今天为大家分享由南京脑科医院罗正祥教授带来的:三叉神经痛微血管减压术,欢迎阅读、分享!
![]()
概述
三叉神经痛被称为“千年之痛”、“天下第一痛”,人类认识它的历史长达数千年,病患殃及无数人,严重影响病患者生活。试想一下,每天忍受着堪比刑法的电击、撕裂样疼痛打击,是怎样的感觉?“痛不欲生、生不如死”是我们最常听到的患者的主诉。
古今中外,多少心怀悲悯之心医者们从未间断对这种疾病的探索:针灸、膏药、理疗、药物、神经封闭、神经球囊挤压、神经根切断.....,古老的疾病,自然就有很多的治疗方法。
方法越多,说明越没有明确或者太好的疗效,直到微血管减压手术时代的到来。Jannetta教授50年前还是毛头小伙的时候,就已经开创性的发表“三叉神经微血管减压术”的文章并在全世界范围内宣讲,可惜当时的人们很难接受这样的理念。国际神经外科巨头Samii教授认为“一个革命性的理念一旦创立,就需要一位能力超强、智商超群、忍耐力极强的人将其变为现实。Jannetta教授就是这样的人”。
前人栽树后人乘凉,如今,显微血管减压术早已成为三叉神经痛和面肌痉挛最有效的治疗方案之一。作为针对病因学的治疗、治愈率高、三叉神经功能完全保存,它有非常大的优势。
下面,分享我的比较有典型特点的三叉神经痛微血管减压术5例及其视频,以供互相学习,指导我进一步提高!
病例1
01
患者59岁女性,左侧面部发作性疼痛6年,加重1月;
查体示神清语明,左侧上牙龈处有扳机点;
3D-TOF提示左侧三叉神经与血管关系密切。


经验分享:该血管压迫属于少见型,属于困难减压。
一、责任血管可能有3支:2根动脉、1根岩静脉属支。
①主要责任血管为小脑上动脉分支,从三叉神经感觉支和运动支之间穿过,形成三叉神经的固有动脉,卡压在感觉跟头端的REZ区(少见);
②岩静脉属支从背下侧压迫;
③另一动脉攀从脑池段尾端压迫三叉神经。
二、困难减压处理:
①岩静脉属支多,遮挡主要责任血管减压,术中从岩静脉间隙里减压该主要责任血管。
②因为是穿行的固有动脉,无法抬开远离,既要垫开REZ区,又要使该固有动脉不能压迫运动支以免导致咬肌痉挛,遂在固有动脉和运动支之间也垫上垫片。
岩静脉是否是责任血管有待商榷,考虑到它紧贴着根部走行,松解固定的蛛网膜小梁后,也给它垫开。
患者术后疼痛彻底消失。
病例2
02
75岁女性,发作性右侧面部疼痛10年,加重伴右侧咽后壁疼痛3月;
查体:神清,痛苦貌,右侧鼻翼旁扳机点,地卡因实验后右侧咽后壁疼痛减轻;
磁共振示右侧三叉神经与血管关系密切。


该患者椎动脉冗长,偏移至一侧,压迫三叉神经及后组颅神经。
①、减压时需要多点加压,以分散粗大血管对神经的压迫;
②、粗大血管多数不是主要责任血管,其分支才是主要责任血管,故探查及减压要充分。
病例3
03
49岁女性,发作性左侧面部疼痛3年,加重1月;
查体:神清,痛苦貌,左侧鼻翼旁扳机点;
磁共振示左侧三叉神经与血管关系密切。


该病例特点:虽较简单,但术中见道上结节粗大,小脑上动脉在脑池段攀状走形至迈氏囊出口处,单纯显微镜下观察此处较为困难,磨除道上结节有一定风险,故采用“双镜法”,联合显微镜及内窥镜的优势,发挥扩大视野减少盲区的优势。
病例4
04
62岁女性,主诉:右侧颊部、额颞部发作性疼痛2年;
体征:神志清,精神可,痛苦貌,右侧眉弓处有扳机点;
磁共振提示:右侧三叉神经与血管关系密切。

该患者基于血管与神经关系,采用了血管翻转术,“乾坤大挪移”彻底改变血管的走形,将血管与神经之间解剖关系改变,理论上能够增加有效率,降低复发率。
要点是
①注意穿支动脉不能撕拉至出血;
②避免血管打折至梗死。
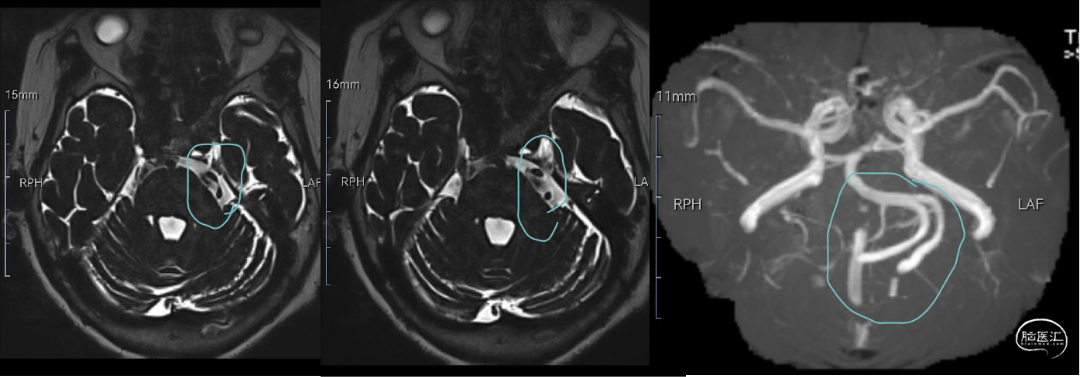
病例5
05
62岁男性,主诉“左侧额面部疼痛10年,加重6月”入院。口服卡马西平效果不理想。
查体:神志清楚,精神可,左侧鼻翼旁有典型的“扳机点”,左侧面部感觉及角膜反射未见异常,双侧额纹鼻唇沟对称,无口角歪斜,悬雍垂居中,肌力肌张力正常,病理征阴性。
术前MRI检查提示:
椎-基底动脉扩张迂曲症,左侧三叉神经出脑干段受压。


该患者为典型椎基底动脉冗长导致。椎-基底动脉延长扩张症(vertebrobasilar dolichoectasia,VBD) 指椎-基底动脉因各种原因导致异常扩张、延长、迂曲,是一种少见的脑血管疾病,人群发病率为 0. 2% ~ 4. 4% ,其临床表现以脑缺血、脑神经或脑干受压、脑出血、脑积水等症状为主,以第Ⅴ对及第Ⅶ对脑神经最易受累,而致三叉神经痛及面肌痉挛。
VBD 导致三叉神经痛少见,约占所有三叉神经痛的 2. 0% ~ 7. 7%。针对VBD致三叉神经痛的外科治疗,因患病率少,多以病例报告或小样本研究的报道。外科治疗方式较多,仍以显微血管减压术为主。
我们的经验是:
1.由于VBD粗大及韧性大,单纯性减压三叉神经受压局部困难且容易复发。需要对椎基底动脉尾端多处进行垫压,进行“架桥法”减压,以分解其对三叉神经的压力;
2.应对三叉神经全程进行探查减压,将所有压迫区域的血管与三叉神经运用 Teflon 棉片垫隔开,尽量将VBD的血管轻柔地从三叉神经表面推移开。
3.VBD 血管有明显的动脉粥样硬化,韧性与脆性增加,活动度有限,牵拉易致斑块脱落或脑干穿刺血管损伤,因此,操作过程须十分仔细,避免血管损伤。
4.VBD 属于慢性进展性疾病,随着病程进展血管延长扩张加重,加上长期血管搏动因素,易出现减压区域及减压材料移位,而致三叉神经痛复发。所以确保疗效,全程“架桥法血管减压更重要。
![]()
专家简介
罗正祥 教授
南京脑科医院
医学博士,主任医师,中共党员,南京地区第六届“十佳医生”,江苏省援藏医疗专家,南京市卫健委优秀共产党员,脱贫攻坚突出贡献南京市委记功一次。2019年放弃美国RIChard神经外科科室公费留学,响应组织号召援藏1年。
科研上:熟练掌握神经外科专业各种疾患诊断治疗,独立发表SCI12篇及中文核心论文11篇,省市级科研立项5项,获南京市卫生局新技术引进奖1项,主编科普书籍2本,参编专著1本,实用新型专利3项,为南京市十三五第二层次、十二五第三层次卫生青年人才,南京脑科医院十三五培养对象。
专业上:熟练掌握神经外科专业各种疾患诊断治疗,擅长颅内各种肿瘤、功能神经外科(舌咽神经痛、三叉神经痛、面肌痉挛、脑积水)、颅骨缺损、脑出血、脑外伤、脑血管病等各种疾病的诊断与外科微创治疗。
![]()
声明:脑医汇旗下神外资讯、神介资讯、神内资讯、脑医咨询、Ai Brain 所发表内容之知识产权为脑医汇及主办方、原作者等相关权利人所有。





