
主 编:刘建民 海军军医大学第一附属医院
执行主编:赵开军 同济大学附属东方医院
题目:机械取栓治疗急性超时间窗的进展性脑梗死
Title:Mechanical thrombectomy for acute progressive ischemic stroke beyond the time window
摘要:81岁老年女性,突发言语含糊、左侧肢体无力2小时就诊。MRI检查仅提示右侧颈内动脉闭塞伴大面积低灌注。给予静脉溶栓后行药物治疗。发病第3天,患者出现肢体无力和意识的加重。DSA证实了右侧颈内动脉末端闭塞。结合DSA影像特征及心电图提示房颤,考虑为心源性栓塞,先后采用了抽吸技术和支架取栓技术。运用球囊导管顺利取出大量血栓,颈内动脉恢复再灌注。
Abstract: An 81-year-old female patient presented with sudden slurred speech and left limb weakness for 2 hours. MRI revealed occlusion of the right internal carotid artery (ICA) with extensive hypoperfusion areas. She underwent intravenous thrombolysis followed by medication management. On the third day, the patient experienced worsening limb weakness and increased consciousness. Digital subtraction angiography confirmed the right ICA occlusion. Given the characteristics of the DSA image and the presence of atrial fibrillation on ECG, the patient was diagnosed with cardioembolism. Both aspiration and stent thrombectomy techniques were employed. Utilizing the BGC system, the embolus was successfully removed, leading to complete reperfusion of the ICA.
前言
既往急性缺血性脑卒中患者的再灌注治疗有严格的时间窗限制,但随着组织窗影像学的运用日益成熟,再灌注治疗窗口不断被延长。目前临床实践中,对于部分超时间窗且病情持续进展的患者,影像学评估存在大面积可挽救脑组织,血管再通治疗后仍可获益。
病例简介
患者:女性,81岁。
主诉:突发左侧肢体无力2小时。
现病史:入院前2小时无明显诱因突发左侧肢体无力伴言语不清,主要表现为左下肢乏力、行走不稳,言语稍含糊,无意识不清、吞咽困难、饮水呛咳等其他不适;急诊我院,颅脑CT排除脑出血,心电图提示房颤。
既往史:否认高血压、糖尿病等疾病。
查体:神清,言语稍含糊,左侧肢体肌力4级。(NIHSS评分3分)。
诊断:1.脑梗死 ;2.房颤。
术前影像学资料
头颅CT平扫:未见出血。






头颅MRI:DWI未见明显病灶。

颅脑MRA+ASL提示右侧颈内动脉闭塞可能(蓝色箭头),伴低灌注;左侧颈内动脉末端狭窄可能(红色箭头)。


充分告知病情及继续进展可能,家属协商后要求药物保守治疗。
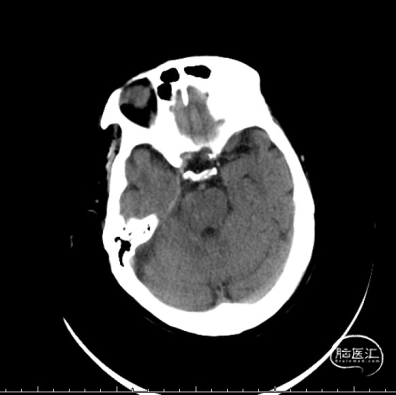
溶栓后24小时复查CT:额叶可见低密度病灶。

发病第3天,病情进展:意识转昏睡伴左侧肢体肌力0级。
复查头颅CT示右侧额叶、尾状核头、侧脑室旁低密度灶。






头颅MRI提示额颞叶、基底节区多发脑梗死。

颅脑MRA+ASL提示右侧颈内动脉闭塞可能,大脑中动脉显影欠佳,伴低灌注。


发病第三天行急诊造影
DSA评估:II型弓。

DSA评估:后交通开放(蓝色箭头),代偿至大脑中动脉供血区。


DSA评估:前交通开放,左侧大脑中动脉经软膜支逆向代偿至左侧大脑前动脉A2段,并经前交通代偿至右侧大脑中动脉供血区。


DSA评估:右侧颈外动脉未经眼动脉侧枝代偿。


DSA评估:右侧颈内动脉血流速度缓慢,C1段末端以远闭塞。

治疗方案
术前病情分析:DSA提示右侧颈内动脉C1段末端以远闭塞,局部可见“杯口”征;经前后交通代偿供血。结合心电图提示房颤,病因分型考虑为心源性栓塞可能性大。
治疗策略
1.球囊导管近端保护,中间导管抽吸减容、远端支架取栓。
2.发病时间较长,存在大负荷血栓可能,术中需注意栓子逃逸的可能。
3.颈内动脉远端血管走行路径不清,中间导管选择时兼顾通过性。
术前药物准备
术前常规备药:
1.右美托咪定2支+生理盐水100ml
2.地西泮2支
3.丙泊酚1支
4.多巴胺4支
5.乌拉地尔4支
6.替罗非班1瓶
7.罂粟碱1支
8.阿托品2支
器械材料和设备
1、穿刺短鞘:8F 穿刺鞘
2、导引导管:BGC Flowgate2 8F*95cm
3、抽吸导管:ACE 60 132cm、AXS Catalyst 6(无其他可用导管)
4、微导管:ev3 Rebar-18
5、微导丝:Synchro 0.014inch*200cm
6、取栓支架:Solitaire AB 6mm/30mm
治疗过程
2.6m长导丝交换,将Flowgate2 球囊导管+4F多功能鞘组送至右侧颈内动脉C1段近端。

路图下,将中间导管送至C1闭塞段近端,在BGC近端阻断下,先后使用ACE60、Catalyst 6导管持续负压下抽吸,抽出大量血栓(ACE60导管反复抽吸后出现堵管,负压下撤出后发现头端损坏)。

中间导管负压下抽吸受阻(蓝色箭头处)反复尝试无法通过。

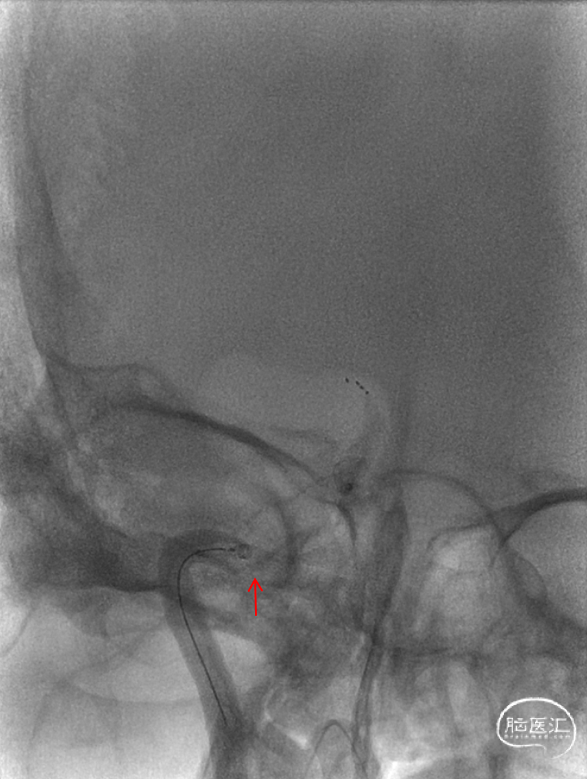
遂Rebar-18微导管在Synchro微导丝引导下送至C6段(导丝前行受阻),冒烟证实ICA末端血栓(红色箭头)。

Rebar-18微导管送至RMCA M1段近端,冒烟证实为远端血管通畅(蓝色箭头)。

释放SAB 6-30支架,即刻造影见支架位置偏近,颈内末端血栓(蓝色箭头)。


在取栓支架锚定下,将中间导管通过岩骨段(红色箭头)并送至眼动脉近端(白色箭头),冒烟见颈内末端血栓。


Rebar-18微导管(白色箭头)原位回收支架,重新释放支架(红色箭头)。维持3分钟,支架锚定下将中间导管送至闭塞段近端,撤出微导管,打开三通继续前送中间导管至未见回流后连接负压抽吸(三通+2个50ml),抽拉结合回收支架。


颈内动脉末端仍闭塞(红色箭头),再次释放支架支RMCA M2段。维持3分钟后,回收支架,支架及抽吸装置内见数枚血栓,质韧。


血栓取出后,复查造影示右侧颈内动脉及大脑中动脉血管顺利再通,右侧大脑前动脉远端血管稀疏。


治疗过程
术后24h查体:昏睡,查体欠合作,左侧肢体肌力0级,NIHSS 10分。
术后72h查体:嗜睡,查体部分合作,左侧肢体肌力2级,NIHSS 8分。
术后12天出院:神清,左侧肢体肌力3级,NIHSS 4分。
术后药物指导
术后予中性治疗,积极控制血压(110-120mmHg),继续予营养神经、改善循环、调脂稳斑、雾化、抗感染、维持电解质稳定、营养支持等治疗。
术前影像学的随访
术后复查CT:未见出血。

术后第1天复查CT:低密度病灶未见扩大,未见出血转化。

术后第4天复查CT:大致同前。

术后第10天复查CTA:右侧颈内动脉及大脑中动脉通畅。

讨论
1、随着急性大血管闭塞引起缺血性卒中的治疗方式的改变,越来越多的卒中患者通过取栓治疗获益。然而,临床中许多患者仍因为种种原因错过取栓治疗时间窗,对于这类患者行取栓治疗的风险-获益比,目前仍不明确。相比其他患者,本病例具有高龄、超窗时间长(72小时),血栓负荷量大、出血转化较高的特点,在充分权衡风险获益及充分沟通的情况下,采取急诊取栓治疗后,患者仍可能获益。
2、本病例因发病时间长,血栓负荷量大,术中需重点预防血栓逃逸的风险;因此该患者拟采用BGC球囊导管进行近端保护,眼动脉段近端采取中间导管抽吸进行血栓减容,眼动脉以远采取抽拉结合的策略。术中发现中间导管通过困难,先将微导丝+微导管超选至大脑中动脉,释放支架进行远端保护后,并在支架锚定下顺利将中间导管到位。
3.该例为心源性卒中,且其术前CT提示病灶较大面积显影,相对ICAS病变,存在更高的出血转化风险;右侧颈内动脉血管顺利再通,考虑大脑前动脉闭塞血管较远、细小且核心梗死集中于该区域,遂未行右侧大脑前动脉的血管再通,术后予积极控制血压,未发现出血转化的发生。
学习要点
1.超时间窗的患者,存在更大负荷量血栓的可能,需采取BGC近端阻断和远端支架保护等措施,尽可能降低血栓逃逸的风险。
2.相比ICAS病变,心源性栓塞虽然存在更高的出血转化可能,但是在谨慎权衡风险获益下,超时间窗的患者行取栓治疗,也可能获益。
专家点评:兰泉教授

1.BGC球囊导管可以有效减缓或阻断前向血流,减少血栓脱落风险。因此对于血栓大负荷量大,栓子逃逸风险高,非串联病变的大血管闭塞患者,采取近端保护的措施是合理的。同时,采用BGC时需考虑主动脉弓型情况,避免因路径迂曲导致导管无法到位或导管打折的情况。
2.该病例因超时间窗导致血栓负荷量大,且路径走形不清晰,因此中间导管的选择应尽可能选择更大口径的导管,同时兼顾通过性,可能更为合理。此外,心源性的血栓质地较韧,部分病例可出现导管导丝通过困难的情况,此时需鉴别夹层、狭窄等其他病因可能,谨慎操作。
3.对于超时间窗的脑梗死患者,急诊取栓是否获益,目前尚无高级别的循证依据。在真实临床实践中,对于超过24小时时间窗的患者需要更严谨的术前评估来实现取栓治疗的获益。
点评专家简历

兰泉
厦门大学附属第一医院
副主任医师,医学博士
厦门大学附属第一医院神经介入病区组长
厦门市介入取栓联盟专家组成员
中国卒中联盟厦门分会秘书长
中国微循环学会颈动脉学组委员
福建省医学会神经病学分会神经介入学组委员
中国医药教育协会眩晕专业委员会青年委员
脑血管防治协会医体融合与脑健康专业委员会委员
中国老年医学会神经医学分会青年委员
术者简介

郑良城
厦门大学附属第一医院
厦门大学附属第一医院神经内科介入组成员
长期从事神经内科的临床,科研及教学工作;主要致力于脑血管疾病的筛查、诊治和研究。
目前参与省市级课题两项,发表文章数篇。

于子雯
厦门大学附属第一医院
医学硕士,主治医师
厦门大学附属第一医院神经内科介入组成员
主要从事脑血管病(介入方向),2022年9月于长海医院进修神经介入;目前已独立完成脑血管造影数百台,可独立完成颈动脉支架植入术、椎动脉及锁骨下动脉植入术及急诊取栓等手术。
科室简介
向上滑动阅览

点击上方图片

声明:脑医汇旗下神外资讯、神介资讯、脑医咨询、Ai Brain 所发表内容之知识产权为脑医汇及主办方、原作者等相关权利人所有。