


FXTAS(脆性 X 震颤共济失调综合征)
背景:
● 脆性 X 相关震颤/共济失调综合征 (FXTAS) 是一种由脆性 X“前突变”引起的进行性退行性运动障碍,定义为 FMR1 基因 1 的 5'-非翻译区有 55-200 个 CGG 重复。前突变可在后续世代中(卵子发生期间)扩展为完全突变,导致脆性 X 综合征。
临床表现:
● 典型表现是 50 岁以后发生的运动性震颤和小脑共济失调。其他临床表现包括认知能力下降、痴呆、精神障碍、周围神经病变和自主神经功能障碍。受影响的女性通常病情较轻。
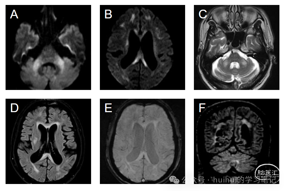
主要诊断功能:
● FXTAS最常见的特征是MCP征(小脑中脚T2高信号),见于60%的男性患者和13%的女性患者。
● 第二个主要影像学特征是胼胝体压部T2高信号,与MCP征一样常见,也更常见于男性。FLAIR高信号可见于小脑的椎旁区域。
● 其他影像学特征:脑桥、岛叶、脑室周围白质T2高信号,弥漫性脑和小脑萎缩,小脑上、中脚、大脑脚、穹窿、终纹各向异性分数明显降低。
鉴别诊断:
● 神经元核内透明包涵体病 (NIID) – 在临床和放射学上与 FXTAS 非常相似。皮肤活检(FXTAS 和 NIID)可显示嗜酸性核内包涵体。需要进行基因测试来区分这两者(就像我们的例子一样)。
● 迟发性缺氧后白质脑病 – 通过参与皮质下白质的弥漫性汇合弥散限制来模拟,保留 U 纤维、皮层和深部脑结构。长期脑低氧或 CO 的临床病史有助于诊断。
● ALERD/ASED – 通过参与模拟特征“明亮的树木外观”,这代表广泛皮质下白质中 DWI 的高信号强度,并具有树枝的外观。长时间癫痫发作和发热性疾病的典型临床病史有助于诊断。
● 海洛因诱导的白质脑病 – 典型的临床表现是对称性受累于内囊后肢、皮质脊髓束、皮质周围皮质下白质、小脑白质和小脑中脚(所谓的 MCP 征的原因之一)。相邻的灰质结构和皮质下 U 纤维幸存。
● 其他有 MCP 体征的情况 – MSA-C(临床病史和热十字包子征)、CARASIL(临床和脑桥弧征)和 JC 病毒颗粒细胞神经病(缺乏典型的幕上影像学表现)。
治疗和预后:
● FXTAS 的进展速度是可变的,症状出现后的预期寿命为 5 至 25 年。FXTAS 患者存在 MCP 征与更严重的认知缺陷和较长的症状史相关。目前,尚无针对 FXTAS 的疾病缓解治疗方法。正在试验的药物包括:美金刚(NMDA 阻滞剂)、allopregnanolone(GABAA 受体变构调节剂)、胞磷胆碱以及姜黄素和胡椒碱药物的新治疗方法。
声明:脑医汇旗下神外资讯、神介资讯、神内资讯、脑医咨询、Ai Brain 所发表内容之知识产权为脑医汇及主办方、原作者等相关权利人所有。




