病 例 分 享
MCA狭窄急诊血管成形下干闭塞处理

患者:女,86岁
右侧肢体无力
NIHSS_2
发病到医院:3小时
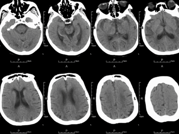
急诊CT:左侧MCA主干局部管腔重度狭窄,分水岭区血流减慢,CT平扫ASPECT-10。
静脉溶栓后症状加重,NIHSS_10
急诊介入治疗
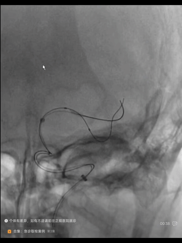
4F多功能管(125cm)+6F长鞘(90cm Cook)同轴,长鞘送至左CCA远端,泥鳅导丝导引中间管(6F,115cm)至左ICA海绵窦段,并长鞘推送到C1远段。
造影见左MCA主干狭窄临近下干开口,下干起始部合并中度狭窄。0.014"synchro导丝导引微导管进入左MCA M2分支,撤出synchro导丝,送入300cm Transend导丝后,交换出微导管。
经微导丝送入2*10mm球囊(赛诺),其过虹吸段困难,推高中间管和长鞘增强支撑后,球囊顺利进入颅腔,以6atm压力扩张左MCA狭窄病变,球扩后顺势把中间换头端推送到ICA末端。
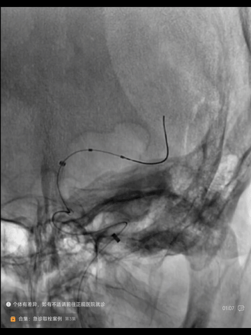
球扩后造影示下干起始部狭窄加重,并在短时内趋于闭塞,考虑是主干球扩后斑块位移累及下干开口所致。
保持Transend导丝,在经中间管送入一synchro导丝,超选到下干M2,经此导丝送入一2*15mm球囊扩张下干起始部(2atm)
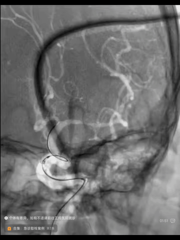
造影示下干恢复血流,其起始部狭窄亦明显改善,但左MCA主干出现一明显夹层
撤出synchro导丝,经Transend导丝送入微导管到M2,经微导管于左MCA主干植入一枚颅内自膨式支架(EP2 4*23mm),后造影示:支架位置佳,展开贴壁良好,主干狭窄解除,下干起始部未见明显狭窄。
术后症状快速恢复
出院NIHSS_0

*文章转载自“淮左名都”公众号,脑医汇获授权转载发布


陈红兵
中山大学附属第一医院
中山大学附属第一医院神经科,副主任医师,医学博士,硕士研究生导师;
中华医学会神经病学分会神经介入协作组委员;
中国神内医师分会神经介入专委会委员;
中国研究型医院学会介入神经病学分会委员;
中国卒中学会脑静脉病变分会委员;
广东省健康管理协会介入专委会常委;
广东省医师协会脑血管病分会委员;
广东省卒中学会理事;
广东省临床医学会介入神经病学分会副主委;
长期从事缺血性脑血管病临床和科研工作,擅长神经介入和脑血管病影像。完成近千例神经介入治疗手术,熟练掌握各类缺血性脑血管病的择期和急诊手术,在复杂高危脑动脉缺血病变和脑静脉窦狭窄/闭塞介入治疗领域有一定造诣,尤其是脑静脉窦血栓闭塞介入治疗在国内处于领先水平。较早将管壁高分辨MRI和多模式CT技术应用于脑血管病诊治,极大提高了脑血管病的临床诊断水平,对药物和介入治疗具有重要指导价值;目前已应用于数千病例,积累了丰富经验,国内领先。


END
声明:脑医汇旗下神外资讯、神介资讯、脑医咨询、Ai Brain 所发表内容之知识产权为脑医汇及主办方、原作者等相关权利人所有。
投稿邮箱:NAOYIHUI@163.com
未经许可,禁止进行转载、摘编、复制、裁切、录制等。经许可授权使用,亦须注明来源。欢迎转发、分享。
投稿/会议发布,请联系400-888-2526转3。