
前言
血流导向密网支架的出现为颅内动脉瘤传统的瘤内栓塞提供了新的理念,治疗策略转至重建载瘤动脉并促进动脉瘤的愈合。通桥麒麟FD是国内首款远端闭合设计的密网支架,由铂金芯镍钛丝编织而成,通体显影,近远端各3个显影点,3.5mm及以下直径规格可通过21系列微导管释放。为临床治疗颅内动脉瘤提供新的方案选择。
本 / 期 / 病 / 例
患者基本信息
患者:女性,50岁。
主诉:因“突发头痛1天”入院。
神经查体:神清,精神软,Hunt-Hess 2级,双侧瞳孔等大等圆,对光反射灵敏。颈抵抗4横指。其余神经系统查体无殊。
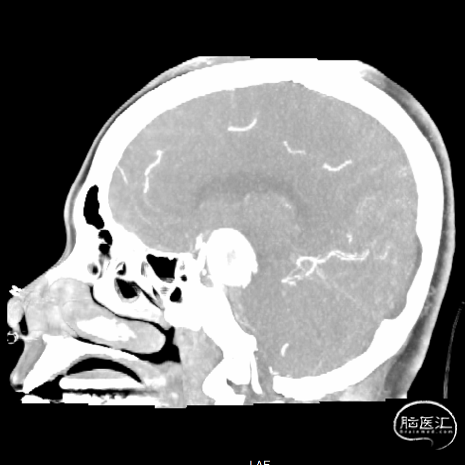
影像信息
我院头颅CT+CTA检查提示:蛛网膜下腔出血,左颈内动脉交通段边缘突起伴不均匀强化,动脉瘤首先考虑。




CTA


急诊DSA--左侧颈内动脉


急诊DSA--右侧颈内动脉


压颈试验

急诊DSA--左侧椎动脉

3D重建


治疗策略
一期急诊行双微导管技术弹簧圈动脉瘤栓塞术,必要时球囊或支架辅助。
二期行血流导向装置植入术。
术中器械
6F 90cm 长鞘
125cm MPA1
6F 115cm 通桥银蛇®颅内支持导管
麒麟颅内微导管
0.014" 200cm微导丝
通桥麒麟™血流导向密网支架 3.5*25mm
手术过程
➢ 一期手术造影
栓塞前工作位造影


栓塞后即刻工作位造影


➢ 一期术后
患者恢复顺利,术后1周出院。出院情况:一般情况稳定,右侧肢体肌力4级,左侧瞳孔散大固定;mRS 1分。
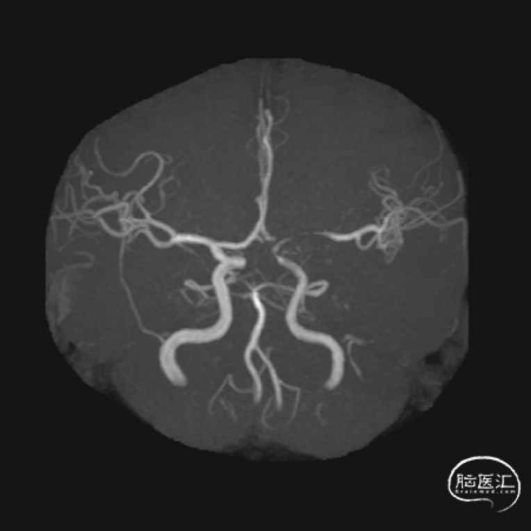
➢ 二期术前影像信息
一期术后1月再次来院复查,MRA提示瘤颈复发。


工作位DSA提示瘤颈复发,决定行血流导向装置植入术。

颅底高分辨MRI:瘤颈复发处无瘤内血栓,瘤颈处瘤壁强化。


氯吡格雷基因测定提示中代谢,阿司匹林100mg+氯吡格雷75mg 联合服用5天。

➢ 二期手术过程
选用通桥麒麟™血流导向密网支架 3.5*25mm。

术后即刻VASO CT。


通桥麒麟™血流导向密网支架展开贴壁良好。
➢ 二期术后
患者术后无新发神经功能障碍;术后2天出院。
术后3月MRA:瘤颈处血流信号较术前减少。


术后6月MRA:载瘤动脉通畅,动脉瘤不显影。

术后1年工作位DSA:瘤颈修复满意,动脉瘤体不显影。

术后2年MRA:动脉瘤无复发。

指导专家
许璟
浙江大学医学院附属第二医院
博士,主任医师,硕士研究生导师,浙江大学医学院附属第二医院神经外科科室副主任、神经介入亚专业组组长。
中华医学会神经外科分会神经介入组委员、浙江省医师协会神经介入专委会主任委员、卫健委脑卒中防治专家委员会出血性卒中介入专业委员会常委、吴阶平医学基金会脑卒中专家委员会常委、中国医师协会神经外科分会神经介入学组委员、中国医师协会神经介入专业委员会委员、浙江省卒中学会常务理事、浙江省神经介入沙龙召集人。
术者简介
凌晨晗
浙江大学医学院附属第二医院
副主任医师,毕业于浙江大学医学院。
浙江省医师协会神经介入专委会秘书、浙江省医师协会神经介入专委会青年委员会副主任委员。
从事神经外科临床和科研工作十余年,对于神经外科常见疾病的诊断与治疗具有丰富的经验,比如颅脑外伤、脑血管病、神经系统肿瘤(各类良恶性肿瘤)等。
目前专攻脑血管疾病的诊治包括外科手术和介入治疗,如颅内动脉瘤栓塞或夹闭、脑动静脉畸形栓塞或切除术、硬脑膜动静脉瘘栓塞术等。
主持浙江省自然科学基金项目一项,杭州市卫生局项目一项,参与国家自然科学基金一项,浙江省自然科学基金一项。

本内容仅供医学专业人士作线上专业交流
本内容不向非医学专业人士开放,敬请理解
讲课内容仅代表专家个人观点,非通桥医疗推广产品
![]()
声明:脑医汇旗下神外资讯、神介资讯、脑医咨询、Ai Brain 所发表内容之知识产权为脑医汇及主办方、原作者等相关权利人所有。
投稿邮箱:NAOYIHUI@163.com
未经许可,禁止进行转载、摘编、复制、裁切、录制等。经许可授权使用,亦须注明来源。欢迎转发、分享。
投稿/会议发布,请联系400-888-2526转3。








