
术者寄语
《急性缺血性卒中血管内治疗中国指南2023》指出:颅内动脉闭塞合并原位狭窄患者的手术方式选择尚不明确,由于单纯支架取栓困难大、开通率低,临床常会选择血管成形术或支架置入术作为补救措施。急诊血管内治疗时可以考虑应用血管成形、支架置入等补救措施,以使再灌注血流达到eTICI分级2b50~3级(Ⅱb类推荐,B级证据)。
但先取栓后血管成形的处理方式存在诸多困难:如血栓易位、狭窄远端的血栓难以取出,再通率低;反复交换与取栓可能损伤血管,引起斑块破裂、血管夹层,导致再次通过困难等。现有的取栓器械只是为了单纯的取栓操作而设计,对于ICAS-LVO这类复杂情况,尚缺乏专门的器械与技术。
BASIS(Balloon AngioplaSty with the dIstal protection of Stent retriever)技术——远端取栓支架保护下的球囊血管成形术,正是基于Syphonet®取栓支架的独特设计特点而提出的,可以同时解决狭窄与栓塞的ICAS-LVO患者的治疗技术:
①同时处理近端狭窄与远端栓塞,减少手术时间,提高患者预后;
②相较传统手术步骤可以减少器械交换,降低因器械交换所致的并发症发生风险;
③利用Syphonet®取栓支架抓捕篮作为保护,降低因球囊扩张导致的血栓逃逸风险;
④避免传统手术取栓支架拉栓过病变造成的内膜损伤、斑块破裂、血管痉挛风险。
本期「沛嘉加奇·嘉介谈」邀请南阳市中心医院张在行主治医师、孙军副主任医师、汪宁副主任医师、温昌明主任医师,分享应用:BASIS技术急诊成功开通右侧大脑中动脉急性闭塞并球囊成形支架植入术一例,精彩不容错过。



病例简介
01 患者基本信息
患者:女性,58岁。
主诉:突发左侧肢体无力5小时。
现病史:
5小时前患者无明显诱因出现右侧肢体无力,尚可持物、站立,无言语不清,无头晕、头痛,无视物旋转、恶心、呕吐等不适。当地医院行颅脑MRI及CTA示右侧大脑半球分水岭脑梗死、右侧大脑中动脉分支稀疏,给予静脉溶栓治疗(具体不详)。
左侧肢体无力一过性好转后进展加重,左侧肢体不能抬离床面,复查颅脑CT未见出血征象,今为求进一步诊治急诊转入我院,急诊以“急性脑梗死 ”为诊断收入我科。
发病来,神志清,精神差,未进食水,大便未解,小便正常,体力下降,体重无明显下降。
既往史:否认既往疾病史。
个人史&家族史:无特殊。
查体:
神志清,精神差,查体基本合作,言语欠清晰,双侧瞳孔等大等圆,双侧瞳孔直径约2.5mm,对光反射灵敏,双眼右侧凝视,左侧中枢性面舌瘫,左侧肢体肌力2级,右侧肢体肌力5级,四肢肌张力及腱反射正常,左侧巴氏症阳性,无项强,Kernig征阴性。
NIHSS评分13分;mRS评分4分;发病前mRS评分0分。
入院血压:130/80 mmHg;心电图:窦性心律,心率88/分,正常心电图;重度腹型肥胖:BMI 40。
02 术前影像信息
带入颅脑MRI示右侧大脑半球分水岭急性脑梗死。

头颈部CTA示右侧大脑中动脉分支稀疏,上干重度狭窄/闭塞。

03 术前诊断
急性脑梗死(TOAST分型:大动脉粥样硬化型卒中可能性大)。
诊疗经过
01 术前讨论
➢手术指征
患者老年女性,重度腹型肥胖,结合病史及影像表现,考虑动脉粥样硬化病变可能性大。患者前循环病变,发病6小时内,颅脑CT排除出血且无大面积显影,家属积极,结合急性缺血性卒中血管内治疗中国指南(2023),患者手术指征明确,无明显禁忌征,遂予以急诊介入治疗。
➢手术策略
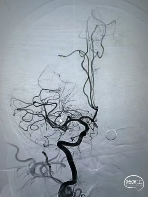
DSA提示右侧大脑中动脉上干(主分支)起始段重度狭窄/闭塞,局部血栓影。该病变考虑ICAS病变,为避免栓子逃逸,减少器械交换,节省手术时间,遂采用BASIS技术。



02 术中涉及介入器械选择
6F 90cm 长鞘
5F 125cm 中间导管
0.014inch 300cm 微导丝
0.021" 微导管
加奇生物 4.0*30mm Syphonet®取栓支架
加奇生物 2.0*15mm SacSpeed®球囊扩张导管
PLUS灌注导管
自膨式闭环支架 4.0*23mm
03 治疗过程
微导管超选闭塞远端真腔后,沿微导管释放4.0*30mm Syphonet®取栓支架。

沿4.0*30mm Syphonet®取栓支架送入2.0*15mm SacSpeed®球囊扩张导管。

中间导管沿4.0*30mm Syphonet®取栓支架推送至狭窄近端,负压抽吸,SWIM技术回撤Syphonet®取栓支架,支架取出体外后中间导管持续负压回抽,取出条状暗红色血栓。

为防止微栓子逃逸,将4.0*30mm Syphonet®取栓支架释放覆盖病变节段后造影示狭窄改善;使用PLUS灌注导管回收Syphonet®取栓支架同时作为支架导管到位,将4.0*23mm 自膨式闭环支架释放覆盖病变节段,造影示病变回缩,残余狭窄大于50%。给予2.0*15mm SacSpeed®球囊扩张导管支架内后扩张。

支架内后扩张后造影示残余狭窄明显改善,残余狭窄约30%,远端血流速度正常。



术后颅脑CT未见出血及造影剂渗出。

病例总结
//
本例患者症状进展性加重,影像学证实右侧大脑半球分水岭急性脑梗死,DSA造影提示右侧大脑中动脉主干分支重度狭窄伴血栓形成,因此采用取栓支架保护下的球囊血管成形术(BASIS技术),在取栓过程中同步解决了狭窄情况,明显减少了手术中的多余操作。支架释放后残余狭窄明显,微导丝携带小球囊成袢通过支架行支架内后扩张后残余狭窄满意,病人症状较前有明显的改善。ICAS合并血栓的病例,BASIS技术简化了手术操作过程,有较好的应用前景。
术者信息
张在行
南阳市中心医院
南阳市中心医院神经内科脑血管病介入二病区主治医师,河南科技大学神经病学硕士研究生毕业,中共党员。
南阳市医师协会神经介入分会委员、河南省医学会神经病学分会神经介入学组委员。
目前主要从事脑血管病介入治疗及相关临床研究,擅长于急诊脑动脉取栓、脑动脉成形支架植入、脑动脉瘤介入栓塞等脑血管介入手术;在急性缺血性脑血管病溶栓、取栓、脑动脉支架,蛛网膜下腔出血、动脉瘤等神经系统疾病的诊疗方面积累丰富经验。
发表核心医学期刊论文8篇。
孙军
南阳市中心医院
神经内科副主任医师,中共党员,南阳市中心医院神经内科脑血管病介入二病区主任。
南阳市学术技术带头人。
河南省医学会神经病学分会青年委员、河南省医学会神经介入学组委员、河南省卒中学会青年理事会理事、河南省中医结合神经介入委员会委员、河南省医师协会神经介入专委会急性缺血性卒中血管内治疗学组委员、南阳市医师协会神经介入分会副主任委员、南阳市脑心同治委员会委员、南阳市高压氧学会委员。
曾在北京天坛医院、北京宣武医院、长海医院、河南省人民医院学习脑血管病介入技术。南阳市中心医院神经内科脑血管病介入团队主要成员。
近年来完成脑动脉取栓术、眼动脉溶栓、脑动脉支架植入术、脑动脉慢闭再通术、脑动脉瘤栓塞术、脑动静脉畸形栓塞术、脑动静脉瘘栓塞术、血流导向装置植入术、瘤内扰流装置植入术等介入手术4000余例。擅长脑血管病的介入治疗。
汪宁
南阳市中心医院
神经内科副主任医师,神经内科脑血管病介入二病区副主任。
河南省医学会神经病学分会神经介入学组委员、河南省医师协会神经介入青年委员会委员、河南省中医结合学会神经介入分会委员、南阳市医师协会神经介入分会秘书、南阳市脑心同治委员会委员。
擅长急诊缺血性脑血管病血管內治疗、颅内外大血管慢性闭塞再通、颅内外支架治疗、颅内动脉瘤介入栓塞等神经介入治疗。年完成颅内外神经介入手术四百余例。
在国内一、二类杂志共发表论文近20篇;主持省科技厅科技公关项目一项;获省科技进步奖二项。
温昌明
南阳市中心医院
神经内科主任医师,硕士研究生导师 ,南阳市中心医院副院长,河南省学术技术带头人,南阳市学术技术带头人,南阳市拔尖人才。
南阳市医师协会神经介入分会主任委员、河南省医师协会神经介入专业委员会副主任委员、河南省医学会神经介入分会常委兼神经介入学组副组长、河南省中西医结合学会介入分会副主任委员、中国医师协会神经介入分会青年委员会委员、河南省神经内科学会委员、河南省神经内科医师协会神经介入学组委员、南阳市介入治疗学会副主委、南阳市神经脑血管学会常委兼学术秘书 神经介入学组组长。
在急性缺血性卒中的静脉溶栓以及桥接介入取栓方面,做了大量开拓性和探索性的工作,在脑动脉狭窄支架植入、脑动脉瘤介入治疗等方面,均有较高造诣。2017年,获河南省第八届优秀医师奖。
❖
南阳市中心医院神经内科脑血管介入病区成立于2010年11月,以“时间就是大脑、血管再通才是王道”为科训。依托河南省神经疾病区域医疗中心平台,温昌明副院长领导的神经介入团队已发展为除郑大一附院和河南省人民医院之外,河南省第三大神经介入中心。
应学科发展和提升区域脑血管病诊疗能力的现实需求和神经内科亚专业建设的客观要求,在院党委顶层设计、统筹规划和院领导大力支持下,脑血管介入二病区于2023年2月9日在中心医院6号楼五楼东正式挂牌成立并开诊运转。病区由科主任孙军和副主任汪宁带领,在脑动脉取栓、颅内外支架、动脉瘤栓塞、颈动脉海绵窦瘘、脑动静脉畸形、静脉窦取栓、静脉窦狭窄支架治疗,以及脑动脉慢闭再通等神经介入核心技术,血流导向装置治疗动脉瘤等多方面技术成熟。科室目前有医师团队13人,包括副主任医师3人,主治医师7人,住院医师3人。
特别说明:本页面所包含的文字、图片、音视频等内容仅供医学专业人士参考。本页面所包含的内容,仅为专家个人观点,不能代替医疗专业人士的判断。本页面不向非医学专业人士开放,敬请理解。


![]()
声明:脑医汇旗下神外资讯、神介资讯、脑医咨询、Ai Brain 所发表内容之知识产权为脑医汇及主办方、原作者等相关权利人所有。
投稿邮箱:NAOYIHUI@163.com
未经许可,禁止进行转载、摘编、复制、裁切、录制等。经许可授权使用,亦须注明来源。欢迎转发、分享。
投稿/会议发布,请联系400-888-2526转3。













