
前言
血流导向密网支架的出现为颅内动脉瘤传统的瘤内栓塞提供了新的理念,治疗策略转至重建载瘤动脉并促进动脉瘤的愈合。通桥麒麟FD是国内首款远端闭合设计的密网支架,由铂金芯镍钛丝编织而成,通体显影,近远端各3个显影点,3.5mm及以下直径规格可通过21系列微导管释放。为临床治疗颅内动脉瘤提供新的方案选择。
本 / 期 / 病 / 例
患者基本信息
患者:男性,48岁。
现病史:
右侧颈内动脉眼动脉段动脉瘤
左侧颈内动脉眼动脉段动脉瘤FD术后
查体:神清,GCS评分15分,H-H分级:0级。
影像信息
➢ 术前造影

➢ 术前动脉瘤3D




治疗方案
右侧颈内动脉眼动脉段动脉瘤,动脉瘤锥型宽基底,瘤宽6.67mm,瘤高3.68mm,动脉瘤血管远端直径4.86mm,近端直径4.95mm,拟采用密网型号5.0mm*25mm。
术中器械
5F 115 中间管
6F长鞘
27系统微导管
0.014" 微导丝
通桥麒麟™血流导向密网支架 TQL-50-25
手术过程
通桥麒麟™血流导向密网支架释放模拟图。


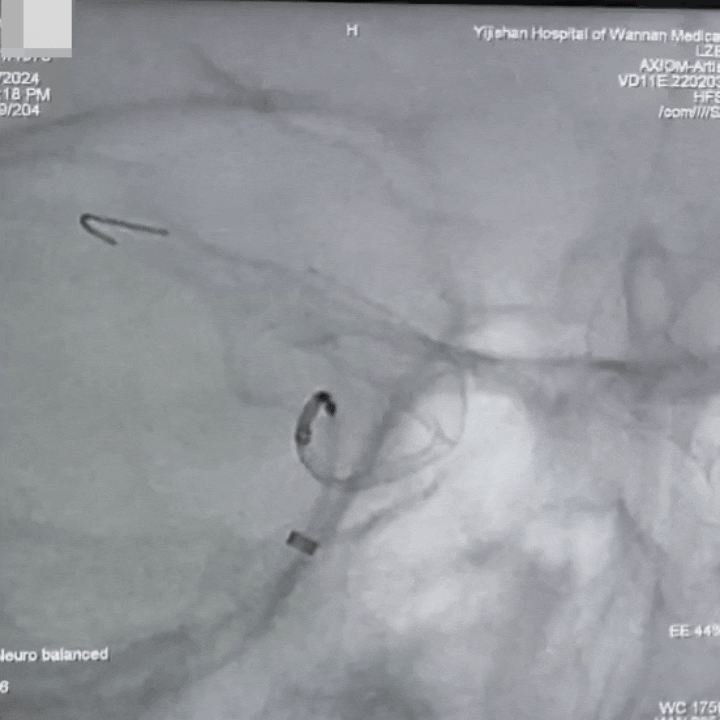
迂曲段通桥麒麟™血流导向密网支架释放过程。

通桥麒麟™血流导向密网支架成功释放。

支架twist或打开不良处理。


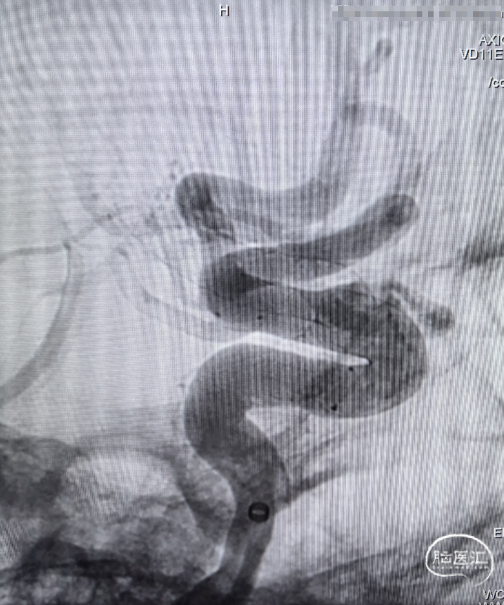
通桥麒麟™血流导向密网支架完全释放,术后造影。


术后血管造影见动脉瘤仍有显影,瘤腔内造影剂滞留,支架展开,贴壁良好,载瘤血管血流通畅,手术顺利。




术者体会
全程显影:对于一些之前放过密网支架的病人做手术的时候,全显影密网可以更加准确的判断出释放后的效果,不容易重影,远近端各有3个显影点可以帮助判断密网头尾的打开效果。
打开方便:镍钛合金包裹铂金材质的密网支架非常容易打开,不像早期镍钛支架短缩率发生很高、支撑性差,通桥麒麟™血流导向密网支架操作简便,为患者带来更舒适的术后体验。
指导老师
李真保
皖南医学院第一附属医院(弋矶山医院)
神经外科病区主任,主任医师,博士研究生导师,第三届江淮名医
中国医师学会神经介入专业委员会委员
安徽省医师学会神经介入专业委员会主任委员
中国医师学会神经介入专业委员会委员
国家卫生计生委出血性卒中介入专业委员会委员
吴阶平医学基金会脑卒中专业委员会 委员
中国抗衰老促进会神经系统疾病专业委员会委员
中国医师学会神经外科分会神经介入专业委员会委员
中国医学工程神经介入学会委员
中华医学会安徽省神经外科学分会常务委员
安徽省神经外科学分会脑血管学组副组长
术者简介
张子焕
皖南医学院第一附属医院(弋矶山医院)
医学博士,副主任医师,硕士研究生导师
安徽省医学会神经外科学分会第七届委员会脑血管病学组成员
安徽省健康服务业协会神经介入健康分会第一届委员会常务委员
擅长颅内与椎管内血管性疾病(动脉瘤、动静脉畸形、动静脉瘘、烟雾病或烟雾综合征、颈动脉狭窄或脑动脉闭塞、脑出血、慢性硬膜下血肿等)的诊断与治疗
目前主要研究方向为脑血管疾病的基础与临床研究,主持安徽省教育厅自然科学重大项目、重点项目与2020年医院引进人才项目各1项,参与国家自然基金、安徽省教育厅自然科学重大项目及安徽省卫健委重点项目各1项,截止目前以第一作者或通讯作者发表SCI文章8篇
刘佳强
皖南医学院第一附属医院(弋矶山医院)
医学博士,中共党员
现就职于皖南医学院弋矶山医院神经外科,主要从事出血性脑血管疾病诊疗及基础研究工作
以第一作者发表论文7篇,获安徽省科技进步奖2项

本内容仅供医学专业人士作线上专业交流
本内容不向非医学专业人士开放,敬请理解
讲课内容仅代表专家个人观点,非通桥医疗推广产品
![]()
声明:脑医汇旗下神外资讯、神介资讯、脑医咨询、Ai Brain 所发表内容之知识产权为脑医汇及主办方、原作者等相关权利人所有。
投稿邮箱:NAOYIHUI@163.com
未经许可,禁止进行转载、摘编、复制、裁切、录制等。经许可授权使用,亦须注明来源。欢迎转发、分享。
投稿/会议发布,请联系400-888-2526转3。










