
主 编:刘建民 海军军医大学第一附属医院
执行主编:赵开军 同济大学附属东方医院
题目:
新型全显影血流导向装置(TB Plus)治疗颅内动脉瘤
前言
血流导向装置的出现为颅内动脉瘤的治疗提供了新的理念,让我们的关注点从动脉瘤栓塞转向了载瘤动脉的重建。近年来,血流导向装置的广泛应用也将适应证从最初的未破裂、大型或巨大型颈内动脉动脉瘤转向了各种类型的动脉瘤。但是,血流导向装置的使用仍然存在着由于不能通体显影无法判断贴壁情况、支架远近端易出现狭窄及内膜过度增生等亟待解决的问题。Tubridge Plus血流导向装置通过对支架头端及显影丝的优化,提高了支架性能。
本期介绍一例经桡动脉入路使用Tubridge Plus治疗左侧颈内动脉后交通动脉瘤病变一例。
病例简介
患者:女,65岁。
主诉:头痛17天。
现病史:患者因头痛17天,外院行头颅CTA提示:左侧颈内动脉交通段动脉瘤,动脉瘤大小约5.3×5.4mm,形态不规则,左侧大脑前动脉A1段瘤样凸起。
既往史:无基础疾病。
查体:无明显神经系统阳性体征。
初步诊断:左侧颈内动脉交通段动脉瘤。
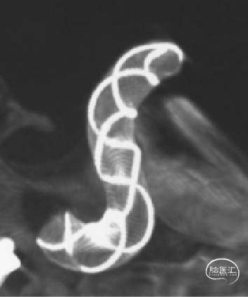
术前影像学资料
头颅CTA
术前药物准备
术前药物准备:阿司匹林100mg qd+波立维75mg qd
血栓弹力图结果:AA 100%;ADP 69%
术式:脑血管造影+左侧颈内动脉交通段动脉瘤TB Plus植入术
治疗方案
左侧颈内动脉交通段动脉瘤血流导向装置置入术
器械材料和设备
1、经桡动脉
2、6F 105cm Tethys
3、.014" Platinum微导丝
4、Fastrack微导管
5、Tubridge Plus血流导向装置
治疗过程
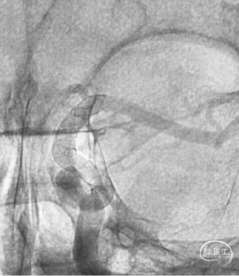
经桡动脉入路左侧颈内动脉通路建立
可见一小泡自动脉瘤瘤体上发出
瘤体最大径6.92mm
远端血管直径:3.28mm
近端血管直径:3.98mm
同侧A1可见一小瘤突起
选择工作角度
压颈试验:前交通开放
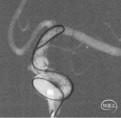
Fastrack微导管到位
TB Plus 4/35
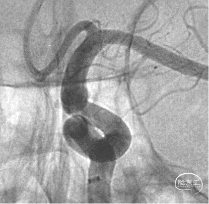
治疗结果
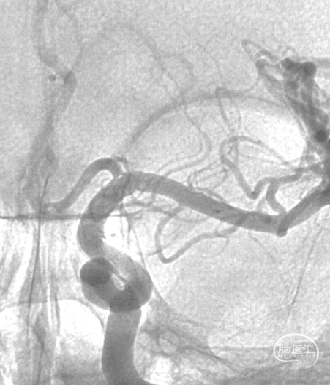
术后半年复查
讨论
1、该患者通过右侧桡动脉入路行左侧颈内动脉血流导向装置植入,血管条件相对迂曲,术中中导管支撑性及稳定性满意,证实经桡FD植入是可行且创伤更小的一种治疗手段。
2、患者同侧大脑前动脉A1段有小泡突起,术中将FD盖住同侧A1,以此减少A1血流量,降低小泡进一步变大及破裂风险。
3、释放TB Plus过程中,头端铆钉效果满意,释放过程顺滑。
4、通过微导丝按摩,可以使TB Plus贴壁效果更加。
5、FD植入后,动脉瘤明显造影剂瘀滞,效果显著。
6、Tubridge Plus材料改进后通体显影,可以更好观察支架的贴壁性及术中打开情况,提高释放安全性。
7、术后半年复查动脉瘤治愈,且未发生支架远近端狭窄及内膜过度增生,治疗效果满意。
8、同侧A1动脉瘤在FD保护下无变化。
专家点评:

近年来,颅内动脉瘤的治疗理念发生了由瘤内填塞到载瘤动脉修复的转变,血流导向装置的使用能够提高动脉瘤的治愈率,减少弹簧圈填塞的占位效应。但是,血流导向装置同样也面临着贴壁不良有可能导致内瘘,血管内膜过度增生、支架再狭窄率高,支架推送阻力大释放困难,短缩率高等问题。
Tubridge Plus血流导向装置通过改进两端喇叭口设计,使支架两端贴壁性更好,网丝更光滑,降低对血管内膜的刺激,减少因贴壁不良带来的支架内再狭窄风险。同时该设计的改进使得头端打开能力增强,推出后打开距离更短,更饱满,与血管壁接触更柔和,同时增加了头端铆钉里,支架释放过程更稳定。
Tubridge Plus血流导向装置通过优化编制结构,编织密度提升20%,编制角度降低15%,能更好的提供径向支撑力,血流导向作用更加明显。编制结构的改变使得推送阻力降低30%,显著降低了术者的操作难度。
通过支架材料的改变,使用DFT丝+双螺旋铂铱丝,全编织丝通体显影,提供优秀的可视性。增加了术者对支架打开情况及疏密程度的把控,提高手术安全性。
点评专家简介

刘建民
海军军医大学第一附属医院脑血管病中心
主任医师,博士生导师
现任海军军医大学第一附属医院脑血管病中心主任,战创伤中心主任
全军脑血管病研究所所长
加拿大多伦多大学客座教授
国家卒中中心管理专家委员会副主任;中国卒中专科联盟副主席;中国医师协会介入医师分会副会长;中国医师协会神经外科医师分会常务委员;中华医学会神经外科分会常务委员;全军神经外科专业委员会副主任委员;上海市医师协会神经介入专业委员会会长
OCIN主席;世界神经介入大会(WLNC)执委;2011世界颅内支架大会(ICS)主席;2016/2021 WLNC主席;东亚神经介入大会(EACoN)主席
脑医汇-神介资讯主编
术者简介

黄清海
海军军医大学第一附属医院脑血管病中心
脑血管病中心主任医师、教授,博士生导师
中华医学会神经外科分会神经介入学组副组长
中国医师协会介入医师分会全国委员
中国神经科学协会神经外科基础与临床分会全国委员
上海医学会脑卒中分会副主任委员
《中国脑血管病杂志》杂志副主编

吴一娜
海军军医大学第一附属医院脑血管病中心
脑血管病中心主治医师、讲师
主要从事脑血管病的基础和临床研究,在颅内动脉瘤、颅内外狭窄、动静脉畸形、硬脑膜动静脉瘘的诊疗方面积累了一定的经验
发表核心期刊论文7篇,参编专著5部

点击上方图片
声明:脑医汇旗下神外资讯、神介资讯、神内资讯、脑医咨询、Ai Brain 所发表内容之知识产权为脑医汇及主办方、原作者等相关权利人所有。