病例情况
女性,30岁。
主诉:右侧面部膨隆伴间断右侧面部麻木2年。
简要既往病史:2年前右侧面部膨隆,间断麻木,进行性加重。外院行MR提示右侧颞下窝肿物。并行口内切口活检,病理提示间叶源性良性肿瘤。
入院查体:神志清楚,语利,双侧瞳孔等大正圆,直径3mm光反应灵敏,眼球活动充分,右侧面部膨隆,右侧上唇浅感觉减退,余面部感觉正常,角膜反射灵敏,双侧咬肌对称有力,面纹对称,伸舌居中,颈软,四肢肌力5级,病理征阴性。
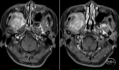
术前影像检查



检查所见:鼻窦T1WI、T2WI、DWI图像及动态增强薄层扫描图像示:右侧颞下窝内可见占位,呈T1WI稍低、T2WI高信号,大小约3.5cmx5.5cmx5.6cm(左右x前后x上下),DWI呈高信号,增强扫措可见不均匀强化,边界尚清晰,右侧置外肌正常形态未见。占位部分凸向右侧上颌窦内。左侧上颌窦、双侧额窦、双侧筛窦、蝶窦形态、结构正常,气化良好。鼻道形态正常,鼻中隔未见偏曲,鼻甲粘膜未见增厚。扫描范围内颅底及颌面部软组织未见异常。扫描范围内脑实质未见异常。
检查结论/诊断:右侧颞下窝占位,神经源性肿瘤可能。
术前初步诊断
右侧颞下窝、翼腭窝、颅底占位性病变,神经鞘瘤可能性大。
手术简要
气管插管全麻成功后,患者取仰卧位,连接导航并注册成功,实施神经内镜下颅底病损切除术。聚维酮碘消毒面部及鼻腔。常规铺巾铺膜。副肾利多卡因棉条浸润右侧鼻腔。
内镜下探查右侧鼻腔,切开右侧侧下鼻甲头端,切口上方接近前颅底,下方向后方延伸。剥离显露鼻腔外侧壁及下鼻甲骨质,去除下鼻甲前端骨质,磨除鼻腔外侧壁骨质,分高保护膜性鼻泪管,并磨除鼻腔外侧壁空显露上颌窦。
镜下清理上颌窦粘膜,上颌窦大部为病变占据,上颌窦后壁及外侧壁被病变推挤隆起。初步去除上颌窦后壁粘膜、骨质,见肿瘤占据上颌窦后部,翼腭窝,颞下窝。
电灼肿瘤包膜后切开,见肿瘤灰黄色,质地韧硬,血供中等,边界清楚,与周围有粘连。
吸引器配合刮圈先瘤内减容,然后沿肿瘤包膜分离,减容与分边交替进行,见肿瘤近端与圆孔外口及V2关系密切,远端与眶下神经关系密切,考虑为载瘤神经,分离该神经并予以保护,最终完整切除肿瘤。肿瘤送病理。
探查术腔,各个壁光滑,无肿瘤残留,中颅窝硬膜完整,无脑脊液渗漏。生物蛋白胶封闭硬膜及创面。上颌窦内止血充分。与护士清点棉条、敷料及器械无误。右侧下鼻甲切开处5-0可吸收线缝合2针。探查鼻腔无出血,右侧鼻腔填塞膨胀海绵。术毕。
术中所见
扫描上方二维码观看手术视频
病理报告
(侧颅底肿瘤)梭形细胞肿瘤,大小8x7x1.5cm,细胞疏密不均,密集处细胞呈栅栏样交织状排列,疏松处间质黏液样变,细胞形态温和,核分裂像罕见,未见坏死,结合临床病史及免疫组化结果,符合神经鞘瘤(Schwannoma)。IHC:S-100(++),SOX10(+),CD34(++),EMA(-),NF(-),H3K27me3(++),p53(+),Ki67(1%)。
术后描述




MR提示右侧颞下窝、翼腭窝及上颌窦病变切除彻底。
术后病人第二天下地活动,第5天出院。遗留上唇麻木,面部隆起缓解。2周行鼻腔清理。术后查体:神清语利,双瞳等大正圆,直径3mm光反应灵敏,眼球活动充分,右侧面部较对侧稍膨隆,右侧上唇及颊部浅感觉减退,余面部感觉正常,角膜反射灵敏,双侧咬肌对称有力,面纹对称,伸舌居中,颈软,四肢肌力5级,病理征阴性。
医生评价
这是一例典型的三叉神经第二支起源的神经鞘瘤,占据颞下窝、翼腭窝及上颌窦。对于此部位的病变,内镜经鼻泪前隐窝入路是最优入路,微创、肿瘤显露充分。而且该入路能够完整的保留鼻腔解剖结构。手术需要熟练掌握侧颅底相关解剖,术中采用了电磁刀对肿瘤进行分块减容,损伤小且效率高,电极前端可塑型,对肿瘤的完整切除有很大帮助。
专家简介
鲁润春 副主任医师
. 北京大学第一医院神经外科副主任医师,医学博士
. 获得2020全国神经内镜手术大赛总决赛二等奖、2022北京医学会神经外科手术大赛内镜组优胜奖
. 发表英文文章6篇,中文文章13篇,参编颅底及神经内镜专著8部
. 北京市医学会神经外科分会内镜学组委员;北京大学医学部神经外科学系青委委员
. 专业及研究方向:颅内肿瘤的内镜微创治疗 ;神经外科机器人手术
![]()
声明:脑医汇旗下神外资讯、神介资讯、神内资讯、脑医咨询、Ai Brain 所发表内容之知识产权为脑医汇及主办方、原作者等相关权利人所有。







