今天为大家分享的是《监测有道丨颅脑创伤-神经重症周刊》第377期,桂平市人民医院陈权柱主治医师带来的:脑外伤后脑膨出颅骨修补一例,欢迎阅读、分享。病史
31岁女性,车祸外伤去骨瓣减压术后半年。
查体:神清,GCS15分,四肢肌力肌张力正常。右额部骨窗处软组织膨隆。

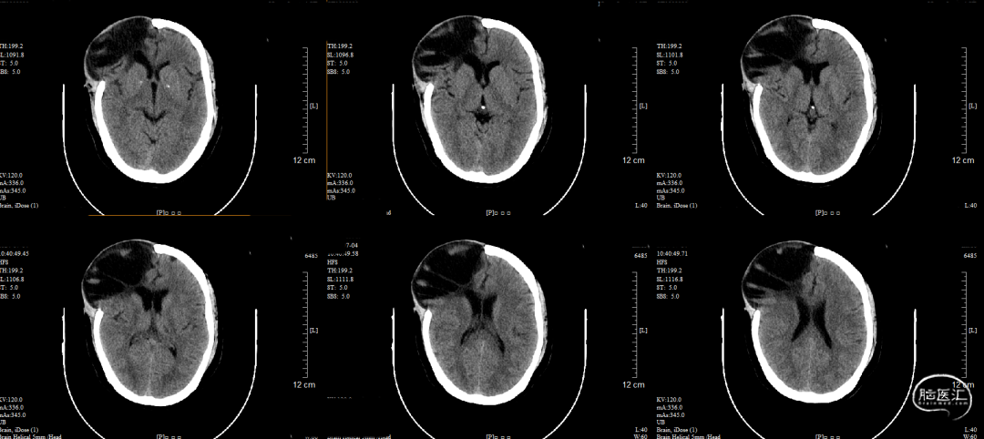
术前CT

额部脑组织软化、局灶性脑积水,膨出骨窗
手术计划分析
术前麻醉后脑组织仍明显膨出

术前抬高背板15°,腰大池释放脑脊液,脑组织仍回落不明显
术前思考
术中

术后

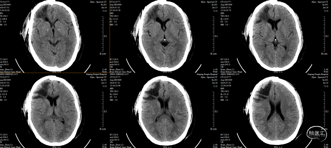
术后CT


专家简介
陈权柱 主治医师
. 桂平市人民医院神经外科主治医师,毕业于右江民族医学院临床医学专业,本科学历,学士学位,在读研究生,中共党员
. 广西康复医学会颅脑创伤康复专业委员会委员,2024年3月-6月参加广西医科大学第一附属医院第二期神经外科手术技能培训班学习
. 擅长神经外科各种常见病如颅脑创伤、高血压脑出血、脑干出血、脑肿瘤、脑积水、颅内动脉瘤、动静脉畸形、烟雾病等疾病的诊治,能独立开展颅脑创伤开颅术、颅骨缺损修补术、高血压脑出血显微镜/神经内镜开颅血肿清除术、脑干血肿立体定向穿刺术、脑血管造影术、脑室-腹腔分流术等手术

![]()
声明:脑医汇旗下神外资讯、神介资讯、神内资讯、脑医咨询、Ai Brain 所发表内容之知识产权为脑医汇及主办方、原作者等相关权利人所有。





