


C A S E
本 期 病 例
01
病史介绍
患者:男性,45岁。
主诉:脑出血检查发现脑动脉瘤4个月。
现病史:患者缘于2024年3月15日早上8时左右因突发剧烈头痛,急送我院,行头颅CTA检查提示:蛛网膜下腔出血,前交通及左侧大脑中动脉瘤,考虑前交通动脉瘤破裂出血。于2024年3月15日在我院行经导管前交通动脉瘤支架辅助栓塞,术后恢复可,现为求进一步处理左侧大脑中动脉瘤,特来我院就诊,门诊拟“颅内动脉瘤”收入我科住院。
既往史:否认高血压、糖尿病及其他相关病史;2024年3月15日经导管前交通动脉瘤支架辅助栓塞术。
入院查体:T 36.5℃,P 88次/分,R 20次/分,BP 136/94mmHg;神志清楚,双侧瞳孔直径2.0mm,对光反应灵敏,四肢肌力、肌张力正常,生理反射存在,病理反射未引出。
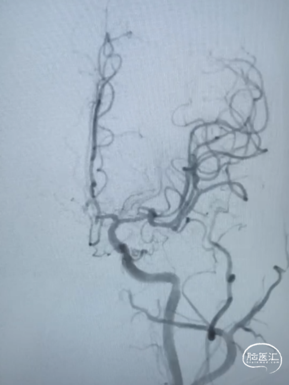
02
术前影像


03
术前诊断
左侧大脑中动脉M2段动脉瘤,前交通动脉瘤栓塞术后。
04
术中涉及介入器械
05
治疗经过
患者取仰卧位,麻醉成功后,行双侧腹股沟处碘伏消毒3遍,铺无菌洞巾,以Seldinger法行右腹股沟股动脉穿刺,置6F动脉鞘,以5F多功能管造影可见左侧大脑中动脉M2段动脉瘤。


更换6F 长鞘,使用泥鳅导丝将6F 115cm Tethys®中间导引导管送至C1段,使用14微导丝及SL-10微导管将6F 115cm Tethys®中间导引导管送至C5段。
使用14微导丝将SL-10微导管送入M3段,跨过瘤颈开口。
使用14微导丝将Echelon-10微导管送入动脉瘤腔。依次将成篮圈:弹簧圈 3.5x7.5和Jasper®弹簧圈 2*4两枚、1.5*3一枚填入动脉瘤。造影后,决定用支架。
释放张力,后释放激光雕刻开环支架 3.0*21mm横跨动脉瘤颈,继续填塞Jasper®弹簧圈 1.5*3一枚、1.5*2两枚致密栓塞。
术后即刻造影提示栓塞完全。




颅内动脉瘤的介入手术治疗越来越普及,对于颅内远端动脉瘤、载瘤动脉迂曲、行径血管迂曲的病人,中间导引导管的柔韧性、高到位性以及整体系统的支撑性成为动脉瘤栓塞成功的关键因素。本例手术为一例M2段动脉瘤,位置较远且入路行径动脉迂曲,Tethys®中间导引导管的通过性以及相对位置的支撑性保障了支架辅助弹簧圈顺利治疗该例病变。
动脉瘤位置特殊且形状不太规则,微导管往往不太稳定且对弹簧圈的栓塞能力具有较高的要求,本例手术同时使用了Jasper®弹簧圈,具有成篮稳定、柔软、顺应性高及解脱性好等特点,帮助致密栓塞。
冯九庚
南昌大学第一附属医院
南昌大学第一附属医院神经外科主任医师,副教授,医学博士,硕士研究生导师。
国家神经疾病医学中心高级访问学者。
中国研究型医院学会脑血管病专委会青年委员、中国微循环学会神经保护与康复委员会青委会常委、江西康复医学会脑血管病专委会常委、江西康复医学会脑血管病专委会青委会副主任委员、江西整合医学会神经外科分会委员、江西整合医学会神经外科青委会副主任委员、江西卒中学会复合介入神经外科分会副主任委员、江西省劳动能力鉴定委员会委员、国家自然科学基金评审专家、江西省科技厅项目评审专家、Aging杂志审稿专家、Molecular therapy杂志审稿专家。
主要研究方向:颅脑创伤的脑保护机制研究及脑动脉瘤治疗的临床研究。临床主要从事脑血管疾病(动脉瘤、血管畸形、烟雾病)的介入栓塞和微创手术治疗。
同时是掌握神经介入技术、显微手术技术、血管搭桥技术的复合型神经外科医师。擅长颅内动脉瘤介入栓塞及微创夹闭手术、烟雾病颅内血管重建术、脑动静脉畸形微创手术治疗。
目前主持国家自然科学基金1项,参与国家自然基金项目7项,主持江西省科技厅项目1项,主持及参与厅局级课题10余项;共发表论文40余篇,其中SCI 10篇,核心期刊20余篇。
曾剑平
南昌大学第一附属医院
浙江大学博士毕业,主治医师。
主要从事脑动脉瘤,脑出血,脑外伤等疾病诊治。
主持省级课题一项,教育厅课题重点项目一项,厅局级课题多项,以第一和通讯作者发表论文10余篇,其中SCI论文6篇。
黄金辉
南昌大学第一附属医院
南昌大学第一附属医院 医师,研究生。
特别说明:本页面所包含的文字、图片、音视频等内容仅供医学专业人士参考。本页面所包含的内容,仅为专家个人观点,不能代替医疗专业人士的判断。本页面不向非医学专业人士开放,敬请理解。

![]()
声明:脑医汇旗下神外资讯、神介资讯、脑医咨询、Ai Brain 所发表内容之知识产权为脑医汇及主办方、原作者等相关权利人所有。
投稿邮箱:NAOYIHUI@163.com
未经许可,禁止进行转载、摘编、复制、裁切、录制等。经许可授权使用,亦须注明来源。欢迎转发、分享。
投稿/会议发布,请联系400-888-2526转3。










