

本期病例
病历简介
患者:男性,46岁。
主诉:以“左侧肢体力弱2小时”为代主诉于2024.04.23入院。
现病史:病人于入院2小时前正在干活时出现左侧肢体力弱,左上肢抬举困难,左下肢无法站立、行走,并头晕,无复视、耳鸣,无肢体麻木、感觉异常;家人急呼120送至我院。
既往史:高血压病史2年,未规范治疗。
入院查体:BP 150/82mmHg;P 76次/分。神志嗜睡,构音不良,双眼右向凝视,左侧鼻唇沟浅,伸舌左偏;左侧肢体无活动,肌张力低,左巴氏征(+);心率 92次/分,房颤。NIHSS评分15分。
入院诊断
高血压病
心律失常,房颤
急诊处置
超急性期脑梗死(发病2小时)
再灌注治疗时间窗内
立即静脉溶栓治疗
TNK 21.5mg静脉注射(体重86Kg)
DNT 24min
患者发病前mRS 0分;入院NIHSS 15分,ASPECT 7分
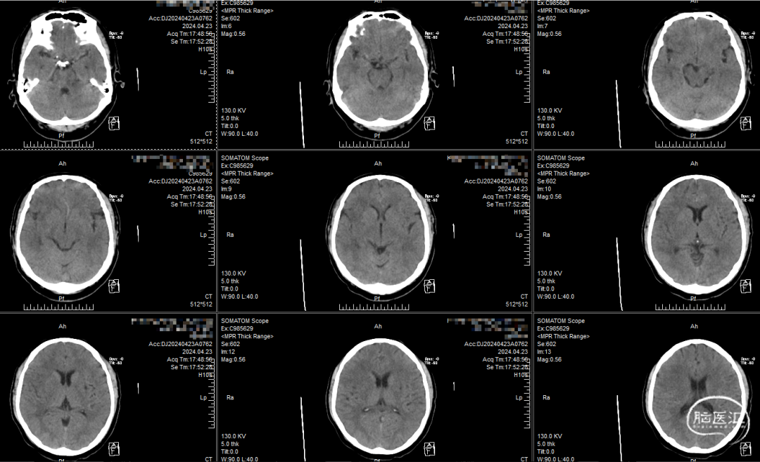
CT平扫:岛叶,大脑中动脉前皮质区受累,考虑大脑中动脉起始部闭塞可能性大

患者46岁,发病时间较短,符合动脉取栓标准,目前无动脉取栓禁忌,征得患者家属知情同意后,拟脑动脉造影评估颅内动脉情况,根据实际情况决定是否需动脉取栓
尽快开通血管,改善预后
治疗方案
溶栓同时急诊脑血管造影
桥接取栓/溶栓或血管成形术治疗
家人同意介入手术
急诊术前准备
造影显示右侧大脑中动脉起始部闭塞


查体:NIHSS 15分,ASPECT 7分
病情较重,大脑中动脉闭塞诊断明确,静脉溶栓未能实现血管再灌注,侧支循环不能完全代偿大脑中动脉远端供血
存在桥接动脉取栓指征,患者目前无动脉取栓禁忌,征得患者家属知情同意后,拟行动脉取栓术
立即开始介入血管内治疗准备
术中器械
心玮 8F 支撑导管(8D090cm)
心玮吞川 5F 132cm 颅内血栓抽吸导管
Kang Fly 微导丝
Willskey 微导管
Reco取栓支架 3mm*20mm
备用:球囊导管、支架等
手术过程
8F 支撑导管 (8D090cm) 置于RC1,5F 132cm 颅内血栓抽吸导管达RC4。


微导丝穿越闭塞病变,微导管造影。

释放取栓支架,造影提示血管闭塞。


取栓,复查造影。


栓子逃逸。

5F 132cm 颅内血栓抽吸导管进行通路建立。






血管再通,血流恢复。静脉期未见造影剂瘀滞、延迟清除现象,动脉支配区域染色基本正常,TIMI 3级。


术后情况
术后影像
术后CT

术后MRI

术后查体
患者术后返回病房继续治疗。神志清,构音不良,左侧鼻唇沟浅、伸舌左偏,左侧肢体肌力恢复至3级;NIHSS 8分。
内科治疗
术后继续内科治疗
早期康复训练
2天后转出N-ICU
复查MRI
转归
一周后出院
神志清,言语清晰、流利,双侧鼻唇沟对称,伸舌居中;左侧肢体肌力IV级,搀扶下可行走
NIHSS 4分,mRS 2-3分
随访
目前发病3月
门诊随访
NIHSS 2分,mRS 1分
拟3-6月复查脑血管造影
病例总结
患者急性脑梗死诊断明确,就诊及时,处于静脉溶栓时间窗内。根据目前指南及临床试验推荐,在具备血管内治疗条件的中心,静脉溶栓桥接血管内治疗是一个合理的选择,成功复灌流在桥接的患者中更为常见。虽然颅内出血的发生率在桥接治疗的患者中发生率更高,但在症状性颅内出血的发生率和90天全因死亡率方面,桥接治疗并不劣于单纯的血管内治疗。
患者房颤病史明确,发病急骤,迅速达峰,NIHSS 15分,病情较重,符合心源性栓塞特点。对于偏陈旧的心房附壁血栓,静脉溶栓效果要劣于新发血栓,平扫CT见大脑中动脉前皮质区、尾状核、岛叶低密度病灶,提示软膜支代偿不能完全代偿右侧大脑中动脉供血区域,闭塞血管的再灌注对于此患者的恢复具有重要的意义。
患者术中出现血栓碎裂移位,导致大脑中动脉上干远端闭塞,影响角回及中央前回血供,对患者预后有较大影响;此部位取栓血管相对较细,且位置深在,取栓装置的到位和取栓装置本身对于血管内皮的损伤直接影响治疗效果。心玮吞川 5F 132cm 颅内血栓抽吸导管良好的远端到位能力和操控性是保障手术顺利完成的关键,尤其抽吸过程中可以看出,在无支撑情况下,心玮吞川 5F 132cm 颅内血栓抽吸导管在M2段依然有很好的输送性,这一点会大大改善中小血管取栓的安全性和成功率。
在现有指南推荐中,虽然中小血管的取栓仍然没有获得广泛承认,但相信随着器材的进一步改进,在未来,中小血管取栓也会获得良好的治疗效果。快速恢复血流灌注是改善预后关键,早期康复治疗促进功能缺损恢复。
心玮吞川 5F 132cm 颅内血栓抽吸导管通过性好,抽吸性能强,能顺应血管形态到达远端取栓,值得信赖。
术者简介
开封市中心医院成立于1904年的福音医院,(河南省人民医院旧址,三级甲等医院)。
国家高级卒中中心单位,河南省神经病学区域医疗中心单位,国家神经系统疾病临床医学研究中心开封分中心。
*仅供医疗专业人士参考
心玮医疗
HEART CARE
上海心玮医疗科技股份有限公司(股票代码:06609.HK)成立于 2016 年,公司着眼于中国未被满足的临床医生和患者需求,致力于提高医疗创新技术和产品的可及性,降低重大疾病死亡率,改善患者预后,守护生命健康。公司总部位于上海临港新片区,在上海张江、南京江北新区、美国加州设有研发生产中心,并在北京、香港等地设有分支机构。

![]()
声明:脑医汇旗下神外资讯、神介资讯、脑医咨询、Ai Brain 所发表内容之知识产权为脑医汇及主办方、原作者等相关权利人所有。
投稿邮箱:NAOYIHUI@163.com
未经许可,禁止进行转载、摘编、复制、裁切、录制等。经许可授权使用,亦须注明来源。欢迎转发、分享。
投稿/会议发布,请联系400-888-2526转3。








