话说三国演义里的张翼德,南征北讨,战无不胜,百万军中取上将首级,如探囊取物,凭什么?凭他手中一杆丈八蛇矛,此矛,头端是塑了弯儿哒!

但水浒传里的吕师囊,同样使一杆丈八蛇矛,却为何惨死于金枪手徐宁的枪下?因为,徐宁的钩镰枪,头端也是塑了弯儿哒,是更正确的弯儿!这就是微导管头端塑弯儿的典故。

好吧,笑话太冷了,列位看官都没笑,那咱就书归正传了,后面几回书专讲颅内动脉瘤栓塞术中微导管头端的塑弯儿。
所谓微导管塑形,是指通过蒸汽将微导管头端塑成一定角度的弯曲,再用冷水定形。目的:①利于管头进入动脉瘤腔;②管头在动脉瘤内位置稳定;③防止管头抵住动脉瘤壁造成破裂;④利用管头的朝向使弹簧圈在瘤腔内适宜地分布。


微导管头可以塑一个弯儿,顶多塑两个弯儿,第一个弯儿(远心端的弯儿)顺应动脉瘤体跟载瘤动脉的成角,第二个弯儿(近心端的弯儿)顺应载瘤动脉本身的曲度。一般来说没必要再塑更多的弯儿。

按照管头形状,大致分三种:
①直头(不塑形)
②平面弯儿(单向弯儿:45°预塑形,90°预塑形,J形,C形;反向弯儿:S形,Z形)
③立体弯儿(类螺旋)
在这里需要强调两个细节:①熏蒸时间,一般在30 s左右,时间过短微导管头的塑形不能维持,时间过长则会损害微导管的亲水涂层。②不同公司的微导管在物理性能上有差异,例如Headway 17微导管,属于1:1塑形,意思是用塑形针塑好形状,熏蒸定型后撤除塑形针,形状会维持原貌。而Echelon 10微导管在熏蒸定型后撤除塑形针,形状会有反弹,所以如果要使Echelon 10微导管头端塑成C形,则需要用塑形针将其头端过塑为猪尾形。
举若干简单例子,供新手参考,久经沙场的老油条可以忽略。以下三个病例用不需塑形的直头微导管即可完成:
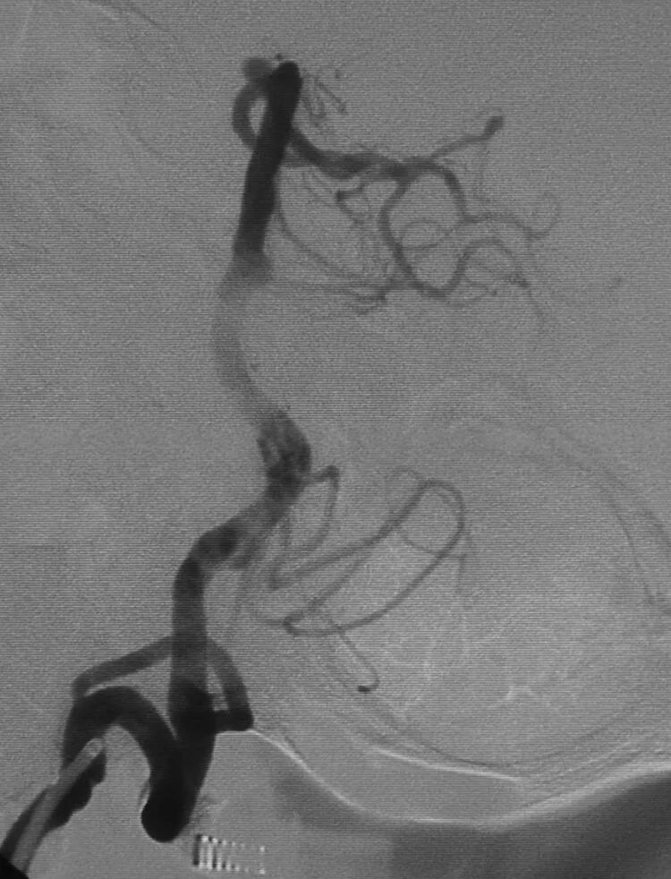
典型病例1

基底动脉顶端动脉瘤,瘤体长轴跟基底动脉主干平行
典型病例2
这个前交通动脉瘤,瘤体长轴跟ACA A1段平行,也可用直头微导管栓之。

前交通动脉瘤,瘤体长轴跟ACA A1段平行
典型病例3

眼动脉瘤,位于颈内动脉虹吸弯前膝稍远心端,向上方生长
以下两个病例,则需要把微导管头塑成J形或C形:
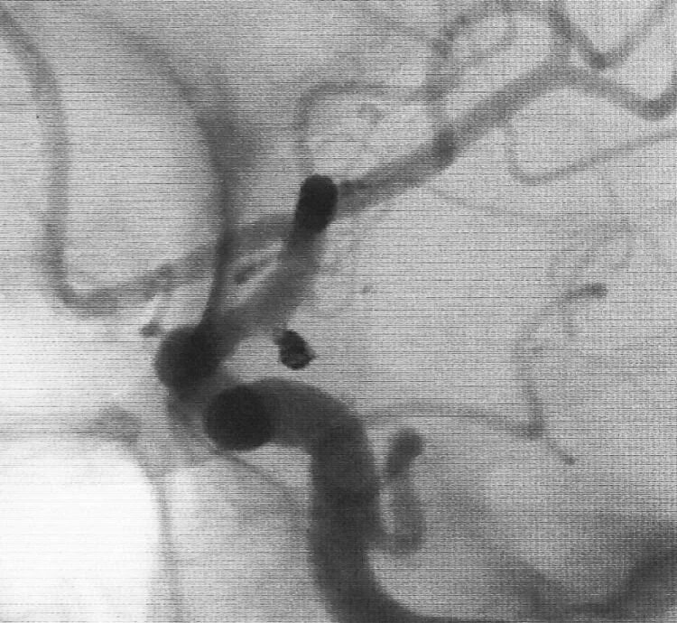
病例1

后交通动脉瘤,朝外下方生长,欲把微导管头塑成C形,需塑两个弯儿,第一个弯儿(蓝箭头)顺应动脉瘤体和颈内动脉C1段的成角,第二个弯儿(绿箭头)顺应颈内动脉虹吸弯前膝的弯度,更近心端的弯儿(黑箭头)不用塑形,是微导管在载瘤动脉内的自然成形


栓塞后的工作位造影和蒙片
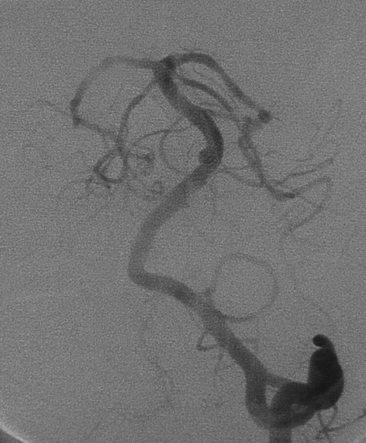
病例2

前交通动脉瘤,同理可把微导管头端塑成C形栓塞之,第一个弯儿(蓝方框)便于头端进入瘤腔,第二个弯儿(绿方框)顺应ACA A1段自颈内动脉发出的弧度。更近心端的弯儿(黄方框)不需塑,是微导管顺应动脉路径的自然成形
病例3


垂体上动脉瘤,起自颈内动脉虹吸弯前膝稍远心端,向后下内方生长,如果用Echelon10微导管栓塞,则需用塑形针把微导管头端塑成猪尾形。当然,如果追求更精准,则需塑一个立体弯儿,且按下不表,后回书中自见分晓
以下五个病例,则需把微导管头塑成S形或Z形:
病例1

前交通动脉瘤,朝向上方生长,微导管头端塑反向两个弯儿(绿圆圈)呈S形
病例2

另外一例前交通动脉瘤,微导管头端同上塑反向两个弯儿(绿圆圈)呈S形
病例3


血泡状动脉瘤,微导管头塑成Z形,应用LVIS支架结合弹簧圈完美栓塞
病例4

眼动脉瘤,不同于前面那个用直头微导管栓塞的眼动脉瘤,此瘤发出点据颈内动脉虹吸弯前膝更远,所以微导管头塑成S形更适合
病例5

基底动脉顶端微小动脉瘤,是个有欺骗性的病例。从下面这个角度的造影看,瘤体长轴跟基底动脉主干平行,似乎用直头微导管栓塞即可



但从侧位造影和CTA观察,其实瘤体长轴还是跟基底动脉主干有成角的。这家医院的DSA机器没有三维重建工作站,只能参考CTA

于是我们把微导管头塑成S形




顺利完成该动脉瘤的栓塞。所以,要多角度观察动脉瘤跟载瘤动脉的解剖走行,即使硬件上没有三维工作站,咱们头脑中也要有立体构象,不要一叶障目,被狡猾的敌人所欺骗
上面的例子都是单微管栓塞瘤腔,那么,在使用双微管技术栓塞动脉瘤时,该当如何塑形?大致原则是,两根微导管的塑形要有差异,使管头指向不同,以实现分区填塞动脉瘤腔。兹举例如下。
经典病例

牛角状后交通动脉瘤


使用双微管技术栓塞,两根微导管分别送入动脉瘤的两个分叶,远端分叶角度舒缓,用45度预塑形微导管栓塞;近端分叶成角较锐,把另一根微导管的管头塑成更勾的C形进入近端分叶栓塞之

扁平状的前交通动脉瘤



仍然用双微管技术栓塞,一根直头微导管进入瘤体上部,另一根微导管头端塑成C形进入瘤体下部,分区栓塞该瘤

基底动脉顶端宽颈动脉瘤







应用Solitaire支架结合双微管栓塞,一根微导管是45°预塑形的,管头置于瘤体中央(浅管),另一根微导管管头塑成C形,沿瘤底深入到瘤体右侧角(深管)
茶歇后继续,容我由浅入深娓娓道来,双微管技术讲完了,那么应用更复杂的三微管技术栓塞动脉瘤又有什么讲究呢?道理如出一辙,之所以要费劲巴拉使用多微管栓塞,是为了实现瘤腔的分区填塞,故此我们要提前计划好每根微导管负责的区域,继而每根微导管所需要的塑形也就心中有数了。以前的美篇讲过三微管技术,此处不再赘述。


三微管栓塞颅内动脉瘤,后交通动脉瘤合并胚胎性大脑后动脉——多管齐下
以上概述权作引子,后回书会陆续推出实战病例,用图片和视频展示微导管塑形和超选动脉瘤的细节。先透露第一个实战病例,是最常见的颅内动脉瘤——前交通动脉瘤:








