70岁,右利手女性。
因急性左侧无力、麻木和忽视入院。
CTA显示右大脑中动脉近端闭塞。给予静脉注射替萘普酶治疗,并进行紧急血管内治疗。血管造影期间,发现左肺尖肿块(图1.A)。抽吸取栓成功复通取出的血栓为米色和凝胶状(图1.C)。脑磁共振成像显示右基底节梗死面积小,无脑转移。

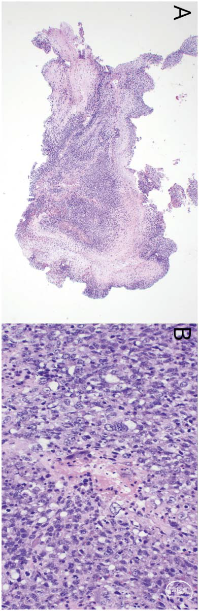
栓子的病理学显示分化较差的恶性肿瘤,可能是癌症(图2)。

肿瘤栓塞引起的全身或脑动脉闭塞很少见,通常与肺癌、血源性侵袭或心房粘液瘤有关。正如本病例所强调的那样,早期血运重建可以带来良好的功能结果。
Neurology
. 2024 Oct 8;103(7):e209880. doi: 10.1212/WNL.0000000000209880. Epub 2024 Sep 5.
Teaching NeuroImage: Tumbolism: Acute Cerebral Occlusion Due to Carcinoma Embolus
*文章转载自“脑血管病及重症文献导读”,脑医汇获授权转载发布
声明:脑医汇旗下神外资讯、神介资讯、脑医咨询、Ai Brain 所发表内容之知识产权为脑医汇及主办方、原作者等相关权利人所有。
投稿邮箱:NAOYIHUI@163.com
未经许可,禁止进行转载、摘编、复制、裁切、录制等。经许可授权使用,亦须注明来源。欢迎转发、分享。
投稿/会议发布,请联系400-888-2526转3。





