
导语
血流导向密网支架的出现
对于一些难治动脉瘤
是最好的治疗方案
Surpass Evolve
使用简单、导流卓越、极致贴壁
为医生提供FDS有力武器
史赛克与中国医生一起
提供全面微创卒中解决方案
致力改善患者的临床预后

术者简介
韩令
长沙市中医医院(长沙市第八医院)
副主任医师,从事神经外科近二十年,主攻各类脑血管疾病介入治疗。长沙市神经外科质量控制中心副主任委员,中国研究型医院学会微无创专业委员会委员。
病例简介
患者基本信息
患者:女性,40岁。
临床表现:头痛1天,加重伴意识障碍3小时。
既往史:体健,否认“高血压”、“糖尿病”、“冠心病”等病史。
查体:T 36.5℃;P 72次/min;R 20次/min;BP 143/78mmHg ,神志昏睡,GCS评分E3V1M5=9分,双侧瞳孔等大等圆,双侧直径约3mm,对光反射均灵敏,视力视野检查不配合,双侧额纹对称,口角无歪斜,双侧鼻唇沟对称无变浅,伸舌不配合,颈稍抗,双肺呼吸音粗,闻及双肺湿性啰音,四肢肌力正常,四肢肌张力不高,双侧巴氏征阴性。Hunt-Hess分级3级。Fisher分级3级。
术前CT、CTA检查:

CT:蛛网膜下腔出血


急诊手术(支架+弹簧圈栓塞):

约3.5mm*4.4mm*3.2mm动脉瘤

Atlas+Coil一期栓塞
术后2周复查:

复查CT:SAH吸收
2周复查造影显示:3*3.2mm颈内末端动脉瘤一期采用Atlas支架辅助弹簧圈栓塞术后2周复发,动脉瘤体增大。

复查3D造影显示:3.5mm*4.4mm*3.2mm颈内末端动脉瘤一期采用Atlas支架辅助弹簧圈栓塞术后2周复发,动脉瘤体增大。


3D重建测量:
1)动脉瘤大小6.2*4.7mm
2)FD覆盖长23mm
3)远端血管2.4mm,近端血管3.5mm


动脉瘤的大小在短期内体积迅速增大,证实为血泡样动脉瘤。
1、先穿支架网孔,相对致密填塞弹簧圈;
2、再使用Evolve血流导向密网支架重塑血管。
1、穿支架网孔填圈。(导丝成袢带XT-17微导管进入支架真腔,超选穿网孔)
2、XT-27支架导管穿过辅助支架到位(能否全程过支架真腔?支架导管会不会卡在辅助支架翘起的钢梁?)
3、支架覆盖区域选择(原则上FD需要完全覆盖辅助支架的远近端,但考虑到辅助支架远端Mark点刚好位于颞前动脉开口,FD再覆盖后增加了局部高金属覆盖率,影响分支血管血流,所以FD不盖辅助支架远端而完全覆盖近端,便于近端血管内皮细胞的攀爬内膜化。)
中间导管
Synchro2微导丝
Atlas支架
XT-17微导管
Target 5-15/4-8/2-6/2-6/1.5-3
XT-27支架导管
Evolve支架
中间导管导置于海绵窦段。

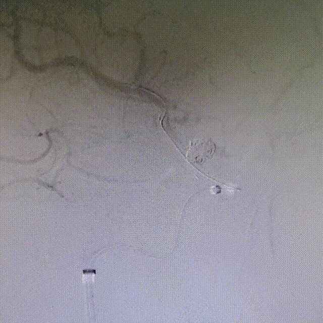
Synchro2微导丝成袢穿越Atlas支架内“真腔”,到达远端;XT-17微导管头端塑形“小半径”J型弯,沿Synchro2微导丝进入Atlas支架内远端;回撤Synchro2微导丝,配合XT-17微导管超选Atlas支架网孔。

XT-17微导管穿网孔进入瘤腔;A为XT17远端Mark点,B为XT17近端Mark点。

XT-17微导管依次填入Target 5-15/4-8/2-6/2-6/1.5-3,造影确认填塞效果基本满意。


用导丝成袢带XT-27支架导管到位时卡住辅助支架近端Mark,前推XT-27增张后透视下发现辅助支架近端少了一个Mark点,疑似支架近端钢梁被XT-27推得内翻。XT-27顺利到位,预置在大脑中M2。


遇到问题:
是否继续放Evolve?万一被内翻的支架钢梁钳夹住打不开怎么办?面临抉择。
讨论后相信Evolve的支撑力,尝试先释放一部分FD后推挤系统增张,让Evolve充分鼓起贴壁,将内翻的钢梁压到血管壁上,如Evolve推不开则回收。
顶住Evolve支架钢丝,退XT-27支架导管,支架远端定位在Atlas的远端Mark以近2mm,并顺利打开。


由于血管平直,继续顶住Evolve支架钢丝,退XT-27支架导管,当支架释放至颈内C7段时,整体推支架系统增张,让瘤颈口处的支架充分贴壁,将内翻的钢梁压到血管壁上。


Evolve支架尾端减张释放,当支架尾端自行弹开后,将XT-27沿支架钢丝从支架内送回到远端,在将支架钢丝从XT-27中撤出体外。留XT-27支架导管在远端,为下一步导丝按摩提供通路。


术后即刻工作位造影显示,支架全程打开形态良好,充分贴壁。


术后即刻正/侧位造影显示:各分支血管血流通畅,无出血情况,瘤体内无造影剂充盈。


术后3D造影:支架打开充分,全程贴壁,各分支血管血流通畅,可看到内翻的Mark点也被Evolve贴到了血管壁上,充分体现了Evolve足够强的径向力,预示着Evolve对动脉瘤合并狭窄应用或许是一个不错的选择。


术后半年随访:

血泡样动脉瘤(blood blister-like aneurysms, BBA)常见于颈内动脉的非分支部位,因缺乏弹力纤维组织内膜和中膜,具有瘤壁菲薄、瘤内高压以及形态复杂等特点,无论外科手术夹闭或血管内治疗都具有极高的技术挑战。虽然重叠多支架技术能提高BBA的治愈率,但仍有5.6%~22.9%的患者复发,而且此类支架辅助栓塞后复发性BBA的处理变得更加复杂和困难。BBA均表现为蛛网膜下腔出血,术前临床状态较差(68%以上患者WFNS分级3级以上),并且往往呈现动脉瘤瘤体短期内增大、较高的自发再出血发生率以及治疗后再出血和死亡风险。现有关于BBA外科开颅手术和血管内治疗的文献并未就最佳治疗方式达成明确共识。[1]
Çinar等[2]最早报道应用FD治疗7例BBA,其中2例既往接受过其他治疗;长期血管造影随访显示所有患者动脉瘤闭塞,其中5例患者临床转归良好(mRS评分0~2分)。Mokin等[3]应用FD治疗43例患者共45个BBA,在接受随访的32个动脉瘤中,87.5%完全闭塞,3.1%无变化,9.4%显影减少。一项Meta分析证实,与其他血管重建手段比较,FD治疗具有较低的再治疗率、更好的中长期治愈率以及相似的中长期临床转归[4]。
对于未破裂颅内动脉瘤而言,相比于单纯FD治疗,FD结合弹簧圈栓塞并不能降低动脉瘤迟发破裂出血风险,反而需要更长的操作时间且具有更高的手术并发症发生率[5]。相比之下,对于破裂颅内动脉瘤而言,先部分栓塞然后二期FD治疗(Plug-Pipe技术)可能是可行的[6]。因此,只要瘤体够大,在能够为弹簧圈填塞提供足够空间的情况下,还是建议对破裂BBA进行弹簧圈栓塞及FD治疗。
虽然关于FD治疗破裂BBA的文献报道越来越多,但最佳治疗时机、双重抗血小板治疗的使用以及使用的FD数量等问题仍未完全明确。Ryan等[7]对13例破裂BBA患者采用Pipeline支架进行治疗,除2例患者采用重叠Pipeline外,其余11例患者均接受单一Pipeline治疗。无一例患者发生迟发性动脉瘤破裂出血,9例患者接受造影随访,结果显示5例完全闭塞,2例动脉瘤缩小,另2例动脉瘤持续存在或增大而需要再次治疗。理论上,单纯采用FD防止BBA再出血是可行的。也有文献报道应用单纯支架即可治愈小型夹层动脉瘤或BBA。虽然术中造影显示的动脉瘤内对比剂淤滞反映充分的血流导向效果,但这种血流淤滞却不能预测瘤内血栓形成和瘤颈内膜化的具体时间。而且,动脉瘤内血流减少并不等同于瘤内压力降低。
以往研究表明,在既往支架辅助栓塞治疗复发后采用FD治疗的效率更低且更加复杂,动脉瘤闭塞率仅为40.9%~75.0%,而且并发症发生率高达16.7%[8]。这可能与在先前放置的支架内释放FD存在的技术问题有关[9]。首先,FD系统不能保证完全位于原有支架内,因为可能存在导丝或导管穿过原有支架网丝,甚至以"进-出-进"的方式通过而导致FD不能完全打开。采用J型导丝通过,可避免FD系统穿越网丝到支架外的现象,保证FD系统位于先前支架的内腔和中心轴线。其次,原有的支架或弹簧圈可影响FD的整体可视性,不利于判断FD是否充分打开和贴壁。
FD的贴壁性是影响动脉瘤愈合率的重要因素之一[10]。FD贴壁不良除导致急性期血栓形成之外,还会因血流持续从FD与血管壁的缝隙间流入而形成内漏,造成动脉瘤不愈合甚至持续增大[11]。因此,如何保证FD完全打开和贴壁是保证治疗效果的关键,特别是在既往接受过支架治疗的病变中。将FD完全跨越先前放置支架的全长,使其远近端完全位于正常载瘤动脉内可能是一种很好的策略。即便原有支架与载瘤动脉可能存在难以识别的间隙,在FD完全覆盖全长的情况下,这种半封闭空间也将逐渐消失。然而,若能判断原有支架已经良好贴壁,为减少FD置入对正常分支的影响和FD在弯曲血管中打开的困难,选择较短的FD仅覆盖BBA瘤颈远近端也可达到理想的治疗效果。
非分叉处动脉瘤需特别警惕BBA,BBA治疗存在巨大挑战,即便在支架辅助栓塞后依然具有较高的复发率,需及时复查,及时补救治疗。应用FD治疗复发性BBA是安全有效的,在既往已采取支架辅助栓塞治疗的病例中保证FD完全打开并与原有支架满意贴合是手术成功的关键。
[1]HellsternV, Aguilar-PérezM, AlMatterM, et al. Microsurgical clipping and endovascular flow diversion of ruptured anterior circulation blood blister-like aneurysms[J]. Interv Neuroradiol, 2018, 24(6): 615-623. DOI: 10.1177/1591019918785911.
[2]ÇinarC, OranĪ, BozkayaH, et al. Endovascular treatment of ruptured blister-like aneurysms with special reference to the flow-diverting strategy[J]. Neuroradiology, 2013, 55(4): 441-447. DOI: 10.1007/s00234-013-1136-y.
[3]MokinM, ChineaA, PrimianiCT, et al. Treatment of blood blister aneurysms of the internal carotid artery with flow diversion[J]. J Neurointerv Surg, 2018, 10(11): 1074-1078. DOI: 10.1136/neurintsurg-2017-013701.
[4]ZhuD, YanY, ZhaoP, et al. Safety and efficacy of flow diverter treatment for blood blister-like aneurysm: a systematic review and meta-analysis[J]. World Neurosurg, 2018, 118: e79-e86. DOI: 10.1016/j.wneu.2018.06.123.
[5]ParkMS, KilburgC, TausskyP, et al. Pipeline embolization device with or without adjunctive coil embolization: analysis of complications from the IntrePED Registry[J]. AJNR Am J Neuroradiol, 2016, 37(6): 1127-1131. DOI: 10.3174/ajnr.A4678.
[6]HowardBM, FrerichJM, MadaelilTP, et al. 'Plug and pipe' strategy for treatment of ruptured intracranial aneurysms[J]. J Neurointerv Surg, 2019, 11(1): 43-48. DOI: 10.1136/neurintsurg-2018-014058.
[7]RyanRW, KhanAS, BarcoR, et al. Pipeline flow diversion of ruptured blister aneurysms of the supraclinoid carotid artery using a single-device strategy[J]. Neurosurg Focus,2017, 42(6): E11. DOI: 10.3171/2017.3.FOCUS1757.
[8]ShapiroM, BecskeT, NelsonPK. Learning from failure: persistence of aneurysms following pipeline embolization[J]. J Neurosurg, 2017, 126(2): 578-585. DOI: 10.3171/2015.12.JNS152065.
[9]ParkKY, YeonJY, KimBM, et al. Efficacy and safety of flow-diverter therapy for recurrent aneurysms after stent-assisted coiling[J]. AJNR Am J Neuroradiol, 2020, 41(4): 663-668. DOI: 10.3174/ajnr.A6476.
[10]AquariusR, de KorteA, SmitsD, et al. The importance of wall apposition in flow diverters[J]. Neurosurgery, 2019, 84(3): 804-810. DOI: 10.1093/neuros/nyy092.
(向下滑动查看更多文献内容)
1.Evolve支架输送性能好,在较为迂曲血管,通过标准直头XT-27微导管中输送较为顺滑。
2.Evolve支架头端保护瓣设计使得支架打开更轻松,便于支架锚定点的选择,利于原位释放。
3.Evolve支架是钴铬合金的材质,有更多的网丝,较好的径向支撑力,即使在迂曲血管中,亦能很好的打开并充分贴壁。
4.支架显影良好,有较好的视觉效果,便于在各种机型下的应用。
END


扫码进入史赛克品牌专区


![]()
声明:脑医汇旗下神外资讯、神介资讯、脑医咨询、Ai Brain 所发表内容之知识产权为脑医汇及主办方、原作者等相关权利人所有。
投稿邮箱:NAOYIHUI@163.com
未经许可,禁止进行转载、摘编、复制、裁切、录制等。经许可授权使用,亦须注明来源。欢迎转发、分享。
投稿/会议发布,请联系400-888-2526转3。






