
对于破裂微小(<3mm)颅内动脉瘤,BRAT研究结果显示尽管更多的术者倾向于选择开颅夹闭治疗,但是开颅夹闭组与血管内治疗组在患者预后、治疗相关并发症以及动脉瘤治疗后复发率均不存在显著性差异,均是可行的治疗方式[1]。破裂微小颅内动脉瘤的血管内治疗充满了挑战,一项纳入152例弹簧圈栓塞或支架辅助弹簧圈治疗的破裂微小颅内动脉瘤的研究指出,总体围术期并发症发生率为11.8%,动脉瘤完全闭塞率为69.5%,动脉瘤复发率为11.8%[2]。另有一项研究指出,动脉瘤微小是破裂动脉瘤术中破裂的危险因素,术中破裂风险约8.7%,约为更大动脉瘤的2倍[3]。工欲善其事,必先利其器,超软、高性能弹簧圈的使用被证实可以一定程度上提升手术的安全性与有效性[4]。

Contents
病例速览
Case1-Jasper®SS弹簧圈栓塞前交通动脉破裂微小动脉瘤
Case2-Jasper®SS栓塞左侧大脑中动脉分叉处微小动脉瘤
Case3-Jasper®SS弹簧圈单纯栓塞破裂及微小动脉瘤体会
Case4-Jasper®SS弹簧圈栓塞基底动脉微小动脉瘤
点击查看病例原文
Case-1
前交通动脉破裂微小动脉瘤
动脉瘤部位:
动脉瘤尺寸:
动脉瘤特点:
手术策略:支架辅助弹簧圈栓塞
术中器械
Jasper®SS弹簧圈
鞘、导引导管、微导管、微导丝、颅内支架
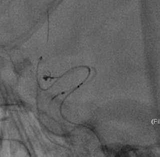
术前影像


栓塞过程
填塞第一枚Jasper®SS弹簧圈顺利;由于瘤囊较小,担心弹簧圈的稳定性,选择支架半释放后,顺利填入第2枚Jasper®SS弹簧圈。造影显示动脉瘤致密填塞,随后完全释放支架。


术后即刻影像


术者体会
Experience
本例病例为前交通动脉破裂微小动脉瘤,动脉瘤仅有1个多毫米,对微导管塑形要求较高,栓塞导管头端不可能有伸缩空间及刷墙式摆动,尽量选择柔软的弹簧圈进行栓塞,Jasper®SS弹簧圈在填塞如此小的动脉瘤时填塞过程顺利,Jasper®SS弹簧圈的柔软性、顺应性表现良好,未见明显踢管现象,电解脱快速顺利。

Case-2
大脑中动脉分叉处微小动脉瘤
动脉瘤部位:
动脉瘤尺寸:
动脉瘤特点:
手术策略:单纯弹簧圈栓塞
术中器械
Jasper®SS弹簧圈
长鞘、导引导管、微导管、微导丝、颅内支架
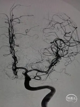
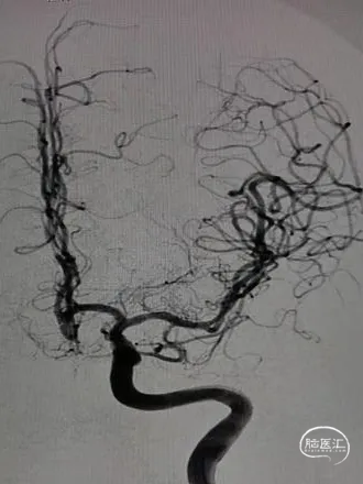
术前影像


栓塞过程
栓塞微导管精准塑形后,前推顺利到位,依次填塞三枚Jasper®SS弹簧圈。瘤颈处有壶腹,为增加弹簧圈稳定性,降低动脉瘤复发率,释放支架,复查造影,动脉瘤填塞致密,载瘤动脉通畅良好。


术后即刻影像


术者体会
Experience
本例为大脑中动脉分叉处微小动脉瘤,和载瘤动脉M1具有明显的垂直成角现象,微导管顺利到位后,弹簧圈的成篮性不是重点,但对弹簧圈的柔软性和顺应性要求相对较高,Jasper®SS弹簧圈在术中展示出很好的柔软性和钻空能力,并且不易踢管,解脱快速,这都给手术顺利进行提供了很好的保障。

Case-3
破裂及微小动脉瘤
动脉瘤部位:
动脉瘤尺寸:
动脉瘤特点:
动脉瘤测量:
手术策略:单纯弹簧圈栓塞
术中器械
Jasper®SS弹簧圈、Jasper®弹簧圈
微导丝、微导管
术前影像


栓塞过程
首先将Jasper®弹簧圈填入动脉瘤腔内成篮,然后向动脉瘤远端小阜填入Jasper®SS弹簧圈一枚,动脉瘤顶端小阜栓塞效果良好,并可以致密填塞小阜部分。然后填入Jasper®弹簧圈、Jasper®SS弹簧圈各一枚,造影显示胚胎型大脑后动脉保留完好,动脉瘤致密栓塞,瘤颈处无残余。


在微导丝引导下超选入海绵窦段动脉瘤瘤腔内,根据动脉瘤大小选择Jasper®SS弹簧圈一枚,栓塞过程中Jasper®SS弹簧圈经调整后可稳定填入小动脉瘤腔内。


术后即刻影像


术者体会
Experience
对于有小阜的破裂动脉瘤,小阜内可使用较为柔软的弹簧圈进行栓塞,避免成篮弹簧圈压缩,减少动脉瘤再破裂风险。微小动脉瘤栓塞较为困难,微导管塑形及选择合适弹簧圈是关键。Jasper®SS弹簧圈系列圈体柔软,对于微小动脉瘤的填塞更加安全,且栓塞更加致密,提高患者疗效。

Case-4
基底动脉微小动脉瘤
动脉瘤部位:
动脉瘤尺寸:
动脉瘤特点:
动脉瘤测量:
手术策略:支架辅助弹簧圈栓塞
术中器械
Jasper®SS弹簧圈、Tethys®中间导引导管、Presgo®微导丝、Presgo®微导管
颅内支架
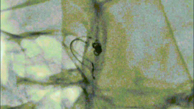
术前影像


栓塞过程
Presgo®微导丝引导支架微导管于基底动脉末端,并预留支架。陆续填塞Jasper®SS弹簧圈4枚,瘤腔填塞致密,撤出支架系统。


术后即刻影像

术者体会
Experience
本病例是基底动脉末端的微小动脉瘤,治疗难度高,适合首选介入栓塞治疗。选择使用加奇Presgo®微导丝、微导管及Jasper®SS弹簧圈,填塞过程顺利,Jasper®SS弹簧圈的柔软性、顺应性表现良好,未见明显踢管现象,电解脱快速顺利。
特别说明:本页面所包含的文字、图片、音视频等内容仅供医学专业人士参考。本页面所包含的内容,仅为专家个人观点,不能代替医疗专业人士的判断。本页面不向非医学专业人士开放,敬请理解。

声明:脑医汇旗下神外资讯、神介资讯、脑医咨询、Ai Brain 所发表内容之知识产权为脑医汇及主办方、原作者等相关权利人所有。
投稿邮箱:NAOYIHUI@163.com
未经许可,禁止进行转载、摘编、复制、裁切、录制等。经许可授权使用,亦须注明来源。欢迎转发、分享。
投稿/会议发布,请联系400-888-2526转3。