
主 编:刘建民 海军军医大学第一附属医院
执行主编:赵开军 同济大学附属东方医院
题目:
100%可回收血流导向密网支架(YonFlow®)治疗左侧颈内动脉眼段大型动脉瘤
病例简介
患者:女,54岁。
既往史:高血压病。
查体:神经系统体格检查未见阳性体征。
诊断:左侧颈内动脉眼段大型动脉瘤。
术前影像学资料
2022-7-26 MRA

2022-8-8 长海医院DSA








诊疗策略
① 完善血栓弹力图、血脂等检查;
② 控制血压等治疗;
③ 拟行左侧颈内动脉眼段大型动脉瘤密网支架置入结合弹簧圈栓塞术。
抗聚方案
阿司匹林 100mg qd+替格瑞洛 90mg bid,持续服用3天。
器械材料和设备
1、YonFlow®血流导向密网支架 4.75*30mm
2、颅内弹簧圈 12×40
3、XT-27支架微导管
4、Echelon栓塞微导管
治疗过程
2022-8-8 长海医院手术DSA
通路建立


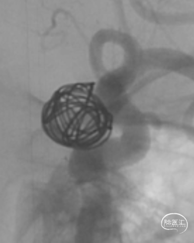
选用YonFlow®血流导向密网支架 4.75*30mm、弹簧圈 12×40,进行密网支架结合弹簧圈栓塞。






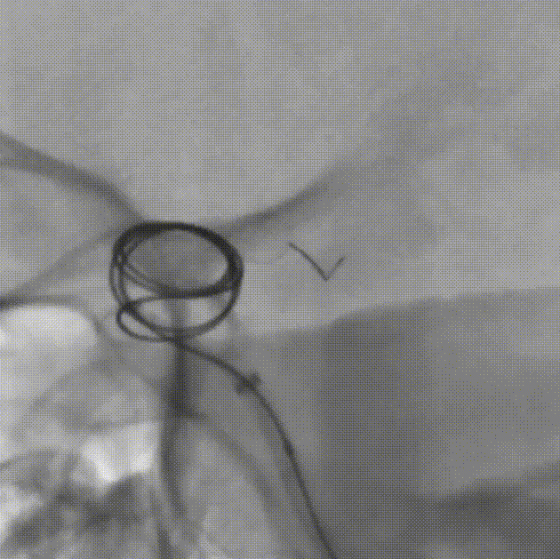
YonFlow®血流导向密网支架释放。


术后影像









随访结果
2023-02-07 长海医院术后6个月DSA:
左侧颈内动脉眼段大型动脉瘤密网支架结合弹簧圈栓塞术后;动脉瘤完全不显影,覆盖的眼动脉通畅。右侧后交通动脉瘤与前相仿。余各动脉及分支均正常显影,未见明显狭窄。




2023-02-07 长海医院术后6个月3D

2023-08-14 长海医院术后12个月MRA:动脉瘤完全不显影且管腔未见狭窄。

病例总结
1、该例患者的大型动脉瘤位于左侧颈内动脉眼动脉段,瘤颈较宽(动脉瘤最大直径11.3mm,瘤颈8.5mm),且位于靠近虹吸弯的眼动脉段,给FD的选择带来一定困难;瘤颈近端与远端的载瘤血管直径差异较大(1mm),为保证支架充分贴壁,对支架的选择要求较高。术者选择应用一款可100%回收的钴铬合金材质的FD——YonFlow®血流导向密网支架,钴铬合金材质使得支架网丝相对镍钛更硬,释放后短缩程度小,尺寸选择相对容易,定位更精准。100%可回收的创新型设计使得支架在完全推出后依然可回收并重新精准定位,从而确保支架的良好贴壁。
2、支架网丝的远端为球形头端设计,可有效避免支架头端对血管壁及穿支的损伤,提高了支架输送及释放时的远端安全性。该款支架同时具备良好显影性,在透视情况下可完整体现支架的结构,使释放时的判断及调整更加可控。
3、使用血流导向装置治疗的时候,对病变血管的测量、血流导向装置型号的选择、远近端定位、整个操作技术细节及可能出现问题的解决预案要准备的充分细致。当远近端载瘤血管直径相差较大时,这对支架的选择带来挑战,一般选择能适应最大直径血管段的最小FD尺寸。钴铬合金FD网丝较硬,头端须放在走行直顺处,避开弯曲段。
4、本例术中如何实现FD精准定位,是手术最困难的一个技术点。YonFlow®FD独创的100%可回收功能可实现支架从微导管完全推出后仍能回收至微导管重释放,同时输送系统支架近端/远端还带有定位Mark点,这些均可帮助医生在术中的安全释放、精确定位和方便调整,使支架释放位置至最佳,从而进一步提升手术精准度和效果,增加手术的成功率和安全性。

指导专家简介

刘建民
海军军医大学第一附属医院
主任医师,博士生导师
现任海军军医大学第一附属医院脑血管病中心主任,战创伤中心主任
全军脑血管病研究所所长
加拿大多伦多大学客座教授
国家卒中中心管理专家委员会副主任;中国卒中专科联盟副主席;中国医师协会介入医师分会副会长;中国医师协会神经外科医师分会常务委员;中华医学会神经外科分会常务委员;全军神经外科专业委员会副主任委员;上海市医师协会神经介入专业委员会会长
OCIN主席;世界神经介入大会(WLNC)执委;2011世界颅内支架大会(ICS)主席;2016/2021 WLNC主席;东亚神经介入大会(EACoN)主席
脑医汇-神介资讯主编
手术专家简介

赵瑞
海军军医大学第一附属医院
医学博士,海军军医大学第一附属医院(上海长海医院)脑血管病中心副主任,副教授、副主任医师,硕士生导师
擅长脑血管病外科及微创治疗。探索临床难题,开展器具转化及技术创新,主持国家科技部十四五重大专项、国家自然基金及省部级课题等共10项。参与Tubridge血流导向装置等器具转化4项,参与PARAT、DIRECT-MT等高水平临床研究6项,发表学术论文80余篇,其中SCI论文60余篇,获国家专利8项。副主编学术专著1部,参编5部,参编获教育部科技进步一等奖、军队医疗成果一等奖、上海市科学技术一等奖等军队及省部级奖励6项
任中国卒中学会脑静脉病变分会委员、中国医师协会神经外科医师分会神经介入专委会秘书、上海市医学会神经外科专科分会介入学组秘书、上海市医学会脑卒中分会青年委员等
长按并识别上方二维码
特别说明:本页面所包含的文字、图片、音视频等内容仅供医学专业人士参考。本页面所包含的内容,仅为专家个人观点,不能代替医疗专业人士的判断。本页面不向非医学专业人士开放,敬请理解。

声明:脑医汇旗下神外资讯、神介资讯、脑医咨询、Ai Brain 所发表内容之知识产权为脑医汇及主办方、原作者等相关权利人所有。
投稿邮箱:NAOYIHUI@163.com
未经许可,禁止进行转载、摘编、复制、裁切、录制等。经许可授权使用,亦须注明来源。欢迎转发、分享。
投稿/会议发布,请联系400-888-2526转3。






