本文来源于公众号:第91病区

知识点
磁共振成像因其复杂的原理和过程,在脊柱成像中易产生多种伪影。若不熟悉,易导致误诊误治。
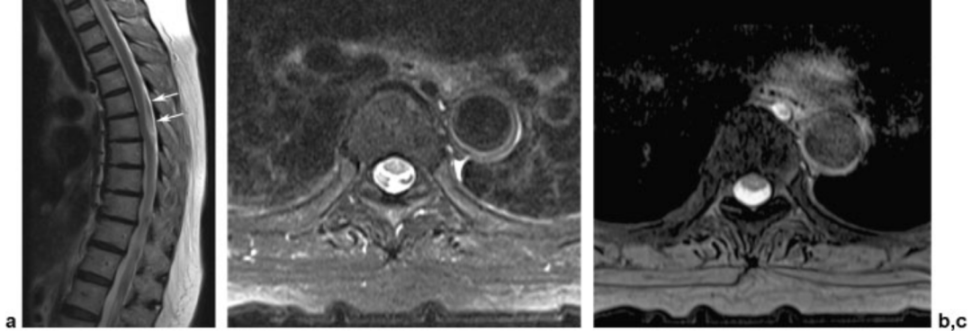
脑脊液流动伪影常易误诊为病变,需与椎管内占位相鉴别。如脊髓背侧脑脊液中可见多个不连续的低信号区,在不同序列成像中表现不同,有时可通过梯度回波 T2 加权像消除此伪影。
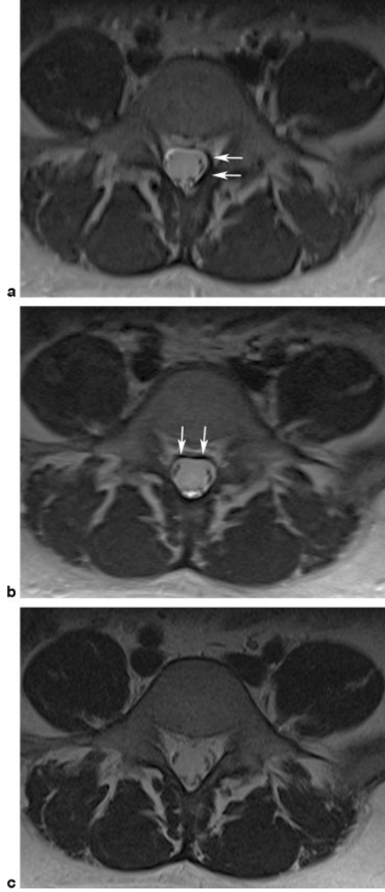
截断伪影常见于 MR 信号强度突然变化的组织界面,如脂肪-肌肉和脊髓-脑脊液界面,可能导致脊髓内出现虚假高信号,易被误解为脊髓空洞或损伤。通过校正编码方向等方法可改善。
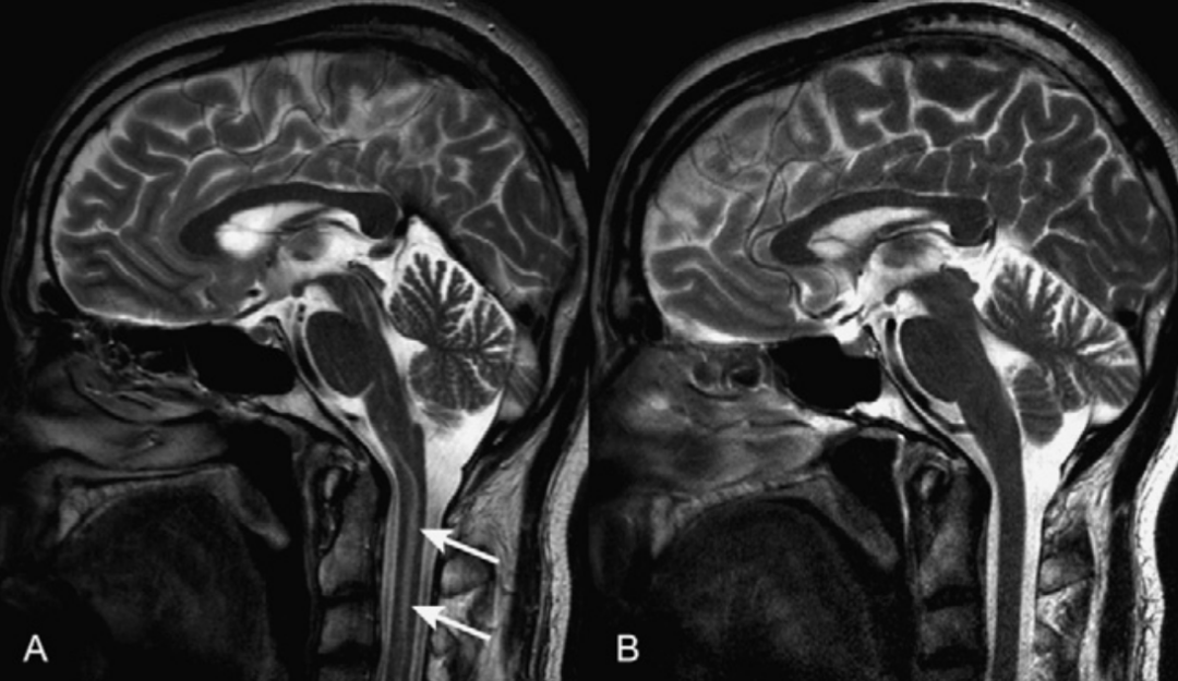
运动伪影由心脏和患者运动引起,像颈部吞咽动作引起的伪影可能被误认为脊髓病变,添加颈前饱和带可抑制。
血管搏动也可能产生伪影。
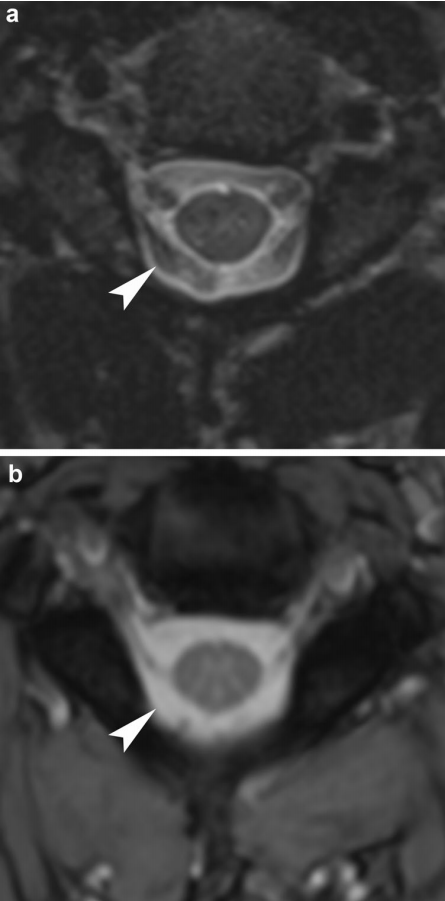
化学位移伪影由于人体中水和脂肪内氢质子进动频率差异所致,常出现在水/脂界面,可能被误认为硬脊膜结构。
此外,还有其他容易识别的伪影。骨科金属植入物在高场强时会引起更广泛伪影,表现为低信号强度和脊髓变形。外周信号伪影因线圈单元与扫描范围不匹配产生,有多种表现形式。拼接伪影在脊柱扫描拼接中,因金属异物、参数不一致等因素,导致上下两段对比度不一致。同时,阅片时还需注意不要忽略正常解剖结构,如椎基静脉孔和神经血管脂肪簇等。

蓝色箭头所指的是由脊髓腔内脑脊液流动所形成的流动伪影,白色箭头所指的则是截断伪影。蓝色和白色箭头所呈现的征象均属于伪影,椎管和脊髓实际上是正常的,而星号区域为 L1 椎体血管瘤。


















声明:脑医汇旗下神外资讯、神介资讯、神内资讯、脑医咨询、Ai Brain 所发表内容之知识产权为脑医汇及主办方、原作者等相关权利人所有。
投稿邮箱:NAOYIHUI@163.com
未经许可,禁止进行转载、摘编、复制、裁切、录制等。经许可授权使用,亦须注明来源。欢迎转发、分享。




