病 例 分 享
ACA狭窄轻型卒中,进展闭塞急诊取栓:同侧A1发育不良,经对侧A1和前交通入路,取栓再通后少量渗血
患者:男,76岁
醒后卒中,最后正常时间:2024-1-12 23:00
到院时间:2024-01-13 10:40
症状:左侧肢体活动不便
NIHSS:3
既往史:心梗和脑梗死病史,吸烟
本次住院发现高脂血症和糖尿病
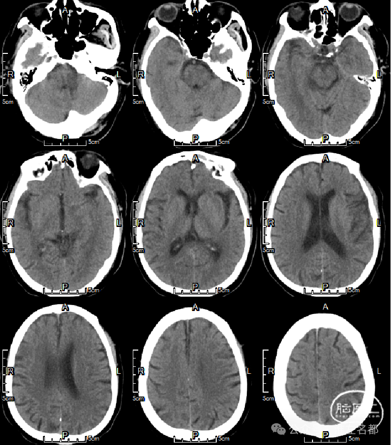
2024-01-13 11:34
急诊多模式CT

CT平扫:未及明确异常。


颅脑CTA:右侧大脑前动脉A2段局部管腔严重狭窄,右侧大脑前动脉A1段未发育,左侧大脑前动脉A1段粗大。

颈部CTA:所见脑供血动脉未见明确异常。

脑CTP:右侧大脑前动脉供血区局部TTP延长,相应区域CBF和CBV未见明显异常。
予以双抗、强化他汀等治疗。
2024-1-14早晨起床后,发现症状加重,NIHSS_8。
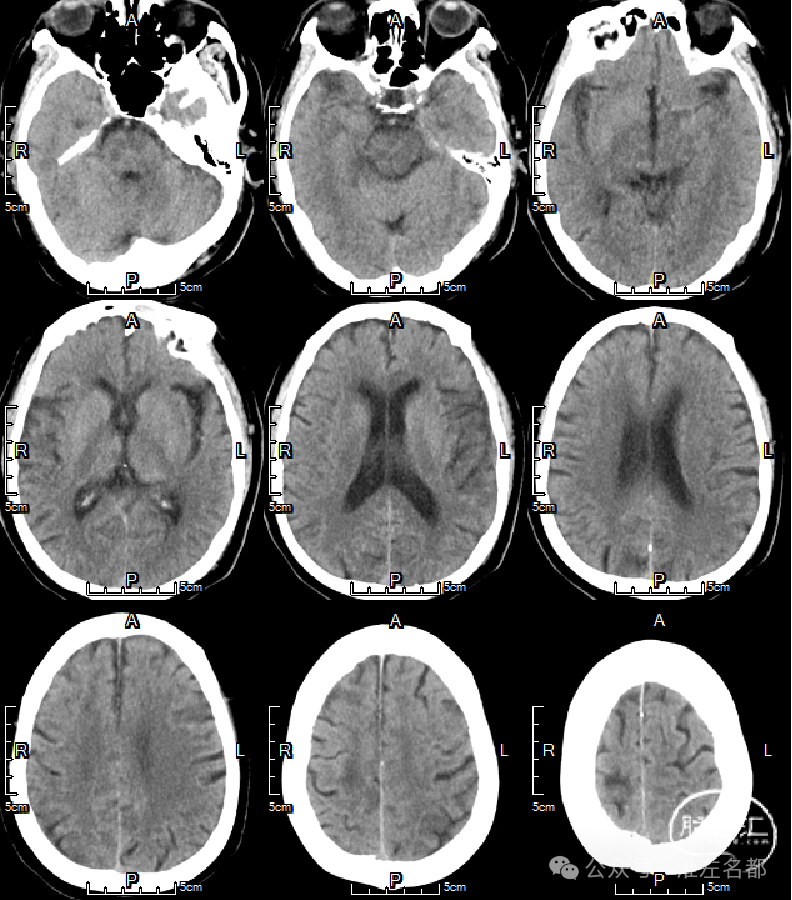
2024-01-14 08:36
复查多模式CT

CT平扫:双侧胼体膝部和右侧额顶叶皮质多发梗死低密度影。


CTA:右侧大脑前动脉原A2段狭窄位置管腔闭塞。


脑CTP:右侧大脑前动脉供血区较大范围TTP显著延长。
急诊血管内介入治疗

微导管通过闭塞位置,造影证实位于真腔。

经微导管释放取栓支架(S AB 4*20mm)后造影,前向血流恢复,局部狭窄(红箭)。




回收取栓支架后造影:闭塞再通,右侧A2局部轻微狭窄,但A3-4交界处可见造影剂渗出,提示出血。

予以降压等处理,约5分钟后造影提示出血已经停止。

取出少量血栓
术中DSA平板CT示:前纵裂旁少量蛛网膜下腔出血。
术后20小时,症状改善,NIHSS_3。
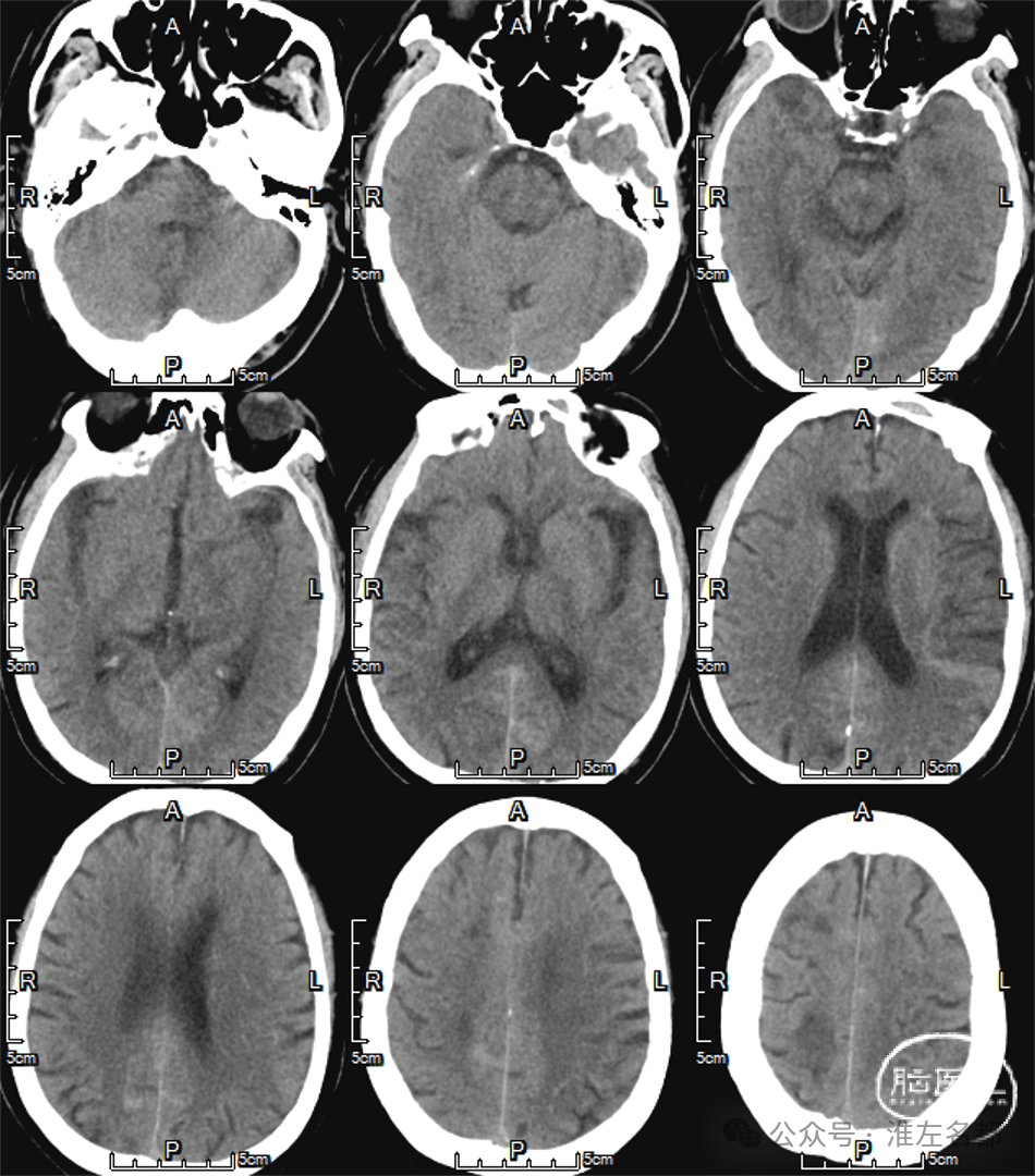
2024-01-15
复查多模式CT

CT平扫:少量蛛网膜下腔出血已基本吸收;胼胝体膝部和右侧额顶叶小梗死低密度影。

CTA:右侧大脑前动脉A2局部管腔轻微狭窄。


脑CTP:双侧半球血流灌注基本对称,右侧额叶内侧局部TTP增快。
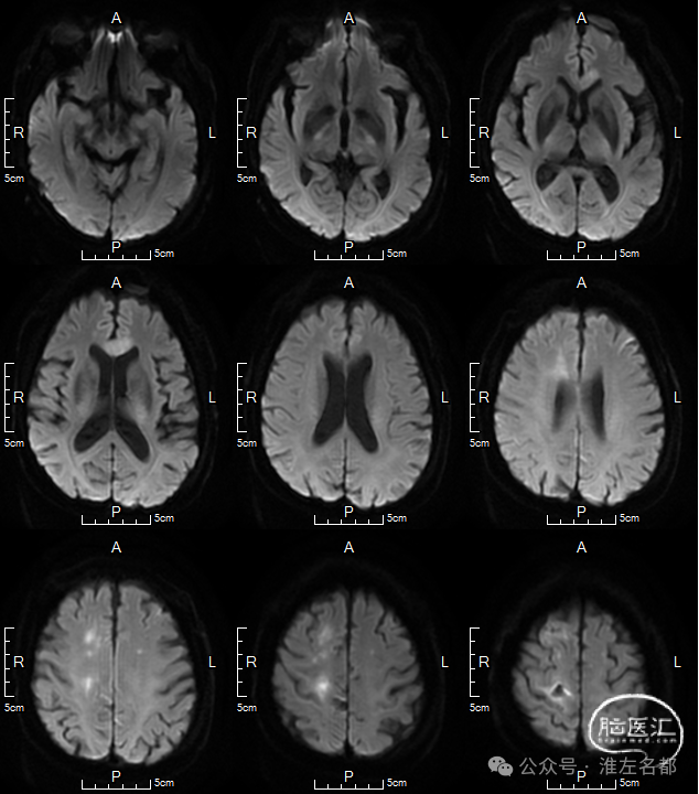
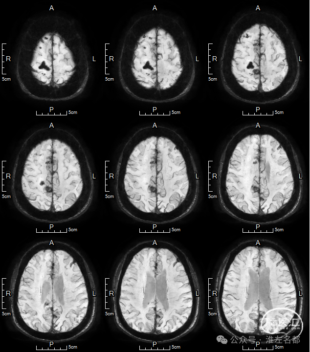
2024-01-23 MRI

DWI:胼胝体膝部和右侧额顶叶皮质多发急性梗死高信号。

SWI:右侧额顶叶皮质梗死灶渗血低信号;前纵裂池内可见少量蛛网膜下腔出血低信号。


3D-TOF-MRA:右侧大脑前动脉A2段管腔未见明确异常。
出院:NIHSS_3。
本病例有力地展示了脑卒中急诊多模式CT评估技术对症状性脑动脉狭窄患者的诊治价值。
首先,患者发病到急诊时间在24小时内,虽然NIHSS只有3分,属轻型卒中。但多模式CT之CTA显示右侧大脑前动脉A2段局部严重狭窄,结合病史和症状,考虑此A2狭窄是罪犯血管病变,故临床给予强化抗动脉粥样硬化治疗,包括:双抗和强化他汀。
其次,由于已知患者此次发病由颅内动脉粥样硬化狭窄所致,当到院后24小时内症状明显加重时,故考虑可能是右侧A2狭窄闭塞所致,再次多模式CT表明原右侧A2狭窄处确实闭塞了,伴其供血区明显低灌注,但核心梗死不明显。右侧A2闭塞考虑原因是狭窄处急性血栓形成。此时,综合病情和多模式CT结果的动态变化情况,为阻止病情进展,挽救危险低灌注脑组织,实施紧急血管内介入治疗是一合理的选择。
再者,术后第2日复查多模式CT显示右侧A2仅显示轻微狭窄,供血区灌注恢复,患者症状也明显改善。这表明手术效果令人满意。
大脑前动脉A2段属颅内中型动脉,关于中型脑动脉闭塞脑梗死急诊取栓的获益情况,目前还不完全明确,症状严重并存在较大组织窗时可以考虑。本例患者的特殊之处是,发病24小时内属轻型卒中,且右侧A2段呈现为管腔严重狭窄,且CTP无低灌注表现;24-48小时之间,症状进展加重,右侧A2狭窄进展为闭塞,供血区低灌注明显,存在不少组织窗,故才行紧急取栓治疗,并取得不错的效果。上述情况是颅内动脉闭塞脑梗死的一个独特范畴,24小时内的中型颅内动脉狭窄脑梗死,24-48小时之间狭窄处血栓闭塞,症状明显进展加重,紧急取栓治疗,获良好效果。
还有一点有趣之处是,经支架取栓后,原右侧A2局部严重狭窄大大缓解,术后一周的MRA显示局部管腔已无狭窄。那么,有两种可能:第一,原右侧A2狭窄由血栓栓塞所致,但此狭窄处并非血管分叉部,并极为局限,同时病史和住院期间评估没有发现栓塞来源,故这种可能性极小;第二,右侧A2狭窄斑块极为局限,支架取栓过程中,因机械力的作用,对斑块进行了有效挤压,起到了血管成形作用,甚至部分斑块在支架取栓过程中被切除。这个现象值得被关注。
在这个患者,取栓后造影显示局部有渗血,考虑是A3-4交界处分支小血管取栓过程中受牵拉而撕裂出血,所幸的是出血很少,且很快停止。这也是中远段颅内动脉闭塞取栓操作需要谨慎的地方。中-远端血管取栓,行程远,血管管腔小,管壁薄弱,当前很多常规取栓操作技术在处理此类闭塞时可能增加出血风险,故发展新的器械和操作策略是必要的。
陈红兵
中山大学附属第一医院
中山大学附属第一医院神经科,副主任医师,医学博士,硕士研究生导师;
中华医学会神经病学分会神经介入协作组委员;
中国神内医师分会神经介入专委会委员;
中国研究型医院学会介入神经病学分会委员;
中国卒中学会脑静脉病变分会委员;
广东省健康管理协会介入专委会常委;
广东省医师协会脑血管病分会委员;
广东省卒中学会理事;
广东省临床医学会介入神经病学分会副主委;
长期从事缺血性脑血管病临床和科研工作,擅长神经介入和脑血管病影像。完成近千例神经介入治疗手术,熟练掌握各类缺血性脑血管病的择期和急诊手术,在复杂高危脑动脉缺血病变和脑静脉窦狭窄/闭塞介入治疗领域有一定造诣,尤其是脑静脉窦血栓闭塞介入治疗在国内处于领先水平。较早将管壁高分辨MRI和多模式CT技术应用于脑血管病诊治,极大提高了脑血管病的临床诊断水平,对药物和介入治疗具有重要指导价值;目前已应用于数千病例,积累了丰富经验,国内领先。
END
声明:脑医汇旗下神外资讯、神介资讯、脑医咨询、Ai Brain 所发表内容之知识产权为脑医汇及主办方、原作者等相关权利人所有。
投稿邮箱:NAOYIHUI@163.com
未经许可,禁止进行转载、摘编、复制、裁切、录制等。经许可授权使用,亦须注明来源。欢迎转发、分享。
投稿/会议发布,请联系400-888-2526转3。






