
前言
卒中是人类致死、致残的重大疾病之一。我国卒中的发病率逐年上升,目前,卒中已成为我国第一位死亡原因。在新发患者中,缺血性卒中占总体的85%。因此,急性缺血性卒中 (acute ischemic stroke,AIS) 的救治水平关系到我国居民的健康状况。
AIS治疗的关键在于尽早开通阻塞血管,挽救缺血半暗带。虽然静脉溶栓 (intravenous thrombolysis,IVT) 是治疗AIS的有效方法,然而对于急性大血管闭塞性缺血性卒中 (AIS with large vessel occlusion,AIS-LVO) 的血管再通率较低,疗效欠佳。
病例展播
1
病例信息
患者:男性,64岁。
主诉:左侧肢体无力5小时办理入科。
既往史:高血压病史10年,最高180/90mmHg,口服药物不详。
入院查体:T 36.6℃,P 95次/分,R 20次/分,BP 167/104mmHg。嗜睡,构音障碍,双瞳孔等大等圆,对光反射灵敏,右侧凝视,左侧鼻唇沟变浅,伸舌不合作,左侧肢体肌力0级,病理征阳性。
2
影像信息
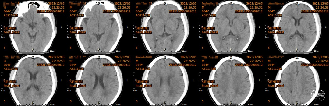
颅脑CT示:
1.双侧侧脑室旁及右侧额顶叶多发脑梗死;
2.脑白质变性。

头颈部CTA




DSA







3
入院诊断
1、脑梗死;
2、高血压病3级(极高危)。
3、NIHSS评分14分,mRS评分4分。
4
术中器械
· 8F 通桥大禹™球囊导引导管
· 6F 通桥银蛇®颅内支持导管
· 0.014in*200cm 微导丝
· 2.0*15mm 球囊
· 6.0mm 保护伞
· 5.0*30mm 球囊
· 9.0*40mm 颈动脉支架
5
治疗过程
近端阻断血流+远端保护方式开通血管:
· 8F 通桥大禹™球囊导引导管到位颈总动脉末端,6F 通桥银蛇®颅内支持导管到位颈内动脉闭塞段近端;
· 沿着通桥银蛇®颅内支持导管同时送入微导丝、小球囊,充盈通桥大禹™球囊导引导管;
· 微导丝通过闭塞段置于C1段远端,小球囊置于颈内动脉闭塞段,充盈球囊;
· 应用特洛伊木马技术同时前送通桥银蛇®颅内支持导管、球囊,将通桥银蛇®颅内支持导管置于颈内动脉闭塞段远端,撤出微导丝、球囊,由近及远用20ml注射器回抽通桥银蛇®颅内支持导管,直至无血栓抽出。


造影,颈内动脉未见血栓,颅内动脉较前未见明显减少,无明显血栓逃逸。

沿着6F 通桥银蛇®颅内支持导管送入6.0mm保护伞,释放保护伞,撤出导管。沿保护伞导丝送入颈动脉球囊,行球囊预扩。

置入9.0*40mm 颈动脉支架,解除通桥大禹™球囊导引导管压力,回收保护伞,伞内可见少量脱落血栓。


复查造影支架成形良好,颅内较前无明显改变,未发现血管减少影像,供血较前明显改善。
导管内缓慢推入盐酸替罗非班氯化钠注射液8ml,以8ml/h持续静脉泵入。


6
术后情况
MRI示右侧颞顶叶及胼胝体急性脑梗死。




复查颈部动脉彩超示:双侧颈动脉内-中膜不均匀增厚伴斑块(多发),右侧颈动脉支架术后-支架内血流通畅,左侧颈动脉球部狭窄(70-99%),右侧椎动脉全程细(生理性),右侧锁骨下动脉斑块。
出院查体:BP 169/76mmHg,神志清楚,轻度构音障碍,双瞳孔等大等圆,对光反射灵敏,双侧鼻唇沟对称,伸舌居中,左侧肢体肌张力正常,肌力5级,腱反射适中,病理征阳性。右侧肢体肌力5级,腱反射适中,病理征阴性。
7
术者体会
使用BGC近端阻断技术,阻断近端血流,使术中产生的斑块等脱落物不会流到颅内,术中球囊阻断后回抽血液,可使术中产生的固体物质(血栓或斑块等)排出体外。
通桥大禹™球囊导引导管头端较柔软,可轻松到达颈内动脉C1段,且可减少对颈内动脉损伤造成夹层或刺激而导致血管痉挛的几率;适配8F长鞘,在复杂的血管条件下通过性能良好。通桥大禹™球囊导引导管充盈球囊后再行抽吸或支架拉栓,或抽拉结合,可有效防止血栓逃逸而导致远端细小分支闭塞,提高血管再通效率。
术者简介
魏玉清
邢台市中心医院
主任医师,邢台市中心医院神经内二科主任
加拿大哥伦比亚大学高级访问学者
2019国家脑卒中防治工程突出贡献专家
河北省有突出贡献的中青年专家
河北省“三三三工程”二层次人才
邢台市拔尖人才
邢台市第七批市管专家
邢台市优秀科技人才
许英冬
邢台市中心医院
副主任医师,毕业于河北医科大学临床医学系
中国卒中中心神经介入学会会员
邢台市脑血管病学会理事
曾于北京首都医科大学宣武医院深造,从事神经内科医疗工作10余年,积累了丰富的临床经验,熟练掌握神经内科诊疗技术。擅长急性脑血管病的规范化治疗,以及脑梗塞所有的手术和支架治疗,包括颈动脉狭窄、脑血管狭窄、急诊取栓

本内容仅供医学专业人士作线上专业交流
本内容不向非医学专业人士开放,敬请理解
讲课内容仅代表专家个人观点,非通桥医疗推广产品
声明:脑医汇旗下神外资讯、神介资讯、脑医咨询、Ai Brain 所发表内容之知识产权为脑医汇及主办方、原作者等相关权利人所有。
投稿邮箱:NAOYIHUI@163.com
未经许可,禁止进行转载、摘编、复制、裁切、录制等。经许可授权使用,亦须注明来源。欢迎转发、分享。
投稿/会议发布,请联系400-888-2526转3。








