

扫描左侧二维码
进入微创神通品牌专区

前言
后循环缺血性卒中发病率高,约占缺血性卒中的25%-40%。椎动脉狭窄(VAS)是引起后循环缺血的主要原因,与前循环缺血性卒中相比,椎-基底动脉缺血性卒中预后差。其中,有9%-33%的后循环缺血性卒中患者有椎动脉起始部狭窄或闭塞。针对药物治疗无效或者反复发作的椎动脉狭窄患者,血管内介入治疗已然成为目前非常普遍的治疗方式。而药物洗脱支架治疗椎动脉狭窄可以有效降低支架内再狭窄发生率,为椎动脉狭窄患者的治疗提供了一个更为安全有效的治疗方法。
Bridge椎动脉雷帕霉素靶向洗脱支架采用单面刻槽药物涂层支架设计,精准靶向释放药物,其低剂量药物搭载既降低了裸支架相关的支架内狭窄发生率,也有效避免了药物对支架内皮化的负面影响。
本期术说卒中由吉林市人民医院贾岩、李福金教授分享Bridge椎动脉雷帕霉素靶向洗脱支架治疗椎动脉开口裸支架植入后再狭窄。
01
01
患者女性,63岁。
现病史:主因“头晕、行走不稳加重2天”于2017.06.09入院。
既往史:高血压病史9年,未系统监控。
入院查体情况:神清、语利。血压:150/100mmHg。左锁骨上窝闻及杂音。不持续水平眼震。闭目难立征阳性,余神经系统未见异常体征。
头CT:正常。心电图:正常。TCD:双侧颞窗穿透不良,眼窗探查提示左锁骨下动脉盗血Ⅰ期。
颈部血管彩超:双颈动脉多发低回声、混合回声斑块。左椎动脉收缩期见切迹。
头核磁:双侧基底节、放射冠、额叶皮质下、脑干、胼胝体多发腔隙性脑梗塞,DWI未见高信号。
总胆固醇:7.79mmol/L ↑,甘油三酯:5.36mmol/L ↑,低密度脂蛋白:4.41mmol/L ↑,同型半胱氨酸:28.2umol/L ↑。肝肾功、血糖、离子、血常规、凝血象正常。
02
患者术前DSA:左椎动脉开口重度狭窄,左椎动脉颅内正侧位造影显示后循环血供正常。



初步诊断:
定位诊断:椎基底动脉供血区;定性诊断:缺血性脑血管病。病因诊断:大动脉粥样硬化性。
治疗预案:
左椎动脉开口支架植入术。
药物准备:
阿司匹林肠溶片100mg、硫酸氢氯吡格雷片75mg、阿托伐他汀钙40mg,每天一次,口服1周。
支架植入后可看见椎动脉起始部狭窄病变处明显改善。


术前造影
术前造影
03
2022年1月4日(支架术后4年7个月)再次因“头晕1周”入院。
术后一直口服阿司匹林肠溶片、阿托伐他汀钙,低密度脂蛋白控制在1.3-1.7mmol/L之间。血压波动性升高。3个月前发作性意识不清一次,自行缓解。
查体:血压:170/90mmHg,神经系统未见异常体征。头CT:未见异常。AA抑制率:58.7%;ADP抑制率:64.9%。
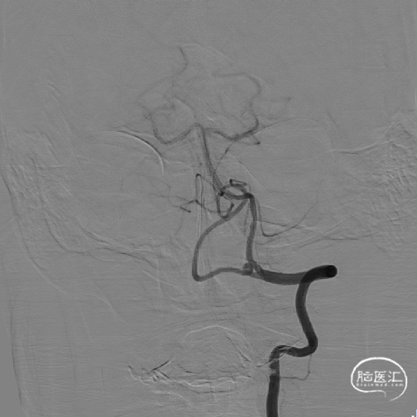
术后4年7个月复查DSA造影示支架内再狭窄。

初步诊断:
左侧椎动脉起始部开口支架植入术后再狭窄。
治疗预案:
拟行脑血管造影评估血管,拟行椎动脉药物支架成形术。
药物准备:
阿司匹林肠溶片0.1g、氯吡格雷片75mg、阿托伐他丁钙片20mg,口服,1次/日。
术中涉及器械
8F 90cm导引导管
V18 导丝
0.014inch 200cm微导丝、0.014inch 300cm微导丝
0.017inch 微导管
4mm*16mm Bridge椎动脉雷帕霉素靶向洗脱药物支架
04
1
穿刺:
麻醉成功后,患者平卧位,双侧腹股沟区常规消毒、铺巾,取右侧腹股沟韧带中点下2cm处股动脉为穿刺点,采用Seldinger法穿刺成功,利用置换导丝置入8F导管鞘。
通路建立:
予以肝素化后,8F 90cm导引导管沿导丝输送至左侧锁骨下动脉,V18 导丝置于左侧肱动脉远段,双导丝建立稳定治疗通路。
2
造影探查血管真腔:
0.014inch 200cm微导丝携0.017inch 微导管通过既往植入支架,并经过微导管造影证实血管真腔,随后交换0.014inch 300cm微导丝。

3
支架定位及释放:
沿微导丝将4mm*16mm Bridge椎动脉雷帕霉素靶向洗脱药物支架输送至病变处,沿导丝将4*13mm Bridge椎动脉雷帕霉素靶向洗脱支架送到目标位置,造影确认支架位置准确。

4
支架释放:
缓慢加压至10atm,射线下观察到,支架打开后,保持扩张压力30s,确认支架打开后,缓慢泄压,造影观察支架打开效果。支架打开良好,狭窄部位得到有效缓解,在保持导丝原有位置及充盈器抽负压的状态下,将支架输送系统回撤,再次造影观察支架释放效果确认支架在血管中的贴壁情况。



5
术后正侧位造影:


药物治疗:
阿司匹林肠溶片100mg,硫酸氢氯吡格雷片75mg,阿托伐他汀钙,20mg,每日一次。
随访:
患者第二次术后一般情况好,神经系统查体无明显异常,低密度脂蛋白控制在1.3-1.7mmol/L之间。血压控制良好。
术后再8个月复查造影,支架形态良好,DSA随访,管腔通畅,未见再狭窄。


术后再8个月左侧椎动脉复查造影,血管通畅。


治疗体会
椎动脉开口狭窄较为常见、手术操作不难,但裸支架再狭窄比例高,寻找再狭窄原因非常重要,药物支架可能是解决裸支架后再狭窄有效的方法,可以有效改善椎动脉狭窄,恢复血流,其次药物涂层支架可以有效预防支架内再狭窄。
Bridge椎动脉雷帕霉素靶向洗脱支架采用的是刻槽载药的方式,药物与涂层仅储存于支架外表面的凹槽内,避免无效面涂药。在保证治疗疗效的同时,有效提高安全性,减少药物副作用。在释药上采用的是靶向点灌,仅向血管内膜面靶向释放,减少对支架表面内皮化的影响,减少晚期血栓事件。期待未来的随访结果。
术者简介
贾岩
吉林市人民医院
主任医师,硕士
吉林市人民医院神经二科主任
吉林省卒中学会质量控制分会副主任委员
吉林市医学会神经内科分会副主任委员
吉林市医师协会神经内科分会副主任委员
吉林市神经内科质控中心副主任委员
吉林省卒中学会常务理事
吉林市人民医院卒中中心医疗总监
李福金
吉林市人民医院
2010年毕业于延边大学,硕士研究生,副主任医师,吉林市人民医院神经内科二疗区负责主治医师,2016年于北京宣武医院进修神经介入1年。2017年底于吉林大学第一医院学习机械取栓技术
专长:神经介入治疗,如急诊颅内动脉闭塞取栓术、头颈部血管球囊扩张术、支架植入术等。掌握神经内科各种常见病、多发病的规范化诊治,对神经系统疑难病诊治有一定经验
吉林省抗癫痫协会神经发育障碍与康复专业委员会委员
吉林市医学会中西医结合脑心同治专业委员会委员
吉林市医学会神经病学分会青年委员会委员
吉林市人民医院神经介入建设中心秘书
-END-
![]()
声明:脑医汇旗下神外资讯、神介资讯、脑医咨询、Ai Brain 所发表内容之知识产权为脑医汇及主办方、原作者等相关权利人所有。
投稿邮箱:NAOYIHUI@163.com
未经许可,禁止进行转载、摘编、复制、裁切、录制等。经许可授权使用,亦须注明来源。欢迎转发、分享。
投稿/会议发布,请联系400-888-2526转3。








