病 例 分 享
轻型卒中,BA闭塞,进展加重,经股建立通路困难,改桡入路,取栓一次再通

病例摘要:
1、患者轻型卒中,多模式CT示基底动脉闭塞,考虑粥样硬化闭塞可能大;后病情加重,此临床特征进一步支持粥样硬化闭塞判断。然而,急诊血管内治疗中于闭塞基底动脉支架取出一明确血栓,后造影示基底动脉自身无病变,故此次闭塞应是血栓栓塞所致。
2、以轻型卒中起病的基底动脉栓塞本就少见,而在短时间继而进展加重的基底动脉栓塞就更是罕见。虽最终未能查明栓塞来源,猜测可能的原因为:血栓进入椎基底动脉,由于血栓质地较硬,加之基底动脉自身管径较小,故此硬质血栓卡顿于基底动脉近端,因侧枝循环部分代偿基底动脉中远段血流,或硬质血栓未完全阻断血流,故发病初期症状轻;后因侧枝衰竭,或血栓因血流持续冲击变形迁移而完全阻断血流,缺血程度加重,进而症状进展。
3、根据术前急诊CTA结果,左椎动脉颅内段显影不清,故决定经右椎动脉入路。
4、术前CTA示弓形和弓上血管情况,预测经股穿刺治疗难度不大;出乎所料的是,因右锁骨下动脉迂曲和右椎动脉V1曲折,导致经股路径建立通道难度大,经改变策略尝试失败后,为节约时间,故果断改经桡穿刺。
5、经桡鞘,选择中间管建立治疗通路,内衬4F长多功能管,利用其头端指向性辅助微导丝超选,及其支撑性助力上高微导管和中间管。
6、因预判是基底动脉粥样硬化性闭塞可能大,故选择支架取栓,先清除血栓。
7、术前CTA示双侧胚胎型后交通,故微导丝和微导管未尝试超选大脑后动脉,微导管头端置于基底动脉远端。
8、考虑到双胚胎后交通时,基底动脉管径一般比较小,故回收取栓支架时6F中间管只是行至基底动脉近端,未敢深入其中。
病史简要:
女,70岁
发病到院时间12小时
症状:右侧肢体无力伴言语含糊
NIHSS:5
既往高血压
急诊多模式CT
颅脑CT平扫:脑白质改变,余未及其他明确异常。
CTA:基底动脉闭塞,双侧胚胎型后交通,基底动脉尖部可见造影剂充盈;弓上血管迂曲明显,双侧椎动脉V1段均见明显曲折,左侧椎动脉颅内段显影不清,但可见右侧椎动脉颅内段延续至基底动脉闭塞近端。
CTP:脑干和小脑广泛TTP延长,但未见明显CBV和CBF严重降低区域。
到院5小时后症状加重,NIHSS:21
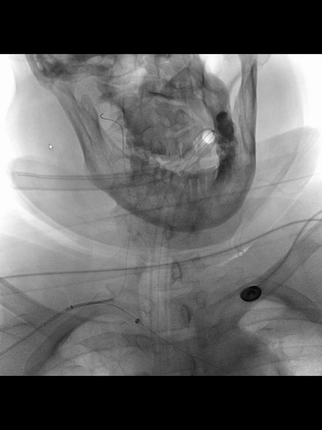
急诊血管内介入治疗
右股动脉穿刺置8F短鞘,5F长多功能管(125cm)和6F长鞘(90cm,Cook)组成同轴,导丝导引下5F管头端进入右锁骨下动脉。
长鞘跟进到右锁骨下动脉近端。
5F管沿导丝送至右腋动脉,经此管送入一.018"导丝(Command 18),其头端置于右肱动脉远端,保留导丝,交换出5F管,.018"导丝作悬吊支撑用。
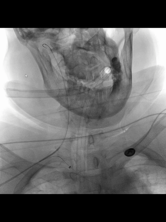
微导管(Rebar 18)配合微导丝(Command 14)尝试超选右椎动脉,但微导丝头端难以通过V1的曲折管腔;后长鞘内衬一4F长多功能管增强支撑和指向性,但微导丝仍然难以克服右V1的曲折。
微导丝头端改塑形状后,还是克服不了右V1曲折。
穿刺右桡动脉,置入6F桡鞘;4F长多功能管(125cm)和Navien 072(105cm)组成同轴,泥鳅导丝导引下,4F管头端行至右锁骨下动脉近端。
经4F管送入先前的微导管微导丝,微导丝顺利通过右V1曲折,跟进微导管过程中,支撑不足,弹回右锁骨下动脉。
调整4F头端位置和方向,经数次尝试后,微导丝再次进入右椎动脉,并克服V1曲折上高到V3。
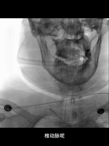
后续微导管顺利跟进到V3,撤出Command 14导丝,送入0.18"导丝(Commmand 18)导丝增强支撑,此时中间管沿微导管微导丝推送到V3。
中间管被进一步推高到V4近端。
更换synchro微导丝,在微导管配合下,超选入闭塞基底动脉,并把微导管送至基底动脉远端;考虑到双侧胚胎型后交通,过程中并未尝试微导丝超选大脑后动脉。
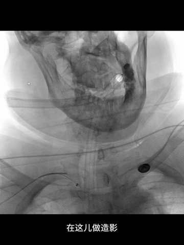
经微导管送入一4*20mm取栓支架(S AB),释放支架后造影示闭塞再通,支架头端恰好位于基底动脉远端。
考虑到双胚胎后交通,基底动脉管径一般比较小,故回收取栓支架时6F中间管只是行至基底动脉近端,未敢深入其中。
取栓后造影示:基底动脉再通,如之前预判,其管径确实细小;同时造影剂逆流至左椎动脉V4段,显示其管径明显纤细。
中间管回撤至右V1开口处造影示:V1曲折处未见损伤征象。
取出的血栓。
术后患者意识很快清醒,且四肢可自主活动,住院期间因误吸而气管插管和呼吸机辅助呼吸,后气管切开。
术后1个月复查的颅脑CT
CT平扫:左脑桥见一小片状低密度梗死灶。
术后一个月,神志清晰,四肢肌力4-5级,气管切开,转它院继续康复。
住院期间经充分评估,未发现基底动脉栓塞的潜在原因。


术者简介
陈红兵
中山大学附属第一医院
中山大学附属第一医院神经科,副主任医师,医学博士,硕士研究生导师;
中华医学会神经病学分会神经介入协作组委员;
中国神内医师分会神经介入专委会委员;
中国研究型医院学会介入神经病学分会委员;
中国卒中学会脑静脉病变分会委员;
广东省健康管理协会介入专委会常委;
广东省医师协会脑血管病分会委员;
广东省卒中学会理事;
广东省临床医学会介入神经病学分会副主委;
长期从事缺血性脑血管病临床和科研工作,擅长神经介入和脑血管病影像。完成近千例神经介入治疗手术,熟练掌握各类缺血性脑血管病的择期和急诊手术,在复杂高危脑动脉缺血病变和脑静脉窦狭窄/闭塞介入治疗领域有一定造诣,尤其是脑静脉窦血栓闭塞介入治疗在国内处于领先水平。较早将管壁高分辨MRI和多模式CT技术应用于脑血管病诊治,极大提高了脑血管病的临床诊断水平,对药物和介入治疗具有重要指导价值;目前已应用于数千病例,积累了丰富经验,国内领先。


END
声明:脑医汇旗下神外资讯、神介资讯、脑医咨询、Ai Brain 所发表内容之知识产权为脑医汇及主办方、原作者等相关权利人所有。
投稿邮箱:NAOYIHUI@163.com
未经许可,禁止进行转载、摘编、复制、裁切、录制等。经许可授权使用,亦须注明来源。欢迎转发、分享。
投稿/会议发布,请联系400-888-2526转3。