导语
血流导向密网支架的出现
对于一些难治动脉瘤
是最好的治疗方案
Surpass Evolve
使用简单、导流卓越、极致贴壁
为医生提供FDS有力武器
史赛克与中国医生一起
提供全面微创卒中解决方案
致力改善患者的临床预后
术者简介
姜交德
中南大学湘雅三医院
医学博士,研究生导师,副主任医师,副教授
擅长于各类脑血管疾病的显微开颅手术及血管内介入治疗
为中南大学湘雅三医院首批“125”人才培养计划人员
中华志愿者协会中西医结合专家委员会神经外科专业组委员
湖南省康复医学会神经加速康复外科委员会副主任委员
湖南省显微外科委员会委员
湖南省中西医结合委员会神经外科专业委员会委员
国家神经疾病医学中心神经外科高级访问学者
承担国家自然科学基金两项,主持湖南省自然科学基金及厅局级课题数项,发表学术论文10余篇
卢韶华
中南大学湘雅三医院
中南大学湘雅三医院神经外科副主任医师,神经外科临床医学博士
湖南省神经外科专科医师培训指导老师
湖南省健康管理学会神经损伤全病程管理专业委员会委员
从事神经外科临床、教学及科研工作二十年,目前主要从事脑血管疾病的诊断与治疗工作
陈远兵
中南大学湘雅三医院
医学博士,中南大学湘雅三医院神经外科医师,助理研究员
湖南省中西医结合委员会神经外科专业委员会青年委员
主要从事脑血管病(缺血性和出血性)和神经肿瘤的基础与临床研究,如主攻脑动脉瘤、烟雾病、脑血管畸形、颅内外动脉狭窄、慢性颈内动脉闭塞、高血压脑出血等显微外科手术及介入手术治疗
以第一作者或通讯作者发表SCI论文8篇,中文核心期刊论文3篇,目前参与国家自然科学基金1项、国家老年疾病临床医学研究中心临床研究基金(复合手术治疗慢性颈内动脉闭塞的多中心临床研究)1项、湖南省自然科学基金2项
病例简介
患者基本信息
患者:男性,41岁。
主诉:突发左侧肢体乏力2天余。
现病史:患者家属代述患者于2024年6月17日凌晨2点左右无明显诱因突发左侧肢体麻木,未予以重视。晨起后左侧肢体出现活动障碍,无言语障碍,无吞咽困难及饮水呛咳,无头晕头痛,无大小便失禁,无抽搐,无晕厥昏迷。遂在同事陪同下立即到当地医院就诊,当地医院予以完善头部CT考虑脑梗死,未予以特殊处理。今为求进一步诊治,遂转至我院进一步诊治。患病以来,患者精神体力一般,食欲睡眠一般,大便正常,小便正常,体重无明显变化
既往史及婚育史:既往长期吸烟史,每天约10根余,已婚、配偶健康状况良好,育有2子。
入院查体:神志清楚,GCS评分=E4V5M6=15分,检查合作,对答反应尚可,头颅五官无明显畸形,双侧瞳孔等大等圆,直径约3mm,双侧瞳孔光反射灵敏。双侧鼻唇沟对称,口角左偏,伸舌往右,双侧听力粗测正。右侧肢体肌力5级,肌张力正常,左侧肢体肌力1级,肌张力正常。双侧腱反射存在,生理反射灵敏,未引出克氏、布氏、巴氏征。
外院CTA示:
1.右侧大脑脚-右侧丘脑急性脑梗死。
2.右侧大脑后动脉P1、2段显影差,P3及其以下未见显影;建议结合临床。
3.结合CTA,符合右侧颈内动脉C7、基底动脉末端动脉瘤。
4.鼻窦炎。
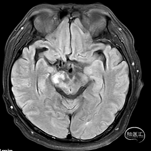
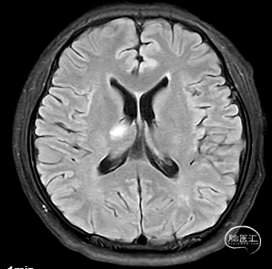
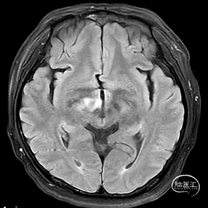
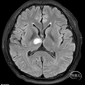
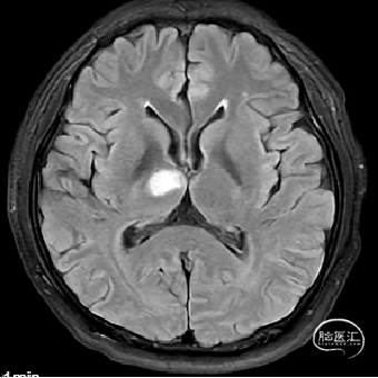
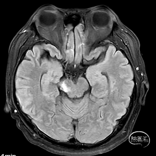
右侧中脑-丘脑可见新发脑梗塞:
颅内外血管未见明显狭窄。
CT(CTA)检查提示:右颈内动脉C7段大小约3.6×3.8×3.6mm及基底动脉远端动脉瘤形成大小约9.7×7.6×9.3mm。
DSA:右侧P1段一6.8*9.7mm不规则囊状突起动脉瘤,远端P2段呈螺旋状蛇形动脉瘤改变。
DSA:右侧P1段一6.8*9.7mm不规则囊状突起动脉瘤,右侧A1段动脉瘤。夹层蛇形动脉瘤。
DSA:评估右侧后交通。
右侧颈内正位
右侧颈内3D
椎动脉压颈3D
血脂检查:
1.颅内多发动脉瘤
右侧P1-P2段夹层动脉瘤
右侧A1段动脉瘤
2.脑梗塞
动脉瘤夹闭术
颅内外血管重建术+动脉瘤孤立术
单纯弹簧圈栓塞术
普通支架辅助下动脉瘤栓塞术
血流导向支架+弹簧圈动脉瘤栓塞术
先处理P1-P2、分期处理A1。
角度大:
远端弯曲:
血管狭窄:
近端载瘤动脉短:
导管无法回勾-预塑长“鱼钩弯”
导丝导管通过支撑不够-先填圈再过导管
血管弯曲、角度大-选支架柔软性强
无法通过导管-单纯栓塞、留置弹簧圈
Evolve2.5*2cm支架1个
弹簧圈
XT-27微导管
XT-17微导管
Synchro微导丝
Target弹簧圈Target 7mm*15cm成篮
动脉瘤参数:
动脉瘤大小为6.8*9.7mm,瘤颈宽4mm
载瘤动脉(颈内动脉)近端狭窄处为1.7mm,近端末狭窄处为1.4mm,远端为2.4mm。
支架导管通过困难,支架导管难以达到预定位置。
术中操作-预置支架导管+填圈:
预置支架导管
置入弹簧圈微导管
置入弹簧圈
填圈后通过微导管并释放支架
导丝通过&支架导管到位
释放支架:
支架到位
头端打开
中间打开
近端打开,后予以支架导管通过支架将其充分打开。
术后即刻复查:远端血管通畅、支架打开良好。
术后正位复查
围手术期管理
出院前复查
出院查体:神志清楚,GCS评分=E4V5M6=15分,检查合作,对答反应尚可,头颅五官无明显畸形,双侧瞳孔等大等圆,直径约3mm,双侧瞳孔光反射灵敏。双侧鼻唇沟对称,口角稍左偏,伸舌往右,双侧听力粗测正。右侧肢体肌力5级,肌张力正常,左侧下肢肌力3级,左上肢肌力2级,肌张力正常。双侧腱反射存在,生理反射灵敏,未引出克氏、布氏、巴氏征。
1.夹层动脉瘤不仅有出血的风险,而且有缺血的风险。其缺乏完整的动脉瘤颈,治疗重点在于内膜的修复,在传统的开颅夹闭术中存在巨大的挑战和困难。在介入治疗中,传统的普通支架加弹簧圈也面临着高复发率,而血流导向支架的应用,在治疗夹层动脉瘤中具有革命性的意义,能够对夹层动脉瘤的内膜进行重塑。
2.介入手术通路的建立是动脉瘤介入治疗的关键,本病例的难点在于P1-P2段血管极度弯曲且载瘤血管细小,支架导管的通过是血流导向装置成功置入的核心。目前,临床一线使用的血流导向装置有数款,各具优缺点。而Evolve相对柔软通过性好,使用的支架导管XT-27相对细小便于输送,故在此迂曲的血管中应用充分体现其优异的通过性和柔韧性,提高了手术通路建立的效率及手术的成功率。
END


扫码进入史赛克品牌专区
声明:脑医汇旗下神外资讯、神介资讯、脑医咨询、Ai Brain 所发表内容之知识产权为脑医汇及主办方、原作者等相关权利人所有。
投稿邮箱:NAOYIHUI@163.com
未经许可,禁止进行转载、摘编、复制、裁切、录制等。经许可授权使用,亦须注明来源。欢迎转发、分享。
投稿/会议发布,请联系400-888-2526转3。