病情简介

•患者:女,55岁,因“颅内动脉瘤术后5月余” 入院。
•既往:2024年4月行右侧颈内动脉眼段动脉瘤栓塞术。
•查体:神志清醒,对答切题,双侧瞳孔等大等圆,对光反射灵敏,视力视野粗测正常,四肢肌力肌张力正常。
•诊断:
1.左侧颈内动脉C5段动脉瘤
2.右侧颈内动脉C5段动脉瘤术后
术前检查
DSA:双侧眼段动脉瘤

2024年4月全身麻醉下经股血流导向密网支架置入术

选择Lattice4.7x18






诊疗计划
•治疗方案:全麻下经股动脉密网支架植入术

•双抗:
阿司匹林50mg QD+氯吡格雷75mg QD
•DSA手术规划:选择麒麟血流导向装置4.0x20

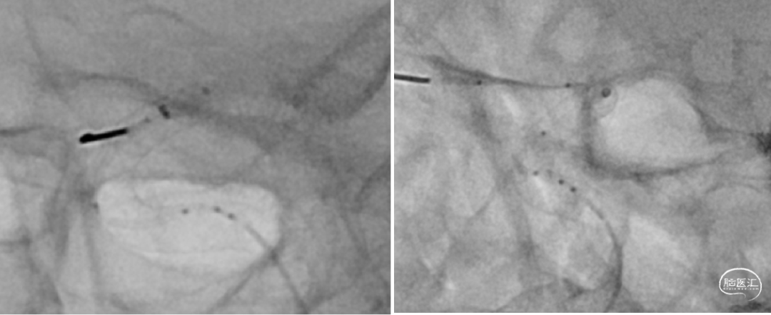
手术经过
通桥微导丝导引支架管到位
支架鞘置入Y阀高压快速水化

支架释放过程(4倍速),重点是过弯推拉。
支架精显

术后即刻造影

术后即刻造影

钟书
广西自治区人民医院
脑血管、脊髓神经外科副主任医师,广西右江民族医学院外科副教授
中国卒中专科联盟委员
中国医师协会神经介入专委会委员
国家卫健委脑防委出血介入专委会委员
中国生命关怀协会理事
中国生命关怀协会脑卒中救治及康复照护专业委员会常务委员
中国老年医学会神经医学分会常委兼副总干事
中国老年医学会脑血管病分会委员
中国老年保健医学研究会脑卒中防治分会委员
海峡两岸医药学会神经外科专委会脑血管病学组委员
中国人体健康科技促进会临床神经科学技术转化专委会委员
中国神经外科重症管理协作组委员
中国神经科学转化与循证医学协作组委员
广西脑血管病专科联盟副主席兼秘书长
美国神经介入(JNIS)杂志中文版编委
脑医汇-神介资讯编委
获国家卫健委脑防委优秀中青年专家、国家卫健委脑卒中防治工程十周年菁英先锋奖、中国志愿医生脱贫攻坚功勋奖、广西区直机关青年岗位能手、广西优秀青年志愿者等荣誉称号
声明:脑医汇旗下神外资讯、神介资讯、脑医咨询、Ai Brain 所发表内容之知识产权为脑医汇及主办方、原作者等相关权利人所有。
投稿邮箱:NAOYIHUI@163.com
未经许可,禁止进行转载、摘编、复制、裁切、录制等。经许可授权使用,亦须注明来源。欢迎转发、分享。
投稿/会议发布,请联系400-888-2526转3。






