本期邀请到来自暨南大学附属第一医院神经内科的乔宏宇教授、暨南大学附属第五医院深河人民医院神经内科的吴正懂教授分享经桡动脉行右侧颈内动脉支架成形术:支架推送杆与保护伞导丝抱死致收伞困难一例。
病例介绍
右侧颈内动脉支架成形术
病史介绍
患者信息:65岁,男性
患者主诉:因“发作性左侧肢体乏力、麻木、言语含糊2天”入院
既往病史及个人史:高血压3级(很高危);2型糖尿病;高脂血症;脑梗死病史
神经系统查体:无阳性体征,ABCD2评分:6分,mRS评分:0分
第一次术前影像:
左侧颈内动脉侧位
右侧椎动脉侧位
右侧椎动脉正位
右侧椎动脉3D
术前后对比:
同时处理了左侧颈内动脉C1、C7段;
再次入院:
2024-05-26为再次行右侧颈内动脉手术入院;
患者上一次为经股动脉做的手术,卧床24小时,诉很辛苦,此次强烈要求经桡动脉手术。
弓型:


手术器械
7F血管鞘
180cm泥鳅导丝
180cm加硬泥鳅导丝
7F 导引导管
5F 125cmsim2造影导管
6.5mm EmboCatcher远端栓塞保护装置
200cm 0.014微导丝
5-30mm球囊
Protégé 8-6*40mm颈动脉支架
手术过程
1、使用R-DAS技术,125cm sim2造影导管与7F指引同轴超选右侧颈总动脉。
2、经sim2造影导管送入加硬导丝内衬,沿sim2造影导管同轴慢推7F指引进入右侧颈总动脉远端。
术前造影:
3、右侧颈总动脉正位。
4、右侧颈总动脉3D。
手术经过:
5、路图下使用微导丝超选进入右侧颈内动脉至C5段。
6、于颈内动脉C2段释放EmboCatcher远端栓塞保护装置。
7、于狭窄处快打快放扩张2次。
8、复查造影提示狭窄明显好转,保护伞内无充盈缺损。
9、送入Protégé 8-6*40mm支架,进入颈总动脉时,因锁骨下动脉与颈总动脉成明显锐角,阻力很大。
10、支架到位,远端栓塞保护装置前移至颈内动脉C3段。
11、支架释放。
12、支架释放后侧位。
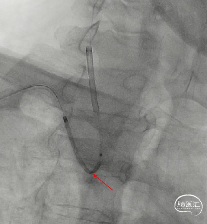
支架推送杆与保护伞导丝抱死致收伞困难原因:
锁骨下动脉与颈总动脉之间明显的锐角?
13、在后撤推送系统时,由于锁骨下动脉与颈总动脉角度呈明显的锐角,导致金属线圈与伞导丝之间摩擦力增加,阻力很大,导致了推送杆内的金属线圈被分离出来。
14、支架释放后,复原推送杆位置可以看到这个可移动的金属线圈有部分分离。
场景模拟:

①.推送杆在退至锁骨下动脉时,伞导丝和推送杆快交口有一成角的力。
②.在支架推送系统的快交口退出Y阀时,由于Y阀内直径变大,伞导丝向前有推的力,推送杆向后撤,导致再次出现成角的力。
以上两种原因导致推送杆内芯被掀起,伞导丝和支架金属内芯相互抱死,无法进一步撤出支架推送系统,后来使用扭控器锁紧导丝,再用力后撤时,出现了伞导丝打折成“Z”型,支架推送系统无法再撤出了。
15、支架推送杆头端交换长度为28cm。
16、保护伞导丝“Z”型打折。
类似病例:
17、使用试用的APT SailWire高性能长鞘,在输送X-ACT颈动脉支架时,无法越过锁骨下动脉与颈总动脉的明显锐角,而且颈内动脉位置低,出现长鞘打折了,最后改股动脉完成手术。


18、使用90cm FUBUKI 6F长鞘,Protege 10-7*40mm,锁骨下动脉有个平台,能将推送管道的力量向颈总方向传递,提供比较稳定的支撑。


收伞方法:
①.沿着系统推送7F指引,越过颈动脉支架去收伞
因明显的锐角,推指引后出现指引打折,不能进一步前进。
失败了
②.将支架推送系统尾端弄断,送入中间导管去收伞
想着支架释放了,用5F的中间导管尝试回收支架推送系统,但进不去,因为支架推送外径078in。
失败了
折断支架推送杆:
19、全系列外径均为0.078in,无法进入6F中间导管,体外进一步证实了。
继续收伞方法:
③.将支架推送系统尾端弄断,盲交换退出指引,再送入6F高性能长鞘去收伞
盲交换过程中,伞可能会挂支架卡住才能撤出指引,同时长鞘输送的时候也可能引起伞体前进存在一定的危险。
准备试
④.直接退保护伞越过颈动脉支架撤出
看接近快交口附近的推送杆比较细,在继续折断推送杆时,发现推送系统后撤了部分,透视看到伞进入了支架,没有挂伞,就慢慢撤出来了。
20、保护伞取出体外消耗时间:22min。
术后造影
•术后正位
•术后侧位
•术后结果
术后体会
右侧颈内动脉支架成形术
手术过程治疗体会:
1、桡动脉入路应用于颈动脉狭窄病变是可行的,尤其是右侧和左侧牛弓。
2、但是当锁骨下动脉与颈总动脉成明显锐角时,尤其是左侧颈内动脉时,提示手术难度大,术中出现指引或长鞘打折可能性大,需谨慎选择经桡动脉入路手术。
3、期待后续越来越多经桡动脉入路器械问世,使得经桡动脉入路手术更安全高效。
说明:文中示例EmboCatcher™远端栓塞保护系统简称:“保护伞”
指导术者

术者:乔宏宇
暨南大学附属第一医院
学术任职:
广东省卒中学会缺血性神经介入分会主任委员
广东省保健协会脑卒中防治与康复学会副主任委员
广东省医学会神经介入学分会第一届委员会常务委员
广东省医师协会神经介入分会委员
中国医师协会神经内科医师分会第一届神经介入专委会委员
中国康复学会脑血管病介入治疗与康复专委会委员
中国研究型医院学会介入神经病学专业委员会委员
中国医药学教育协会脑卒中血运重建专业委员会委员
专业特长:2001年起从事神经介入工作
主要研究方向:缺血性脑血管病介入治疗
术者简介

术者:吴正懂
暨南大学附属第五医院深河人民医院
神经内科主治医师、医学硕士
学术任职:
广东省卒中学会缺血性神经介入分会第二届委员会委员
河源市医学会脑血管分会第一届委员会常务委员兼秘书
专业特长:
从事神经内科临床工作9年余,喜欢专研疑难病例,擅长脑血管病、神经介入等,从事神经介入近8年余,在暨南大学附属第一医院学习神经介入技术1年余,在广州市第一人民医院进修学习神经介入1年。参加省内外多个神经介入培训班学习,目前参与急诊/择期一助和主刀血管内治疗手术900余例,其中主刀300余例。
主持河源市科技计划项目研究一项,参与多项省市级课题的研究,作为第一作者发表SCI文章一篇,参与发表学术论文数篇。

声明:脑医汇旗下神外资讯、神介资讯、脑医咨询、Ai Brain 所发表内容之知识产权为脑医汇及主办方、原作者等相关权利人所有。