝治疗带来的并发症,都得考虑进去。
诊疗难点:
①选手术的路子真是头疼,太难搞了
②这手术风险高得让人心里直打鼓
③预测手术后咋样,那可真是复杂得要命
高血压性脑干出血、和海绵状血管瘤出血
1. 相同点:
症状看起来挺像的:突然间神经不太灵光了
一开始看片子不太容易分出来(主要看CT那些)
急性期的治疗方法也都差不多:保守治疗为主
预后好不好,得看出血多少和位置在哪里哦
2. 鉴别要点:
老年人啊,高血压闹起来,脑袋里出血就像炸弹爆炸,一般都是单个圆滚滚的球;
年轻力壮的中青年呢,要是摊上海绵状血管瘤,那形状就五花八门,歪歪扭扭的。
高血压的老人家,脑子里不光出血,还常常缩水,出现小洞洞;
而那些中青年,哪怕有血管瘤,脑子的基本结构还是棒棒哒。





3. 脑干出血的临床难点
脑干出血啊,说起来真是让人头疼:急性期的时候,核磁检查常常做不了;老年人呢,高血压和海绵状血管瘤可能一起来敲门;而且,病史有时候也不太完整。
4. 年轻的脑干出血
说到年轻脑干出血的患者,那可真是有点特别:
30岁以下脑干出血挺少见的,得高度怀疑是不是血管出了问题;例如有没有并发海绵状血管瘤,或者发育性静脉畸形?
复查核磁超级重要,这事儿可不能马虎。就算康复得再好,定期去看看医生也是必须的;随访核磁检查能发现的、那些藏着的血管畸形,对预防再出血有大帮助。


5. 脑干再出血的预防
至于预防再出血的建议嘛,简单说几条:
①血压得控制好;②剧烈运动就别做了;
③要是发现血管畸形,得赶紧评估一下,看看要不要治疗,看图:

声明:脑医汇旗下神外资讯、神介资讯、神内资讯、脑医咨询、Ai Brain 所发表内容之知识产权为脑医汇及主办方、原作者等相关权利人所有。




