患者情况
患者:男性,100岁。
主诉:头晕2天。
既往史:既往有7年高血压病史,未规律服用降压药,控制情况不详;6年前患者在当地医院行冠脉支架植入术,已停药2年。否认糖尿病史。
初步诊断:1. 右侧额颞顶慢性硬膜下血肿;2. 冠状动脉粥样硬化性心脏病术后;3. 高血压病2级(极高危)
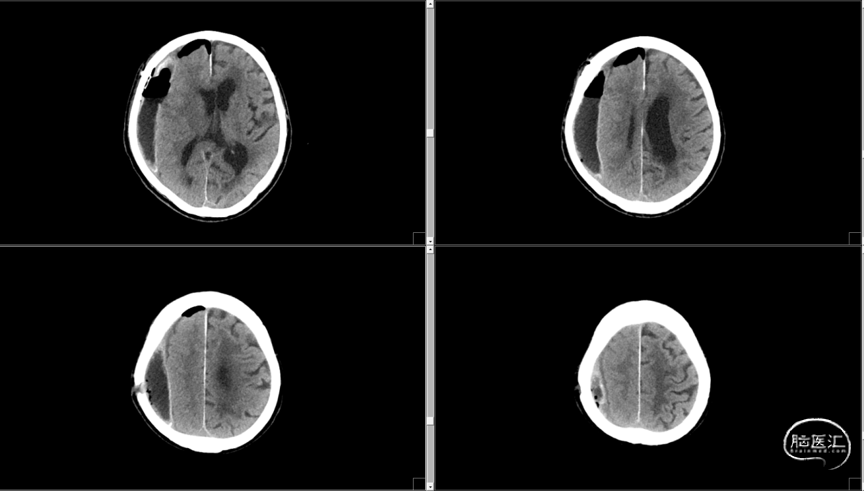
术前CT
手术过程
用龙胆紫标记头部场口,沿外侧裂为中点,向后呈直形切口5cm。
头皮2.5%碘酒及75%酒精依次消毒3遍,铺巾。
沿头皮场口切开头皮至帽状腱膜层;期间妥善电凝皮下活动性出血点,头皮夹钳夹止血。电刀沿皮瓣緣切开颞肌,沿骨膜下层用电刀向额颞部分离颞肌并止血。
用电钻在颢骨鳞部钻孔,铣刀铣下约 3cmX3cm 大小游离骨瓣,暴露脑膜中动脉,彻底电凝减少复发机率,见硬脑膜肿胀,骨窗周围填塞明胶海绵条并缝吊硬脑膜,“+”形剪开硬脑膜,可见黄白色包膜,质韧,切开部分并送检。
导入科众接触式内镜系统,探查入血肿腔,由颞部至顶部多角度观察下清除血肿,双极电疑配合吸引器沿血肿吸除,沿术野周围血肿基本清除,切除血肿包膜内侧壁大部分,检查无活动性出血。
硬膜用免缝合人工硬脑膜及原有硬膜修补,骨瓣原位放回生物桥微小型接骨板、螺钉系统直形接骨片3枚及生物桥微小型接骨板、螺钉系统自攻自钻钉6枚固定牢靠,原位缝合骨膜、肌肉,分层缝合头皮。
扫描上方二维码观看手术视频
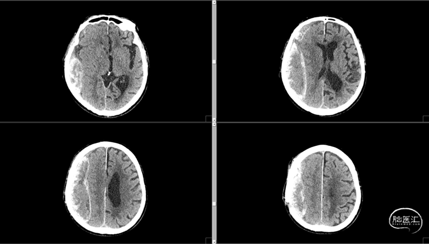
术后CT

专家简介
李百升 主任医师
佛山市南海区人民医院
. 主任医师,硕士研究生,医学博士
. 佛山市南海区人民医院神经外科主任、神经医学中心执行主任。公派德国比勒菲尔德基督教医院神外进修人员
. 佛山市医师协会神经肿瘤医师分会主任委员。主持省卫生厅立项1项,市立项1项,获市科技进步二等奖2项,发表SCI论文一篇,以PI身份承担GCP项目2个
. 擅长中枢神经系统肿瘤、脑血管疾病、耐药性癫痫、帕金森、昏迷促性(SCS)、三叉神经痛、面肌痉挛等疾病的临床诊治,在内镜神经外科、脊柱神经外科、功能神经外科、重症神经外科等领域取得一定成果
李淦诚 主治医师
佛山市南海区人民医院
. 主治医师,硕士研究生
. 从事神经外科10余年,佛山市医师协会神经肿瘤医师分会秘书,临床经验丰富,曾到广东省人民医院、珠江医院学习
. 专业范围为脑膜瘤、胶质瘤、垂体瘤、颅咽管瘤、听神经瘤、颅底肿瘤、 脊髓肿瘤等中枢神经系统肿瘤治疗,三叉神经痛、面肌痉挛,舌咽神经痛、视神经损伤等颅神经疾病的外科治疗,颅内动脉瘤、血管畸形、烟雾病、颈动脉狭窄等脑血管疾病的外科治疗,以及颅颈交界区畸形的微创外科治疗

声明:脑医汇旗下神外资讯、神介资讯、神内资讯、脑医咨询、Ai Brain 所发表内容之知识产权为脑医汇及主办方、原作者等相关权利人所有。