病 例 分 享
青年大血管闭塞脑卒中,3型弓快速建立高到位通路,长支架抽拉结合一次开通长段高负荷血栓闭塞
病例摘要:
1、青年大血管闭塞脑卒中。
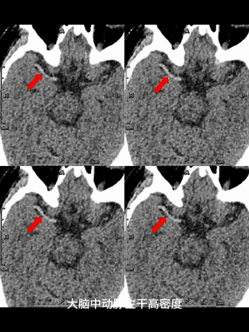
2、急诊CT平扫薄层重建和颅脑4D_CTA结果提示:右ICA远端至M2近端长段高负荷血栓。
3、颈部CTA示3型弓。
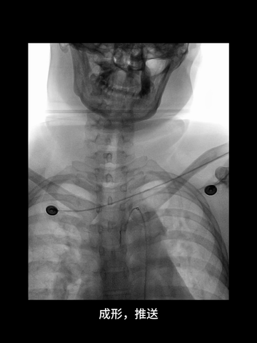
4、125cm长度5F多功能管塑成西蒙管形状,与长鞘组成同轴,超选右颈动脉。
5、长鞘头端上高到右C1远端,建立稳固的介入通路。
6、根据术前影像所见闭塞段血栓范围和位置,微导管超选到右M2中远段,选择释放一长取栓支架完全覆盖血栓,支架头端超出血栓远端一段距离,尽量减少血栓脱落可能。
7、抽拉结合,一次取栓成功再通;回拉支架时,中间管头端顺势推到M1远端,以便后续发挥最大抽吸效果。
8、术后右MCA下干因介入操作机械刺激引发痉挛,管腔狭窄明显,等待观察数分钟后痉挛狭窄明显改善。
9、术后患者恢复良好。
病史简要:
女,42岁
症状:突发左侧肢体麻木乏力
发病到医院时间:14小时45分钟
NIHSS:10
既往贫血病史
本次住院期间诊断:房间隔缺损(继发孔型)
急诊多模式CT

CT平扫:ASPECT是9分,薄层MIP重建于右ICA末端至M2近端见长段血栓高密度影。

颅脑4D-CTA和颈部CTA示:右ICA末端至MCA M2近端长段闭塞,3型弓。

CTP:右MCA区大范围TTP显著延长,CBV和CBF仅在基底节区见小范围核心梗死征象。
此病例的手术过程
急诊取栓术

右股动脉穿刺置入8F短鞘,125cm长度5F多功能管塑成西蒙管头端形状,与6F长鞘(Cook,90cm)组成同轴,导丝导引下,5F管进入左锁骨下动脉,而后成其头端成西蒙管形,进入弓内。

西蒙管形头端超选入无名动脉,回拉导管时,习惯性进入右锁骨下动脉,间断冒烟下退回无名动脉,在旋转导管调整头端方向时,管头弹回弓内。

西蒙形管后续超选过程中,导管头还是习惯性进入左锁骨下动脉,调整导管头方向过程中,头端易弹回弓内。

耐心冒烟下,调整导管头在无名动脉内指向左侧,同时回拉导管,进入右CCA,后上高导丝,长鞘沿5F管顺利进入右CCA,后在导管导丝导引下,长鞘头端上高到右C1远端,建立可靠的治疗通路。

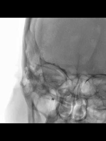
6F中间管先送至长鞘头端,而后在微导管(Rebar 18)微导丝(synchro)引导下进入海绵窦段,而后微导丝越过虹吸段进入MCA近端。

正位透视下,微导管配合,微导丝超选进入M2,侧位透视导丝符合下干走形后,微导管跟进到下干远段,造影确认位于真腔。

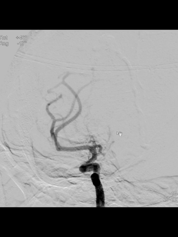
鉴于术前CT提示血栓范围长和负荷大,故于微导管送入一长取栓支架(4*40mm),争取一次取栓成功;支架释放后造影见:闭塞段少许前向血流,证实取栓支架已覆盖长段血栓,支架远端超出血栓远端一段较长距离。

透视下,利用支架锚定作用,将中间管头端推至ICA末端;而后中间管接50ml注射器(血管钳辅助下,保持负压状态),回撤取栓支架同时前送中间管,直至其头端达M1远端。

撤出取栓支架后,负压状态下缓慢回撤中间管,直至海绵窦段时才见回血通畅;此时见支架取栓和导管抽吸取出大量红色血栓。

海绵窦段中间管回血通畅后,造影示右ICA和MCA完全再通,前向血流良好。

放大造影示:右MCA下干近端痉挛狭窄;等待5分钟后造影见痉挛改善。

后续造影见右MCA下干痉挛明显改善;但右ACA显影不佳。

后将导管头置于左CCA开口造影:右ACA主要由左A1经前交通供血。

这是一次取出的大量红色血栓。
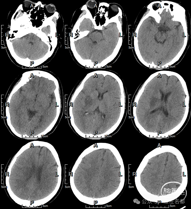
术后第2日复查CT

CT平扫:右壳核低密度梗死。
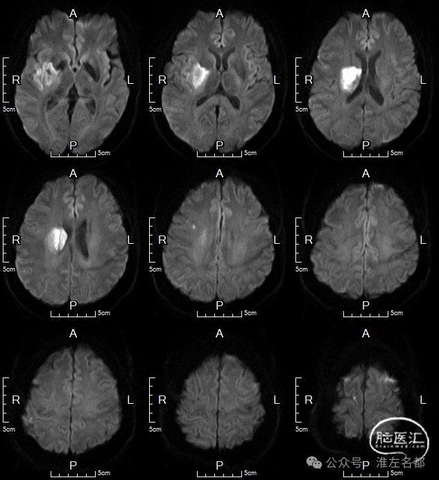
术后第3日MRI

DWI:右壳核、外囊和岛叶急性梗死。

颅脑MRA:未及明确异常。
术后症状快速改善,出院NIHSS:1
术者简介
陈红兵
中山大学附属第一医院
中山大学附属第一医院神经科,副主任医师,医学博士,硕士研究生导师;
中华医学会神经病学分会神经介入协作组委员;
中国神内医师分会神经介入专委会委员;
中国研究型医院学会介入神经病学分会委员;
中国卒中学会脑静脉病变分会委员;
广东省健康管理协会介入专委会常委;
广东省医师协会脑血管病分会委员;
广东省卒中学会理事;
广东省临床医学会介入神经病学分会副主委;
长期从事缺血性脑血管病临床和科研工作,擅长神经介入和脑血管病影像。完成近千例神经介入治疗手术,熟练掌握各类缺血性脑血管病的择期和急诊手术,在复杂高危脑动脉缺血病变和脑静脉窦狭窄/闭塞介入治疗领域有一定造诣,尤其是脑静脉窦血栓闭塞介入治疗在国内处于领先水平。较早将管壁高分辨MRI和多模式CT技术应用于脑血管病诊治,极大提高了脑血管病的临床诊断水平,对药物和介入治疗具有重要指导价值;目前已应用于数千病例,积累了丰富经验,国内领先。
END
声明:脑医汇旗下神外资讯、神介资讯、脑医咨询、Ai Brain 所发表内容之知识产权为脑医汇及主办方、原作者等相关权利人所有。
投稿邮箱:NAOYIHUI@163.com
未经许可,禁止进行转载、摘编、复制、裁切、录制等。经许可授权使用,亦须注明来源。欢迎转发、分享。
投稿/会议发布,请联系400-888-2526转3。






