本文来源于公众号:第91病区
![]()
知识点
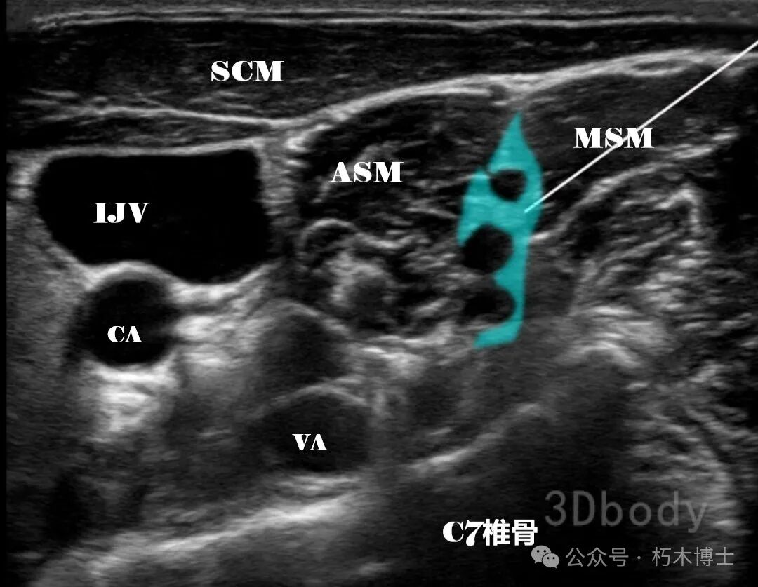
**臂丛神经阻滞的不同入路****一、肌间沟入路**1. 解剖:C5~C8 及 T1 神经的前支穿出椎间孔后,在前、中斜角肌间隙内合并形成上干(C5 与 C6)、中干(C7)和下干(C8 与 T1);穿出肌间沟后于锁骨下动脉的后上方沿第一肋骨上缘穿行。2. 适用手术:主要用于肩部和上臂近端的手术,用于前臂和手部手术时需追加尺神经阻滞。3. 超声解剖图:肌间沟水平的臂丛位于颈动脉外侧,前、中斜角肌之间。浅层可见椎前筋膜、颈浅丛和胸锁乳突肌,1~3cm 深度处可见臂丛。
![]()
图1. SCM:胸锁乳突肌;ASM:前斜角肌;MSM:中斜角肌;IJV:颈内静脉;CA:颈动脉;VA椎动脉。黑色串珠状结构为臂丛,浅蓝色为注射区域,白色直线为注射针。(图源:3Dbody)
4. 操作要点: - 患者取仰卧位或半坐卧位,头转向对侧。 - 高频探头横向放置在颈部,颈动脉搏动处,约在锁骨上 3~4cm。 - 看到颈动脉后向外侧滑动探头,直至出现前、中斜角肌及肌间沟中的臂丛结构。 - 确定目标后,平面内技术由外向内进针,穿过椎前筋膜。 - 回抽无血、脑脊液后,注入 15~20ml 局麻药,确保包绕相关神经干。**二、锁骨上入路**1. 解剖:阻滞位于臂丛神经干的远端与神经股的近端之间的水平。2. 适用手术:适合肘、前臂及手掌部位手术。3. 超声解剖图:锁骨下动脉在锁骨中点,前、中斜角肌之间穿过第一肋。锁骨下动脉深部、侧面的线状高回声结构是胸膜和第一肋,深部低回声的是肺。臂丛呈椭圆形或扁平形。
![]()
图2. SCM:胸锁乳突肌;ASM:前斜角肌;SA:锁骨下动脉。白色箭头处为第一肋,黑色葡萄状结构为臂丛。浅蓝色为注射区域,白色直线为注射针。(图源:3Dbody)
4. 操作要点: - 患者头转向对侧。 - 皮肤消毒,探头横向放置在锁骨中点上方,滑动显示锁骨下动脉。 - 向头侧或尾侧倾斜探头,获得清晰锁骨下动脉断层超声解剖图,动脉外侧方的一簇低回声椭圆形结构即臂丛。 - 平面内技术,从探头外侧进针,穿过椎前筋膜或臂丛鞘,回抽无血、空气,两点或三点注射局麻药 20-25ml。**三、锁骨下入路** - 喙突旁(经典入路) 1. 超声解剖图:在胸大肌和胸小肌深面可见腋动脉,腋动脉周围是臂丛的三个束,腋静脉位于腋动脉深部或表层。
![]()
图3a. PMaM:胸大肌;PMiM:胸小肌;AA:腋动脉;AV:腋静脉。AA周围圆形高回声结构为臂丛,浅蓝色为注射区域,白色直线为注射针。(图源:3Dbody)
2. 操作要点: - 患者头转向对侧。 - 皮肤消毒,探头矢状位显示腋动脉。 - 寻找高回声的臂丛侧束,观察与腋动脉相对位置关系。 - 平面内技术,从头侧紧靠锁骨下方进针,经过胸大肌和胸小肌,朝向腋动脉后方进针,回抽无血、气体后,注射 1~2ml 局麻药确认针尖位置和局麻药扩散位置。 - 单点注射扩散不充分时,需再次进针,在腋动脉周围注射局麻药。 - 肋锁间隙 1. 超声解剖图:可见胸大肌、锁骨下肌、前锯肌、腋动脉、腋静脉、臂丛(三束),臂丛在锁骨下肌深面,腋动脉外侧。
2. 操作要点: - 患者头转向对侧。 - 将探头置于内侧锁骨下窝,与锁骨平行并紧靠锁骨,识别腋动脉。 - 识别腋动脉外侧的臂丛神经束。 - 平面内技术,从外侧向内侧进针,目标在三条神经束之间,注入 15-20ml 局麻药。**四、腋路**1. 解剖:阻滞水平位于臂丛的末端。2. 适用手术:一般用于前臂和手部手术麻醉,也可用于肘部手术麻醉。3. 超声解剖图:可见搏动的腋动脉,动脉旁有腋静脉,腋动脉周围有正中神经、尺神经、桡神经和肌皮神经。
![]()
图4. A:正中神经;B:尺神经和桡神经;C:肌皮神经。浅蓝色为注射区域,白色直线为注射针。(图源:3Dbody)
4. 操作要点: - 患者头转向对侧。 - 皮肤消毒,探头平行于臂短轴方向放置,辨认腋动脉。 - 确定腋动脉后寻找正中神经、尺神经和桡神经。 - 在上臂近端和远端移动探头寻找肌皮神经。 - 确定目标结构后,平面内技术从头侧向腋动脉后方进针,先用小剂量局麻药或其他注射液进行液体分离神经血管组织。 - 局麻药先注射到腋动脉下方,然后针尖退回皮下,调整方向向正中神经和尺神经注射,最后将针退回肱二头肌内,朝向肌皮神经注射。 - 动脉周围局麻药的完全包绕是成功阻滞的关键,常需两点或三点注射,同时要另外注射以阻滞肌皮神经。
![]()
声明:脑医汇旗下神外资讯、神介资讯、神内资讯、脑医咨询、Ai Brain 所发表内容之知识产权为脑医汇及主办方、原作者等相关权利人所有。
投稿邮箱:NAOYIHUI@163.com
未经许可,禁止进行转载、摘编、复制、裁切、录制等。经许可授权使用,亦须注明来源。欢迎转发、分享。




