• 可定义为动脉壁上的脆弱部分向外膨出/扩张而形成的薄壁球状物。
• 最常见于动脉分叉,尤其是大脑动脉环(囊状或浆果状动脉瘤,它们是导致蛛网膜下腔出血的主要原因)。
• 能通过以下两种方式导致神经损伤:
a.压迫神经组织
b.破裂和出血
1.流行率:
• 2%人群(7.8%上海)
2.动脉瘤破裂:
• 年破裂率约为6/10万人群
• 其中超过30%的患者在破裂发生的24个月内死亡
• 另有25-30%未治疗的病人在4周内死亡
3.女性的危险性高于男性
• 是导致出血性卒中的主要原因
• 通常无症状
• 神经系统症状(压力效应)
• 蛛网膜下腔出血(SAH)
• 伴随血管痉挛
• 再次出血
估计的流行率:
ICA 20-30%
MCA 20-30%
ACA, Acom 10-20%
Pcom 2-15%
基底动脉尖 5%
脊椎基底动脉 5-10%
瘤囊大小:
小:直径<10mm(78%)
大:直径为10到20mm(20%)
巨大:直径>20mm(2%)
SAH:
头颅CT为首选诊断技术。
腰穿是很敏感的检查方法,但目前已不常用。
DSA是诊断“金标准”。
首先检查高度怀疑的血管,以防病情变化。
体检:
建议45岁以上或有颅内动脉瘤家族史行头颅CTA或MRA检查。


颅内动脉瘤手术方案

总体来说,开刀和介入两种治疗方法,对于动脉瘤都是非常有效的,选择何种方法,取决于医生和病人最终商讨的结果。如果动脉瘤非常大,并且手术开刀风险非常高,建议做介入治疗。如果动脉瘤介入治疗风险非常高,血管条件非常差,可能需考虑使用开刀治疗的方式。两种方法并发症和治愈率基本接近,主要还是取决于患者的病情。
总体趋势:简单、安全与疗效的最大化!



动脉瘤神经介入的萌芽
1962,Rothenberg等在研究球囊造影导管时,在动物模型中证实聚酯纤维缠绕橡胶球囊固定在4F导管上,可以在血管内定点充盈封闭血管,被认为是基于导管技术的现代颅内动脉瘤血管内治疗的萌芽。
1964年球囊导管临时阻断动脉瘤

1973年可脱球囊机械封堵动脉瘤

1970~1990年:球囊机械封堵时代
为避免球囊泄露,Debrun和DiTullio分别对可脱球囊进行了改良,发明了单向阀门球囊。Higashida和Moret团队则采用可固化的液体栓塞材料充盈球囊。但是可脱球囊栓塞颅内动脉瘤技术相关并发症一直居高不下,包括治疗早期和晚期出血、动脉瘤复发等问题。
2000年,Neurosurgery发表文章给予Serbinenko教授极高的评价,称赞他是现代神经外科血管内治疗技术的奠基人。
游离弹簧圈栓塞颅内动脉瘤
1985年Braun首次报道了游离弹簧圈栓塞颈内动脉巨大动脉瘤。和Werner借鉴电凝治疗主动脉弓动脉瘤类似,弹簧圈用于栓塞主动脉弓动脉瘤已近百年。游离弹簧圈用于颅内动脉瘤栓塞取得一些成功的病例,但是游离弹簧圈填塞的不可控性,难以避免误栓载瘤动脉和远端血管。
可解脱弹簧圈栓塞颅内动脉瘤

1981年,Guglielmi和同事们在神经外科研究所的实验室里,进行了一次非常重要的动物体内实验。在10只兔子动脉瘤模型中,对0.2mm的不锈钢导丝通入10mA的正电流,10分钟后“电血栓”渐成。由于血栓过小,栓塞实验宣告失败,但造影显示瘤内出现了一段“鼠尾”(Rat Tail)样腐蚀,意义非凡。这是由插入动脉瘤内的不锈钢电极经电流的不断腐蚀形成,也是可脱性弹簧圈的基本原理。
可解脱弹簧圈栓塞颅内动脉瘤的春天

1990年3月6号,有个创伤性颈动脉海绵窦瘘的病人,动脉和静脉入路可脱性球囊填塞都失败了。于是Fernando Vinuela,Jacques Dion 和 Gary Duckwiler 在绝望中使用了可脱性弹簧圈。Guglielmi送了二个可脱性弹簧圈到手术室,一个40厘米,一个15厘米。结果可脱性弹簧圈脱落后好像什么都没有发生,瘘仍在。于是手术终止,决定明天重来。谁知道术后造影发现瘘消失了。
颅内动脉瘤介入治疗快速发展
近30年,特别是2002年ISAT结果发表之后,颅内动脉瘤血管内治疗进入快速发展期。为提高弹簧圈栓塞的安全性、精准性和致密栓塞率,不同微导管和弹簧圈的设计既有标准化,又各有特色,生物修饰圈的出现更丰富了弹簧圈的设计理念。针对宽颈动脉瘤,球囊辅助技术和支架辅助技术的出现,促进了颅内球囊和支架的快速发展。在动脉瘤血管内治疗的长期随访中,人们认识到降低血流动力学冲击、促进血栓形成和内皮修复在动脉瘤血管内治疗中的核心作用,血流导向装置和瘤内扰瘤装置进而面世。
ISAT研究结果的发表

1997 Jaque Moret球囊辅助栓塞动脉瘤

Moret教授将球囊辅助技术发展到极致,形成非高顺应性球囊保护侧壁动脉瘤载瘤动脉、高顺应性球囊保护分支血管、多球囊辅助栓塞分叉宽颈动脉等技术。球囊辅助技术的发展和成熟促进了颅内球囊的面世,目前临床上有单腔球囊HyperForm、双腔球囊Scepter。

1997 Higashida 支架辅助栓塞动脉瘤

支架辅助动脉瘤栓塞的作用可以分为支架重塑载瘤动脉、保护分支血管、稳定微导管和血流动力学导向,后者会单独详细论述。支架辅助动脉栓塞的技术可以简单分为:“Coil-through”技术、“The Jailing”技术、多支架技术。“Coil-through“技术扩展出冰激凌技术;“The Jailing”技术包括支架全释放、半释放、后释放、压簧和灯笼技术、支架摆尾技巧等;多支架技术包括套叠支架、桥接支架、T形支架、X形支架和Y形支架,后者又包括并联的Y形支架和穿网眼的Y形支架。
支架辅助技术的发展和完善促进了颅内支架的快速发展。目前支架从释放方式可以分为球扩支架和自膨式支架,球扩支架不适合颅内动脉瘤的支架辅助栓塞。自膨式支架可以大体上分为开环支架和闭环支架。支架材质和网眼决定支架的径向支撑力、输送性能和自膨能力。支架网眼的大小、金属覆盖率、制作工艺和网眼形状决定了血流导向和血管内皮修复能力。
第一代颅内支架Neuroform是激光雕刻开环设计,2002年获得人道主义器械豁免权(HDE)而上市。第二代支架包括Enterprise和Solitaire,两者都采用闭环设计,支架可以回收和重新定位再释放。2007年Enterprise获得FDA的HDE认证用于宽颈动脉瘤辅助栓塞,二代Enterprise在贴壁性能上做了改良。第三代支架包括LIVS、Neuroform Atlas和Leo等支架,更重视支架的贴壁性,和血流动力学导向。

有人尝试使用可以完全回收的Solitaire支架辅助动脉瘤栓塞,在致密栓塞后再回收支架,避免长期口服抗血小板药物。Comaneci和Cascade属于临时支架辅助器械,不能释放。其设计理念是在瘤颈局部膨隆以保护分支血管。Barrel支架呈中间粗的筒形设计,激光雕刻,是可完全释放再回收的自膨式支架。支架为双螺旋结构,以增加分叉宽颈动脉瘤瘤颈处的金属覆盖率,实现单支架保护分叉部位多个分支的理念。

瘤颈处的桥连器械则是对血管内治疗分叉宽颈动脉瘤的另一种尝试。pCONus、pCANvas和RulserRider是对冰激凌技术的发展,封堵瘤颈保护分支血管,辅助弹簧圈栓塞。

eCLIPs的设计非常新颖,通过叶片状的设计,在释放过程中实现支架尾端的摆尾,实现平行释放以保护分支血管。

覆膜支架通过腔内隔绝技术重建血管,其适应范围窄,但是对于血泡样动脉瘤,假性动脉瘤、椎动脉血栓性动脉瘤具有其独特的优势。Willis覆膜支架是李明华教授设计,全球唯一一款神经介入的覆膜支架。

颅内动脉瘤的电凝技术最早始于1941年。Guido Guglielmi在最早的GDC文章中,也认为血栓形成是弹簧圈填塞和电凝的双重效果。2016年,首都医科大学附属北京天坛医院李佑祥团队发表电凝治疗颅内微小动脉瘤的临床研究结果,治疗效果满意。多年以后,电凝技术在现代颅内动脉瘤的血管内治疗中仍占据一定位置。
1、颅内动脉瘤介入治疗:电凝诱导血栓、机械封堵(球囊、弹簧圈)。
2、瘤颈复发:填塞均匀(复杂弹簧圈和液体栓塞材料)、填塞密度、瘤颈封堵。
3、扩大适应症:球囊辅助和支架辅助。
4、内皮修复:支架的脚手架作用。
5、血流导向:侧壁动脉瘤和分叉部位动脉瘤(改变的血管走行、血流导向装置)。
6、腔内隔绝:覆膜支架。
在动脉瘤血管内治疗的长期随访中,人们认识到支架降低动脉瘤复发率的机制是降低血流动力学冲击、促进血栓形成和内皮修复,提出血流动力学导向的理念,血流导向装置进而面世。脚手架和血流导向是支架辅助修复的2个方面。

市面八款FD特点

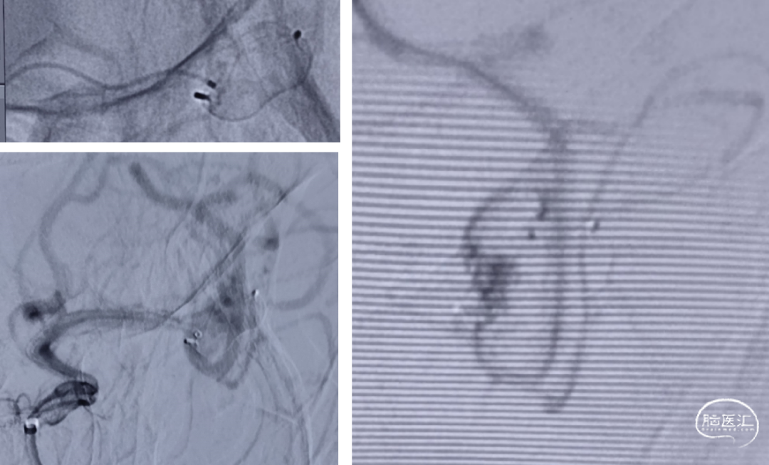
F 61y



AI规划:4.0x13,选择Lattice4.1x15

AI:Lattice4.1x15


半年DSA复查




Contour神经血管系统,是自膨式瘤内扰流装置。和WEB不同,其只针对瘤颈,有4个型号,适用于2~8.5mm的动脉瘤。

动脉瘤形态不规则,WEB选择?
上方子瘤?
下方子瘤?
上干保护?
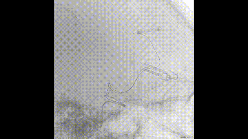
WEB方案

预置微导管
备:上方子瘤填塞、下方子瘤填塞、上干支架




4个月复查,停单抗


发病时头颅CT

国内首例远端侧壁动脉瘤WEB

微导丝支撑和保护下WEB释放、按摩


8个月复查


ISAT研究结果发表后的20年,血管内治疗技术已经成为颅内动脉瘤治疗的首选。颅内动脉瘤神经介入技术未来发展,主要集中在精准评估出血风险、制定安全的治疗策略、预测神经介入治疗效果、减少放射暴露。

*本文转载自“钟书医生”公众号,脑医汇获授权转载

钟书
广西自治区人民医院
脑血管、脊髓神经外科副主任医师,广西右江民族医学院外科副教授
中国卒中专科联盟委员
中国医师协会神经介入专委会委员
国家卫健委脑防委出血介入专委会委员
中国生命关怀协会理事
中国生命关怀协会脑卒中救治及康复照护专业委员会常务委员
中国老年医学会神经医学分会常委兼副总干事
中国老年医学会脑血管病分会委员
中国老年保健医学研究会脑卒中防治分会委员
海峡两岸医药学会神经外科专委会脑血管病学组委员
中国人体健康科技促进会临床神经科学技术转化专委会委员
中国神经外科重症管理协作组委员
中国神经科学转化与循证医学协作组委员
广西脑血管病专科联盟副主席兼秘书长
美国神经介入(JNIS)杂志中文版编委
脑医汇-神介资讯编委
获国家卫健委脑防委优秀中青年专家、国家卫健委脑卒中防治工程十周年菁英先锋奖、中国志愿医生脱贫攻坚功勋奖、广西区直机关青年岗位能手、广西优秀青年志愿者等荣誉称号
声明:脑医汇旗下神外资讯、神介资讯、脑医咨询、Ai Brain 所发表内容之知识产权为脑医汇及主办方、原作者等相关权利人所有。
投稿邮箱:NAOYIHUI@163.com
未经许可,禁止进行转载、摘编、复制、裁切、录制等。经许可授权使用,亦须注明来源。欢迎转发、分享。
投稿/会议发布,请联系400-888-2526转3。






