由温州医科大学附属第一医院神经外科带来节细胞胶质瘤1例,欢迎阅读、分享!
患者:女,24岁,既往体健。
主诉:晕厥伴一过性意识丧失15天。
现病史:患者15天前无明显诱因下突发晕厥,伴有意识丧失,无四肢抽搐,无口吐白沫,无呼吸困难,数分钟后症状好转,神志转清,遂于当地医院查CT示“右侧颞叶囊性占位”。
入院查体:神志清,双瞳等大,光反射存在,面纹称,伸舌中,颈软,心律齐,双肺呼吸音清,四肢活动自如,肌张力不高,腱反射不亢,病理征(-)。
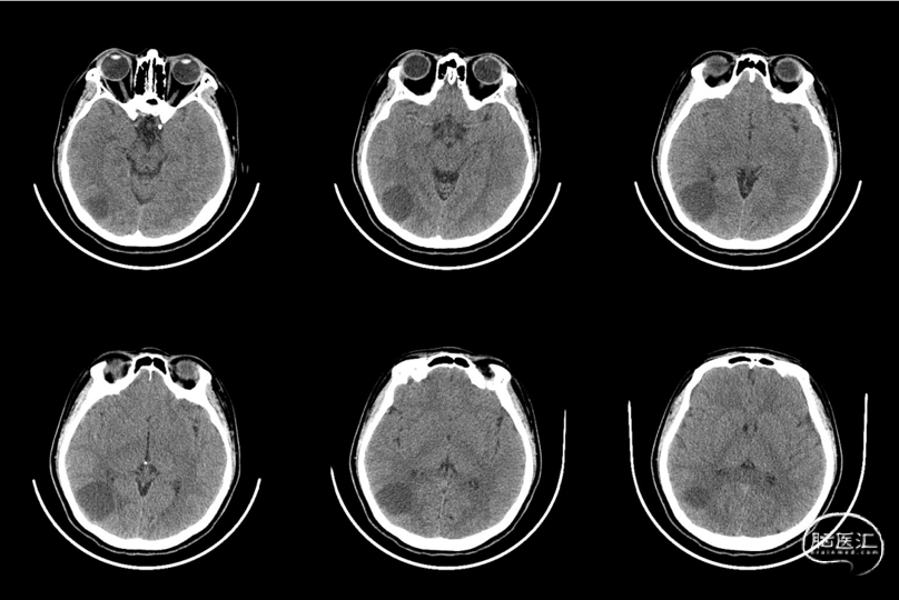
2023-07-09 CT:右侧颞叶囊性占位,建议MR平扫+增强检查。

本院MRI示肿瘤T1低信号,T2高信号,T2flair高信号,其内见液平
增强后见分隔及边缘强化
全麻后取左侧卧位,常规开颅,“X”形剪开硬膜,并将硬膜翻转牵开,见脑压不高,脑搏动好,肿瘤呈囊实性,中心伴有囊液。近囊肿腔处避开血管,用脑穿针向囊腔方向穿刺。进针后有突空感,拔出针芯,囊液色红,较粘稠,抽量部分囊液,脑压稍降低。然后纵形切开皮层,取明胶海绵保护周围正常皮层,进入腔内,顺肿瘤实质部分用吸引器逐步分离,肿瘤无包膜,与皮层有界限,沿着此界限遂步分离,并向四周扩大,最后将整个肿瘤完全游离后摘除。
脑压不高,脑搏动好,见肿瘤位于右颞后部,大小约37*28*30mm,肿瘤呈囊实性,实质大部分位于肿瘤外后上方,色灰红,质地偏韧,与正常皮层有边界,血供可;中心为囊液,红棕色,量约10ml左右。其周围水肿不明显。
术后第三天MR复查
节细胞胶质瘤(ganglioglioma)一词最早是由Perkins于1926年提出的,1930年由Courville推广,用于描述一种含有星形胶质细胞和神经元成分的中枢神经系统肿瘤,其发病机制尚不清楚。节细胞胶质瘤作为低级别胶质瘤的一种,总体发病率较低,约占神经系统肿瘤的0.3~1.4%,且多见于儿童及青壮年。节细胞胶质瘤可发生于颅内各个部位,以发生于颞叶居多。发生于小脑、脑干及颈髓等小脑幕以下部位的节细胞胶质瘤较为罕见。根据对326例神经节胶质瘤病例的统计分析,279例节细胞胶质瘤(WHO I级)的平均发病年龄为22.1±11.2岁,30例II级节细胞胶质瘤病例年龄分布相似,17例间变性节细胞胶质瘤(WHO III级),平均年龄约为35±14.5岁。
临床症状方面,其特征性临床表现是难治性癫痫,尤其是幕上患者。幕下患者可表现为颅内压增高所致的头痛,共济失调或颅神经功能缺损等。
节细胞胶质瘤的影像学表现差异很大,在影像学上,可分为囊性肿瘤(超过90%的囊性成分),囊性实体瘤(囊性成分10-90%)和实体瘤(囊性成分小于10%),其中囊性肿瘤约占44-80%。在MRI图像中,节细胞胶质瘤通常在 T1加权像上呈现等强度信号或略低强度信号,在T2加权像上呈现高强度信号。一般没有瘤周水肿。当水肿发生时,通常表明是恶性病变。大约一半的节细胞胶质瘤MRI增强表现为不均匀强化。CT上通常表现为低密度,可伴有不同程度的钙化。
CT上可见条形钙化,MRI上见囊实性结节,实性部分T1呈稍高混杂信号,T2稍低混杂信号,增强可见结节样强化(Compton, J. J., Issa Laack, N. N., Eckel, L. J., Schomas, D. A., Giannini, C., & Meyer, F. B. . Long-term outcomes for low-grade intracranial ganglioglioma: 30-year experience from the Mayo Clinic. Journal of Neurosurgery.2012; 117(5), 825–830)术前MRI增强显示,位于视丘后方、第三脑室下方的肿瘤略有强化;垂体和垂体柄明显强化(黄色箭头指向肿瘤,白色箭头指向视丘,红色箭头指向垂体柄,蓝色箭头指向第三脑室)。(Shaoguang Li,† Yuanyuan Xiong,† Guowen Hu, Shigang Lv, Pingan Song, Hua Guo, and Lei Wu*,Suprasellar Ganglioglioma Arising from the Third Ventricle Floor: A Case Report and Review of the Literature.2022; 8(6): 2844–2853)
形态学上,由分化良好的节细胞和肿瘤性胶质成分组成。分化良好的节细胞呈圆形,空泡状核,核仁明显,双染性或嗜酸性胞浆,周边尼氏物质。可见双核。一般神经元成分易见,散在或聚集分布。肿瘤性胶质成分呈星形分化,类似包括毛细胞星形细胞瘤的低级别星形细胞瘤。免疫组化可见神经节样细胞SYN/CGA/NSE的高表达,NF/S-100不同程度的阳性。
18%-57%的节细胞胶质瘤包含BRAF V600E的突变,这种突变的蛋白主要位于神经元中。几乎不含TP53基因和IDH1的突变或缺失,PTEN、CDK4、EGFR扩增的发生也很少。
1. 毛细胞星形细胞瘤:儿童多见,好发于幕下小脑,常表现为大囊小结节,增强后囊壁轻度强化或不强化,壁结节不均匀强化。2. 多形性黄色星形细胞瘤:主要发生于30岁以前,尤其多见于脑表浅部位。大部分表现为囊性及附壁结节,增强后囊壁及壁结节明显强化,占位效应轻。3. 胚胎发育不良性神经上皮瘤(DNT):好发于儿童,颞叶多见,难治性癫痫为其临床特点,影像学表现类似GG。其与GG的鉴别主要依靠病理。
节细胞胶质瘤临床进展缓慢。手术切除通常作为首选。根据文献数据,这些患者在全肿瘤切除术后的10年生存率为82-93%。根据Blümcke教授等人的统计,在86例节细胞胶质瘤(WHO I 级)患者中,只有1例在7年的随访中复发,一些文献研究表明,对于术前MRI上增强明显的的节细胞胶质瘤,无论是手术切除还是手术活检,荧光素引导的手术都可以获得更好的结果。目前,仍然没有明确的证据支持手术后辅助化疗。然而,一些数据表明,对于无法进行肿瘤全切除的患者中辅助放疗可以延长复发的间隔时间,虽然它不能提高总生存率。目前有些研究使用替莫唑胺和伊马替尼进行化疗,由于数据有限,目前仍无法得出结论。
[1] Kalyan-Raman UP, Olivero WC. Ganglioglioma: a correlative clinicopathological and radiological study of ten surgically treated cases with follow-up. Neurosurgery. 1987;20(3):428-33.[2] Rumana CS, Valadka AB. Radiation therapy and malignant degeneration of benign supratentorial gangliogliomas. Neurosurgery. 1998;42(5):1038-43.[3]Shaoguang Li,† Yuanyuan Xiong,† Guowen Hu, Shigang Lv, Pingan Song, Hua Guo, and Lei Wu*,Suprasellar Ganglioglioma Arising from the Third Ventricle Floor: A Case Report and Review of the Literature.2022; 8(6): 2844–2853.[4] Jody Filippo Capitanio 1, Pietro Mortini 2,Other Less Prevalent Tumors of the Central Nervous System.2023;1405:607-643.[5] Lou X, Gui QP, Sun L, Wu NZ, Lyu JH, Ma L. Comparisons of MR Findings Between Supratentorial and Infratentorial Gangliogliomas. Clinical neuroradiology. 2016;26(1):65-71.[6] Rousseau A, Mokhtari K, Duyckaerts C. The 2007 WHO classification of tumors of the central nervous system - what has changed? Current opinion in neurology. 2008;21(6):720-7.[7] Sasaki A, Hirato J, Nakazato Y, Tamura M, Kadowaki H. Recurrent anaplastic ganglioglioma: pathological characterization of tumor cells. Case report. Journal of neurosurgery. 1996;84(6):1055-9.[8]Patibandla MR, Ridder T, Dorris K, Torok MR, Liu AK, Handler MH, et al. Atypical pediatric ganglioglioma is common and associated with a less favorable clinical course. Journal of neurosurgery Pediatrics. 2016;17(1):41-8.[9] Puget S, Alshehri A, Beccaria K, Blauwblomme T, Paternoster G, James S, et al. Pediatric infratentorial ganglioglioma. Child's nervous system : ChNS : official journal of the International Society for Pediatric Neurosurgery. 2015;31(10):1707-16.[10]Compton, J. J., Issa Laack, N. N., Eckel, L. J., Schomas, D. A., Giannini, C., & Meyer, F. B. Long-term outcomes for low-grade intracranial ganglioglioma: 30-year experience from the Mayo Clinic. Journal of Neurosurgery.2012;117(5), 825–830.
图文 王 凡
审核 张 宇
终审 苏志鹏
编辑 张伟忠

苏志鹏 主任医师
● 医学博士,主任医师,温州医科大学附属第一医院神经外科主任
● 擅长颅脑肿瘤的微创手术及垂体瘤的内镜手术、颅脑外伤及脑出血的救治
● 中国中西医结合学会神经外科分会委员,中国垂体瘤协作组委员,长三角神经内镜创新与转化联盟理事会常务理事,浙江省抗癌协会神经肿瘤专委会副主任委员,浙江省医师协会脑胶质瘤专委会副主任委员,浙江省医学会神经外科学分会常务委员,浙江省医师协会神经外科医师分会常务委员,温州市医学会神经外科分会主任委员
● 浙江省高校中青年学科带头人,浙江省医坛新秀,温州市青年拔尖人才
1952年,温州医科大学附属第一医院外科专家、时任院长林镜平教授实施浙江省首例颅内取弹手术获得成功,开创了浙江省神经外科的手术历史。1975年,温州医科大学附属第一医院正式创建神经外科。上世纪90年代,在省里率先全面开展显微神经外科手术,现已成为浙东南闽北地区集医、教、研于一体且在国内具有一定影响力的区域性神经外科中心。目前系中华医学会神经外科分会委员单位、浙江省外科学重中之重学科、浙江省首批医学重点学科、浙江省医学创新学科,是国家神经外科住院医师培训基地,设有浙江省神经老化与疾病研究重点实验室。
科室现有144张床位、4个病区、3个百级洁净手术间、1个复合手术间、2个急诊手术间,拥有神经导航系统、手术显微镜、电生理监测系统、神经内镜、超声吸引器、视频脑电监测系统、三维DSA等现代化高精仪器设备;年手术量近4300台,学科规模、临床诊治病例数及手术量均居浙江省第二位,2019中国医院科技量值STEM排名全国第21位。
科室成员中有博士生导师1人,硕士生导师10人,主任医师10人,副主任医师11人,国务院政府特殊津贴人员1人,浙江省151人才1人,浙江省医药卫生高层次创新人才1人,浙江省高校中青年学科带头人3人,浙江省医坛新秀1人,温州市青年拔尖人才2人;2人次担任神经科学领域国际学术组织副主席和委员,有23人次担任神经外科领域全国性学术组织常务委员、理事、委员;成员荣获浙江省科技进步奖及中华医学奖11项,浙江省医药卫生创新奖及温州市科技进步奖19项。科室在神经肿瘤、脑血管病、神经创伤、脊柱脊髓、功能神经外科等方面具有鲜明的特色和优势,系列研究成果发表在Brain、ACS-NANO、PNAS等国际顶尖期刊杂志。
科室设置颅脑创伤、脑血管病、颅脑肿瘤、脊柱脊髓疾病、功能神经外科五个方向,科室拥有颅底外科手术团队、神经介入手术团队、脑胶质瘤MDT团队、垂体疾病MDT团队、癫痫诊治团队。除开展颅脑外伤、脑卒中、颅内肿瘤和脊柱脊髓等常规手术外,同时开展颅底肿瘤、脑干与髓内肿瘤、大型听神经瘤、巨大垂体腺瘤、巨大复杂动脉瘤、巨大型动静脉畸形等一系列高难度手术。其中神经肿瘤团队除肿瘤常规显微手术外,近年来开展多模态引导功能区肿瘤手术,内镜微创垂体瘤手术等新技术;脑血管病团队除颅内动脉瘤、脑血管畸形等疾病介入及手术治疗,近年已全面开展颈动脉内膜剥除、急诊绿色卒中通道脑梗塞取栓等手术;功能神经外科团队常规开展三叉神经痛、面肌痉挛、难治性癫痫以及帕金森病等疾病的手术,近期已开展球囊压迫微创手术治疗三叉神经痛等新技术;颅脑创伤团队除了常规颅脑外伤诊治外,近年来开展内镜下脑脊液漏修补、内镜下视神经管减压治疗等新技术。
声明:脑医汇旗下神外资讯、神介资讯、神内资讯、脑医咨询、Ai Brain 所发表内容之知识产权为脑医汇及主办方、原作者等相关权利人所有。
投稿邮箱:NAOYIHUI@163.com
未经许可,禁止进行转载、摘编、复制、裁切、录制等。经许可授权使用,亦须注明来源。欢迎转发、分享。