今天为大家分享由上海冬雷脑科医院神外二科张学军、郑佳佳、刘旻谛、衡东阳、霍俊峰、曾凡凤、毕玉善、张海珍带来的:神经内镜Endoport下经顶上小叶切除丘脑高级别胶质瘤1例,欢迎阅读、分享!
![]()
概述
丘脑(thalamus)亦称背侧丘脑(dorsal thalamus),是间脑的主要组成部分,为大卵圆形核团,在中脑上方第三脑室两侧,两侧丘脑之间通常通过由灰质构成的丘脑间粘合(interthalamic adhesion)或称中间块(massa intermedia)横跨中间平面相连。丘脑与豆状核、尾状核、屏状核、内囊、外囊及最外囊等结构共同构成大脑半球的中央核心区。
丘脑功能上不仅是全身感觉(除嗅觉、听觉、视觉外)的中继站,同时也参与运动调节、意识维持和睡眠调节等,与基底核、内囊、穹窿、中脑等结构毗邻且功能联系紧密。
![]()
简要病史
邬XX,男,54岁,行走不稳10余天,加重3天伴意识下降。
既往史:无特殊。
查体:嗜睡,GCS11分,不全性运动性失语,记忆力下降,反应迟钝,时间空间定向紊乱,右侧肢体肌力IV级。
辅助检查:CT及MR提示左侧丘脑占位合并梗阻性脑积水。
术前诊断:左侧丘脑,中脑占位伴肿瘤卒中(胶质瘤可能),梗阻性脑积水。
手术方案:2024年8月30日拟全麻神经内镜Endoport下经左侧顶上小叶入路行左侧丘脑占位大部分切除术。
顶上小叶入路Superior Parietal Lobule Approach
1. 枕上粗隆上9cm,中线旁开3cm
2. 侧俯卧位,床位降低,上半身抬高约20°
3. 直线切口,长约6-8cm,骨窗直径3/4cm
4. 导航、电生理监测
5. 皮层电凝切开长约2cm,导航指引下置入通道
6. 侧脑室壁上静脉止血
7. 切开室管膜,缩瘤,寻分边界
8. 低功率双极电凝止血动脉,静脉出血压迫即可

![]()
术前查体







![]()
术中情况
点击上方二维码观看手术视频
![]()
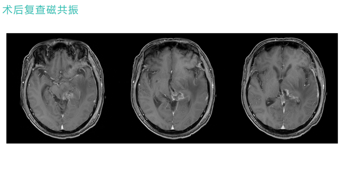
术后情况




术前右侧偏瘫行走不能,术后第6天下床行走
2024年9月5日



















![]()
讨论
1. 丘脑因位置深,周围血管神经结构和功能复杂,故该区域病变手术难度和风险大,预后差,传统观念认为该区域恶性肿瘤手术以取活检结合放化疗为主;
2. 随着医疗设备、手术理念技术的进步,尤其是在导航、电生理监测的辅助下,通道技术显微技术及内镜技术的发展,丘脑部位肿瘤的手术实施性、有效性和安全性得以大大提高;
3. 在安全范围内最大化切除肿瘤和恢复脑脊液循环通路可以使患者极大获益;
4. 国外学者研究丘脑部位的肿瘤手术入路有13种;随着医学的发展,可以化繁为简,前方入路、外侧入路、内侧入路、后方入路、上方入路及下方入路;
5. 根据肿瘤部位的主体及生长的方向选择合适的入路,尽可能避开传导束及功能区最大程度保护神经功能是手术入路选择的原则;
6. 该例患者适合顶上小叶入路,搭配通道减少医源性脑损伤;
7. 丘脑病变切除需仔细轻柔;
8. 电凝止血征对动脉性出血,静脉出血压迫即可。
![]()
参考文献
1. A.L. Rhoton.Cranial Anatomy and Surgical pproaches.Lippincott Williams & Wilkins, Baltimore, MD (2003).
2. S. Shimizu, R. Tanaka, A.L. Rhoton Jr., et al.Anatomic dissection and classic three-dimensional documentation: a unit of education for neurosurgical anatomy revisited Neurosurgery, 58 (2006), p. E1000.
3. Oguz Baran , Serhat Baydin, Abuzer Gungor, Naci Balak, Erik Middlebrooks, Tahsin Saygi, Ilhan Aydin, Necmettin Tanriover.Surgical Approaches to the Thalamus in Relation to the White Matter Tracts of the Cerebrum.World Neurosurg. 2019 Aug:128:e1048-e1086. doi: 10.1016/j.wneu.2019.05.068. Epub 2019 May 17.
![]()
专家简介
张学军 教授
上海冬雷脑科医院
. 冬雷脑科医院神外二科主任,核心主诊专家
. 中国医师协会脑胶质瘤专业委员会委员
. 上海市医学会神经外科专科分会第十一届委员会肿瘤学组委员
. 世界华人神经外科协会脊髓脊柱专业委员会委员
. 中国研究型医院学会脊柱脊髓专业委员会青年委员
. 中国非公立医疗机构协会脊柱脊髓专业委员会委员
. 上海市社会医疗机构协会神经外科分会常务委员
. 冬雷脑科医院神经内镜中心负责人
. 冬雷脑科神经脊柱诊疗中心负责人
. 从事神经外科工作20年,对颅脑脊髓肿瘤、脊髓脊柱专科疾病的诊治具有丰富的经验。师从知名的颅底脑干肿瘤专家首都医科大学附属北京天坛医院张俊廷教授
. 擅长显微技术及神经内镜技术治疗脑脊髓肿瘤,尤其是擅长颅底脑干脑深部等高难度肿瘤等疾病的显微内镜微创手术治疗。发表论文10余篇
声明:脑医汇旗下神外资讯、神介资讯、神内资讯、脑医咨询、Ai Brain 所发表内容之知识产权为脑医汇及主办方、原作者等相关权利人所有。










