
神经外科是一个发展迅速、不断创新的学科。
为了更好地促进神经外科交流合作,推动新治疗方法和技术的研发应用,迈普医学特别筹办“神医妙术——修复关颅解决方案病例征集项目”,以“脑脊液漏规范化管理”和“PEEK颅骨修复规范化管理”为主题征集相关手术病例,为临床研究和医学教育提供宝贵资料,助力学科发展。

患者病史
M,58岁。
■ 主诉:头晕伴左侧额顶部头皮跳痛5年余
■ 简要病史:
① 5年前无明显诱因出现头晕伴头皮跳痛,范围主要集中在左侧额顶部,无规律,程度时轻 时重,自觉“手掌按压”后头晕及头皮跳痛可缓解。
② 2023年8月患者因常规体检前往福州市人民医院完善颅脑CT及MR ,提示“侧额脑膜瘤伴颅骨增厚”,未见影像资料及报告,无特殊处理。
③ 现进一步完善颅脑MR检查,提示“左侧额区脑膜瘤伴临近颅骨增厚”。
■ 既往史:体健
■ 查体:神经系统查体(-)
专科查体

MRI

CT



影像重建
肿瘤与静脉、矢状窦的关系



静脉影像重建



CT重建
左额内外板可见骨质增生

■ 初步诊断:左额部凸面-矢状窦旁脑膜瘤
■ 手术指征:肿瘤累及血管、侵袭骨质;患者及家属积极要求手术
■ 手术方案:术中导航辅助下前额凸面-矢状窦旁脑膜瘤切除术+PEEK材料颅骨修补术





扫描上方二维码观看手术视频
术前准备
① 术前口服“左乙拉西坦”预防癫痫
② 备血、抗生素
③ 导航
④ 术中备CUSA
⑤ PEEK修补材料消毒

体位、切口、骨瓣
■ 仰卧位,背板抬高20度,头正中,头架固定
■ “导板”确定肿瘤体表投影,导航验证,围绕骨质增生后缘设计冠瓣切口(切口偏后相对美观及切缘离开植入物表面);

■ 筋膜间入路,保留骨膜备用,颞线处颞肌向 外剥离,显露骨缘;
■ 使用“导板”确定骨窗范围,用记号笔标记。中线及两侧钻孔4枚,沿标记内侧2mm铣下骨瓣,暴露矢状窦,注意矢状窦旁蛛网膜颗粒出血,明胶海绵压迫,必要时时抬高背板;


■ 额窦开放,去除黏膜,碘伏水冲洗,暂以骨蜡封闭


硬膜处理
■ 切硬膜前40分钟静滴甘露醇,硬膜四周严密悬吊
■ 围绕肿瘤及强化硬膜四周切开硬膜,翻向矢状窦侧,进一步切断肿瘤硬膜血供
■ 切开中线侧硬膜时,注意避开硬膜窦,如不慎切开,予以缝合止血




肿瘤的切除
■ 先行瘤内部分减压,然后沿中线探查肿瘤与矢状窦关系,进一步切断肿瘤血供
■ 瘤体缩小后,沿肿瘤与脑组织/血管蛛网膜界面分离,逐渐分块切除肿瘤
■ 过程中保护周围正常脑组织及正常皮层引流静脉




硬膜处理
■ 瘤腔彻底止血、明胶海绵压迫
■ 切除受侵犯硬膜,包括“脑膜尾征”,争取simpson1级切除
■ 人工硬膜修补,运用缝合硬膜水密修补



颅骨处理
■ 修整骨窗边缘,额窦开放使用骨蜡+骨膜封闭(骨膜受累时取腹部脂肪填塞)




■ PEEK材料放置妥帖,悬吊硬脑膜,颞肌吊至PEEK材料上,留置皮下引流管
■ 皮内缝合头皮,拉链式缝合贴固定
■ 术后即刻复查头颅CT,出院前复查头颅MRI平扫+增强+MRV



术中所见

脑膜瘤形态
①肿瘤已破坏硬膜
②肿瘤周围脑膜尾征
③肿瘤

脑膜瘤完整切除
①肿瘤已累及大脑镰
②切开大脑镰检查对侧,避免漏切
③肿瘤全切,蛛网膜完整

颅骨全层受累病变
①颅骨内板增生
②颅骨外板受累
③颅骨全层增厚

PEEK修补后美容缝合
①去除病变硬膜,人工硬膜水密缝合
②PEEK材料修补颅骨
③美容缝合+免缝合

术后所见

拆线后预后良好
①皮内缝合
②美容缝合+免拆线

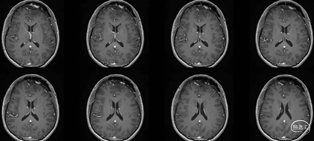
术后头颅CT:肿瘤全切


术后头颅MR:肿瘤全切
术后护理要点
① 脑出血、脑梗死:术后观察生命体征、意识、瞳孔及肢体变化
② 脑脊液漏及颅内感染:切口敷料情况、体温、脑膜刺激征(额窦开放,术后升级抗生素:万古+头曲)
③ 观察有无癫痫发作:继续抗癫痫治疗
④ 观察伤口愈合情况及皮下积液情况,必要时复查颅脑CT
⑤ 术后早期下床活动:避免下肢深静脉血栓、坠积性肺炎

黄采强
厦门弘爱医院
主治医师
毕业于福建医科大学临床医学七年制,在知名神经外科专家康德智教授指导下获得神经外科学硕士学位。在著名神经外科大师鲍遇海教授领导下从事神经外科工作,赴北京宣武医院神经研究所内镜中心师从著名内镜专家陈革主任, Samii解剖班、Yasargil显微训练班进修。
擅长:内镜下垂体瘤、鞍区肿瘤微创治疗,显微镜下脑膜瘤、胶质瘤、听神经瘤等颅内肿瘤的微创治疗,高血压脑出血、颅脑外伤等神经外科常见疾病的诊治。
![]()
声明:脑医汇旗下神外资讯、神介资讯、神内资讯、脑医咨询、Ai Brain 所发表内容之知识产权为脑医汇及主办方、原作者等相关权利人所有。






