

扫描左侧二维码
进入泰杰伟业品牌专区

案例一
患者:女性,79岁。
主诉:头晕1周。
既往史:平素健康状况一般;有右侧颈内动脉后交通段动脉瘤,有类似发作史,未处理;否认肝炎、结核等传染病史;否认药物、食物过敏史;否认手术外伤史;否认输血史;预防接种史不详。
体征:T 37.1℃,P 94次/分,R 20次/分,BP 124/74mmHg,SPO2 95%。双肺呼吸音粗,未闻及明显啰音。心率: 94 次/分,律齐,各瓣膜区未闻及明显杂音。腹平软,无明显压痛及反跳痛,肝脾肋下未扪及。双下肢不肿。
专科检查:神清语利,精神尚可,双侧瞳孔直径约3mm,对光反射灵敏,眼球运动到位无眼球震颤,口角不歪,伸舌居中,咽反射存在,颈软,四肢肌力5级,肌张力可,双侧巴氏征阴性。指鼻实验及跟膝胫实验阴性。饮水试验:1级,NIHSS评分0分,mRS评分0分。
辅助检查:床旁心电图:实性心律,正常范围心电图。急诊头部查体:脑白质病变。
本次治疗动脉瘤为右侧后交通段未破裂动脉瘤,瘤体呈圆形带子囊,瘤颈较宽。载瘤动脉条件尚可,使用血流导向密网支架治疗安全性和有效性都较理想,同时由于动脉瘤形态不规则,选择合并弹簧圈栓塞促进动脉瘤愈合,降低动脉瘤破裂风险。

术前DSA造影显示:右侧后交通动脉段不规则动脉瘤。
术前测量选型:载瘤动脉血管直径约4.8mm,需覆盖长度约30mm,拟选择泰杰Nuva®血流导向密网支架TJED-D-5.5-20(预期血管直径和长度:5.0mm*28mm)。
泰杰Frepass® TJMC18Plus支架微导管、6F 中间导管同轴上高,微导丝引导泰杰Frepass® TJMC18Plus支架微导管顺利上高至大脑中动脉M1平直段。微导丝引导栓塞微导管顺利进入瘤内。
输送Nuva®血流导向密网支架 TJED-D-5.5-20顺利到位,释放头端及定位支架远端。

继续释放Nuva®血流导向密网支架。

密网支架半释放状态下,沿栓塞微导管顺利填入泰杰Perfiller®栓塞用可膨胀弹簧圈系统 9mm*30cm ,然后撤出栓塞微导管。
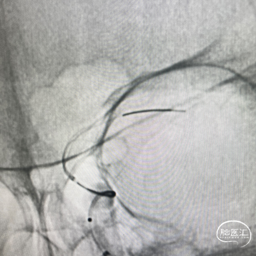
完全释放支架后即刻造影,可见支架贴壁良好。

末次DSA造影见颈内动脉及各分支充盈完整,CT未见脑梗或出血征象。
【术后造影】
【术后3D旋转造影】
案例二
患者:女性,74岁。
主诉:右侧肢体活动障碍18小时余。
既往史:有高血压病史,最高血压180/?mmHg,未服药,未监测血压;有阑尾炎手术史;否认“糖尿病、冠心病、慢支肺气肿、慢性胃病“等病史;否认“肺结核、伤寒、肝炎”等传染病及接触史;无外伤史;无药物及食物过敏史;无输血史;预防接种史不详。
1.中间导管需要上高,为密网支架释放提供足够的支撑。
2.眼动脉弯处角度比较大,需要耐心操作,推拉结合,使密网支架充分贴壁。
术前DSA:左侧颈内动脉眼段动脉瘤。

【术前3D旋转造影】
将泰杰Frepass® TJMC18Plus 支架微导管超选至左侧MCA,沿着微导管顺利输送泰杰Nuva®血流导向密网支架TJED-D-6.0-16到位,头端定位。



继续推拉结合,释放支架。
完全释放支架后导丝按摩,进一步增加贴壁效果。

术后DSA即刻造影见Nuva®血流导向密网支架远近端均定位准确,贴壁良好。
【术后即刻造影】
末次DSA造影显示:各分支充盈良好;复查CT未见明显梗塞。
【术后造影】
【术后3D旋转造影】

【密网支架贴壁良好】

术者简介

副主任医师,神经内科副主任兼神经介入中心主任
湖南省康复医学会神经介入委员会委员

副主任医师,神经内科主治医师
![]()
产品介绍
相关产品
ABOUT



泰杰伟业成立于2008年,是国内前沿的脑血管疾病(神经介入)相关三类医疗器械研发、生产、销售及服务公司。泰杰伟业公司目前发展迅速而稳定,已在北京平谷拥有2万平米以上的生产基地。自成立伊始,泰杰伟业一直秉承着“杰出科技,关爱生命”的信条,以高起点、高质量、高信誉的理念,响应国家相关政策,积极进取,开拓创新,自我研发生产的多种三类医疗器械,为中国神经介入事业全心奉献。


![]()
声明:脑医汇旗下神外资讯、神介资讯、脑医咨询、Ai Brain 所发表内容之知识产权为脑医汇及主办方、原作者等相关权利人所有。
投稿邮箱:NAOYIHUI@163.com
未经许可,禁止进行转载、摘编、复制、裁切、录制等。经许可授权使用,亦须注明来源。欢迎转发、分享。
投稿/会议发布,请联系400-888-2526转3。









