Part.
1
小李今年36岁,从小单亲家庭长大,母亲辛苦把他抚养长大,前不久与自己的爱人因生活琐事闹矛盾,最后闹个不欢而散。想着自己的悲惨经历,决定暂时离开那个伤心地,去外面的世界看看,给自己的受伤的心灵疗疗伤,就这样与在外打拼的好朋友们联系了一下,来到了我们这座城市。
朋友来了有酒喝,这是我们中国人的待客之道,小李来了后,中午喝完,晚上接着喝,心里想着借酒消愁,痛饮几杯,过了这段时间,自己再重新规划人生。晚上喝到了凌晨1点多,然后迷迷糊糊就睡着了,一觉到了第二天中午快12点了,朋友叫他起来吃早饭,发现小李有些讲话口齿不清,左手拿筷子有些笨拙,朋友们开玩笑说这酒喝的有点大,谁都没当回事,就说吃完饭歇息一下,可到了晚上这些症状没有一点改善,反而有些加重,这才意识到事情的严重性,晚上9点多,几位朋友把小李送到了我们医院急诊。
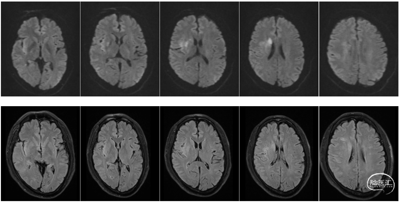
急诊医生接诊后立即启动卒中绿道,同时请神经内科的绿道医生会诊,查头颅CT、心电图、血糖生化等检查,神经内科医生到达后,立即行神经系统查体,此时的患者比来院前症状要减轻一些,仅有轻微的构音不清以及左侧轻微面瘫。NIHSS评分2分(面瘫1分+构音1分),属于轻型非致残性卒中,但随后的颅脑卒中MR检查,结果提示右侧半球急性脑梗死。

MRA示:右侧大脑中动脉闭塞
此时绿道医生与患者及身边的朋友做了沟通,告知病情进展加重的可能性大,建议血管内治疗开通血管,患者的朋友无法做决定,建议联系家里人,但患者自觉症状轻,又怕母亲担心,表示自己目前完全有能力做主,所以拒绝联系家人,先办理了住院。
Part.
2
住院后管床医生详细询问了既往病史,36岁的他居然发现高血压5年,下壁心梗病史2年,目前规律服用降压药。曾服用过“阿司匹林”治疗,但停药很久了。每日吸烟约1包。
入院后体检
BP143/86mmHg,神清,精神可。双肺呼吸音粗,未闻及干、湿性啰音。心率84次/分,律齐,各瓣膜未闻及病理性杂音。腹平软,全腹无压痛。
专科检查:神志清,构音清,对答切题,理解力、定向力、计算力、记忆力正常。左鼻唇沟稍变浅,伸舌左偏。左上肢肌力5-级,肌张力正常,指鼻试验、跟膝胫试验稳准。双侧Babinski sign(-),NIHSS评分1分(面瘫1分),发病前的mRS评分0分,GCS评分15分,洼田饮水试验1级,Essen评分3分(高血压1+既往心梗1+吸烟1)。
入院后的化验提示
肝功能ALT:61U/L,GGT:72.2U/L;生化:血钠135.1mmol/L;末梢血糖7.0mmol/L。血脂系列:甘油三酯1.74mmol/L,低密度脂蛋白胆固醇:2.73mmol/L;心肌酶3项、心肌坏死标记物、D-二聚体、脑钠肽均未见明显异常。心电图:窦性心动过速。陈旧性下壁心梗。
入院后常规给予了双重抗血小板聚集,调脂、稳定斑块、改善循环、抗炎清除自由基等治疗。住院后第二天上午二线医师查房,详细看了病人资料后,还是比较惊讶为什么患者大脑的一根主要血管堵塞,症状却可以这么轻,难道是慢性闭塞?再次与患者和他的朋友强调了脑血管病的危害和及时救治的必要性,但患者和朋友还是不以为然。
Part.
3
也许高兴的还是太早了,第二天下午患者症状出现了加重,左侧肢体无力症状较前有所加重,NIHSS评分5分(面瘫1分+左上肢1分+左下肢1分+共济2分),再次与患者沟通病情,告知患者会继续进展加重的可能。同时建议他这次一定要联系自己的家人。
但患者仍表示拒绝,自觉症状还是比较轻微,不想让母亲担心,与患者沟通无果后,管床医生找到了他的朋友,并且再次严肃的交代了患者目前的病情,希望他们可以帮助联系到他的母亲,其中的一个朋友答应了我们的请求,但当天他的母亲得知消息后已经很晚了,所以无法订票赶来这边了。订了第二天一早的飞机过来,于是有了后面的故事。
Part.
4
患者的病情缓慢进展,第三天上午查房患者左侧肢体无力较前进一步加重,专科查体:构音欠清,左鼻唇沟变浅,口角右歪斜,伸舌左偏。左上肢肌力3级,左下肢肌力3级。指鼻试验欠稳准,左侧Babinski sign(+)。NIHSS评分7分(面瘫1分+左上肢3分+左下肢2分+共济分)。
下午14点左右的时候患者的母亲赶到了,此时患者左侧肢体无力较前进一步加重,抬起费力,专科查体:左鼻唇沟变浅,口角右歪斜。构音欠清,悬雍垂居中,伸舌左偏。四肢肌营养正常,左侧肢体肌张力高,左上肢肌力2级,左下肢肌力3级。左侧Babinski sign(+)。NIHSS评分9分(面瘫1分+构音1分+左上肢3分+左下肢3分+共济1分)。经过与其母亲的详细沟通,先给患者做了CTA+CTP来明确是否有手术挽救的机会。
CBF
TTP
MTT
Tmax
CTA
患者存在着315cm3的缺血半暗带区域,有开通血管的必要性,与患者母亲沟通后,同意了接下来的血管内治疗。
!!!!!!!!
术前指征讨论
1、青年卒中,醒后进展,时间窗远超24h,影像检查:右侧大脑中动脉供血区平均通过时间(MTT)、达峰时间(TPP)延长,脑血流量(CBF)减少,脑血容量(CBV)正常,考虑脑梗死前期。患者存在着315ml的缺血半暗带区域。显示仍存在可挽救的脑组织,有取栓治疗获益的可能性。
2、《急性缺血性卒中血管内治疗中国指南2023》指出:发病24h以上的大血管闭塞患者,血管内治疗的获益性尚不明确,应结合中心实际情况,在谨慎筛选的情况下,考虑是否进行急诊血管内治疗(Ⅱb类推荐,B级证据)。
3、相关研究证据支持:晚时间窗取栓是否获益在SELECT Late研究中,对于发病超过24h的患者,血管内治疗有更好的良好预后比率(27.4% vs. 10.4%),但增加了症状性颅内出血的比例(6.8% vs. 1.8%)。
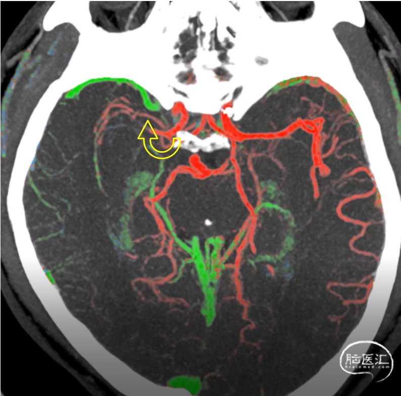
MR CLEAN LATE最新结果显示,在发病6-24h的晚窗患者中,根据CTA上的侧枝循环是否存在来选择患者进行血管内治疗,能显著使患者受益。本例患者的侧支循环来自于CTA上提示的副大脑中动脉。

Part.
5
患者在气管插管全麻下快速行前后循环的代偿评估,术前左侧颈动脉正侧位未见左向右代偿。
L-CCA术前侧位
L-CCA术前正位
左椎术前正位
左椎术前侧位
R-CCA术前侧位
R-CCA术前正位
术前右侧颈内动脉造影示右侧副大脑中动脉
6F长鞘配合5F多功能导管,在泥鳅导丝引导下同轴技术选入右侧颈内动脉C2段,撤出导丝以及5F多功能导管,随后造影路图下将微导丝配合微导管送达右侧大脑中动脉上干M2段。6F血栓抽吸导管在微导丝配合微导管同轴引导下选入右侧大脑中动脉M1段起始,随后撤出微导丝和微导管,采用ADAPT技术持续负压抽吸,抽出一3.0mm*8.0mm暗红色血栓,再次造影提示右侧大脑中动脉复通,但可见右侧大脑中动脉M1段重度狭窄。

随后使用一次性球囊扩张导管(2.0mm*9.0mm),8个atm压力下缓慢扩张。扩张后即刻造影提示右侧大脑中动脉狭窄解除满意,前向血流eTICI3级。


观察20分钟,管腔无回缩,前向血流eTICI3级,遂结束手术。


患者术后第三天可独立下地行走。
1周后患者NIHSS评分:2分(面瘫1分+共济失调1分),mRS评分:2分。复查头MR提示右侧大脑中动脉血流通畅,顺利出院。
首先,对于急性脑梗死患者,尤其是超时间窗的患者,不能轻易放弃治疗。动脉取栓手术作为一种有效的治疗手段,可以在一定程度上挽救患者的神经功能,改善预后。
其次,在诊疗决策过程中,需要综合考虑患者的年龄、病情、血管闭塞情况等多种因素,权衡利弊,做出科学合理的决策。同时,与患者及家属充分沟通,取得他们的理解和支持,也是治疗成功的重要保障。
最后需要强调的是,遵循相关指南和专家共识的重要性。在本病例的诊疗过程中,我们参考了国内外最新的卒中诊治指南和专家共识,确保了治疗的规范化和科学性。指南和专家共识是经过大量临床实践和研究总结出来的经验,为我们的临床决策提供了有力的指导。我们应严格遵循相关指南和专家共识的建议,结合临床实际情况,为患者提供最优化的治疗方案。
在当今医学不断发展的背景下,超时间窗取栓技术为急性脑梗死患者带来了新的希望。然而,我们也需要认识到,这一技术仍然存在一定的局限性和风险,需要进一步的研究和探索。相信随着科技的进步和临床经验的积累,超时间窗取栓在卒中治疗中的应用将更加成熟和完善,为更多的患者带来福音。
参考文献
[1] 《急性缺血性卒中血管内治疗中国指南2023》
[2] Nogueira RG, Jadhav AP, Haussen DC, et al. Thrombectomy 6 to 24 Hours after Stroke with a Mismatch between Deficit and Infarct[J]. N Engl J Med, 2018, 378(1): 11-21.
[3] Cited from Bonasia S, Bojanowski M, Robert T. Embryology and variations of the recurrent artery of Heubner. Neuroradiology. 2020 Apr;62(4):427-437.
术 者 简 介
黄明雷
广东省惠州市惠阳三和医院
•2008年本科毕业于佳木斯大学临床医学院,汕头大学在职研究生。2015年于首都医科大学附属北京安贞医院进修学习神经内科重症以及神经介入,2018年于哈尔滨医科大学附属第一医院神经介入科进修学习。
•专业特长:擅长神经内科常见病如眩晕,头痛,脑血管病,脱髓鞘病,脑炎,周围神经病的诊断及治疗,尤其是脑血管病急性期的动脉溶栓以及颅内外动脉抽吸血栓、支架取栓治疗,颅内外段血管狭窄的诊断及治疗。
•学术任职:广东省医师协会神经介入医师分会青委会委员,广东省医学会脑血管病学分会委员,广东省精准医学应用学会头痛分会委员,广东省惠州市医学会脑血管病分会委员,广东省惠州市医学会神经病学分会委员,广东省惠州市医学会罕见病分会常务委员,中国卒中学会会员。发表国家级期刊论文10余篇,个案报道8篇,科普视频60多部。
邸捺
广东省惠州市惠阳三和医院
•2011年本科毕业于牡丹江医学院,2023年于广东省人民医院进修神经介入。
•专业特长:擅长神经内科常见病如眩晕,头痛,脑血管病,脱髓鞘病,脑炎,周围神经病的诊断及治疗,尤其是脑动脉造影检查、脑血管病急性期的静脉溶栓以及颅内外段血管狭窄的诊断及治疗。
•学术任职:广东省精准医学应用学会头痛分会委员。
END
声明:脑医汇旗下神外资讯、神介资讯、脑医咨询、Ai Brain 所发表内容之知识产权为脑医汇及主办方、原作者等相关权利人所有。
投稿邮箱:NAOYIHUI@163.com
未经许可,禁止进行转载、摘编、复制、裁切、录制等。经许可授权使用,亦须注明来源。欢迎转发、分享。
投稿/会议发布,请联系400-888-2526转3。






