

前言
复杂动脉瘤一般是指因其所在部位、生长方式、瘤体过大及瘤颈过宽等给治疗带来困难的动脉瘤。近年来,介入治疗已渐渐成为治疗颅内复杂动脉瘤的主流方式。对于复杂动脉瘤,采用支架辅助弹簧圈栓塞或单纯弹簧圈栓塞治疗,远期复发风险较高。血流导向密网支架的出现提高了颅内复杂动脉瘤的治愈率,降低了手术难度。术后可有效改善载瘤动脉的血流动力学情况,目前已成为治疗复杂动脉瘤的主要手段。未来血流导向密网支架会越来越多应用于临床,让更多的患者受益,同时也不断改变更多临床术者对动脉瘤治疗理念。
本期“术”说卒中由西安交通大学第一附属医院于嘉分享改进版Tubridge血流导向密网支架联合U-track颅内支撑导管治疗椎动脉动脉瘤。
01
01
患者男性,63岁。
简要病史:1年前外院头颅MRA检查发现右侧椎动脉颅内段动脉瘤,为求进一步诊治来院就诊。
既往史:高血压病病史25年,不规律口服降压药控制一般。
02
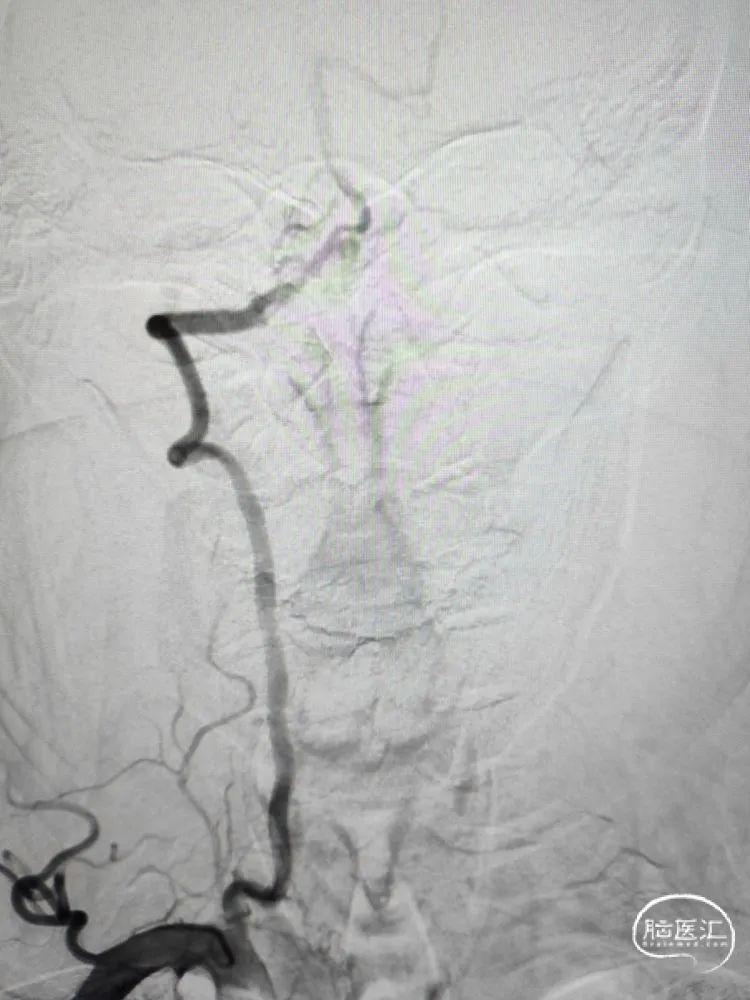
术前影像学检查:全脑血管造影检查提示右侧椎动脉V5段(颅内段)夹层动脉瘤。



动脉瘤大小约5.45mm×7.31mm,动脉瘤远端椎动脉汇合前管径约2.77mm,动脉瘤近端V4段管径约3.80mm,V5段全长约35mm,对侧椎动脉正常。



正位造影
侧位造影
测量数据
03
诊断结果:
男性患者年龄小于70岁,夹层动脉瘤,大小超过5mm,高血压病病史。
手术计划方案:
单纯血流导向装置植入治疗。
术中涉及器械
6F 90cm长鞘
5F 115cm U-track颅内支撑导管
Fastrack微导管
0.014inch 200cm微导丝
4.0mm*30mm Tubridge血流导向密网支架
04
1
穿刺:
患者仰卧位,麻醉到位,常规腹股沟区消毒铺无菌巾,右股动脉穿刺置6F 90cm长鞘并完成全脑血管造影。
2
建立通路:
在0.014inch微导丝的导引及6F 90cm长鞘支撑下将5F 115cm U-track颅内支撑导管输送至椎动脉V2段,随后将导丝顺利跨过动脉瘤输送至基底动脉中段,随后将Fastrack微导管引导至基底动脉中段。
3
输送支架:
沿Fastrack微导管输送改进版Tubridge血流导向密网支架至基底动脉,整体通路系统稳定,U-track颅内支撑导管良好的支撑性保障了支架顺利到位,同时也保证了支架在释放中的稳定性。

4
支架释放:
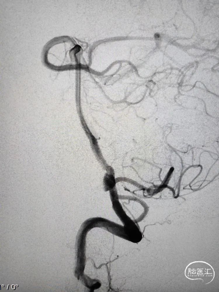
改进版的Tubridge血流导向密网支架到位后,支架在远端预打开再回撤定位,从双椎动脉汇合处下方开始释放,缓慢推出支架进行头端锚定,改进版的Tubridge血流导向密网支架有效改善了头端打开和锚定性能,支架远端刚好落在汇合处下方,造影观察支架充分锚定后,继续缓慢释放支架至瘤颈中段,造影确认后,随后等张释放支架完毕,支架完全覆盖动脉瘤。改进版的Tubridge血流导向密网支架优化了编织丝和编织密度,支架支撑力显著提升,支架打开效果优异,全段充分张开贴壁。


正侧位造影以及三维重建提示动脉瘤瘤囊充盈略减缓,晚期可见造影剂滞留,支架全段完全张开贴壁,载瘤动脉血流通畅良好。



术前一周:阿司匹林300mg+氯吡格雷75mg。
术后双抗(阿司匹林300mg+氯吡格雷75mg)半年,后改为单抗。
治疗体会
针对不累及基底动脉的椎动脉颅内段未破裂夹层动脉瘤,其血管内治疗方案首选密网支架植入,术中即刻造影结果良好,远期随访愈合率较高;如果动脉瘤大小超过10mm,或者形态不规则,可以结合部分弹簧圈栓塞,有利于围手术期瘤囊内快速血栓形成,降低术后瘤囊内血流易进难出造成压力增高引起的出血风险。
改进版Tubridge血流导向密网支架的显影性能大大提升,支撑性能较上一代也明显改善,头端打开后锚定相对稳定,一步释放更加丝滑顺畅,全段张开贴壁良好,术后即刻效果明显,让我们期待远期更好的随访结果!
术者简介
于嘉
西安交通大学第一附属医院
医学博士,副教授,西安交通大学第一附属医院神经内科副主任
擅长颅内动脉瘤、脑脊髓血管畸形等出血性血管病,以及颅内、颈部血管狭窄和急性脑梗塞等缺血性脑血管病血管内治疗与相关研究
中国卒中学会复合介入神经外科分会委员
中国医师协会陕西省神经介入专业委员会副主委
陕西省医师协会神经内科医师分会常委
陕西省卒中学会神经介入分会副主委
陕西省百万减残工程委员会副秘书长
陕西省医学传播学会脑血管病专业委员会副主委
陕西省国际医学交流促进会神经介入专业委员会副主委
主持陕西省自然科学基础研究计划青年项目1项;全军“十一五”军事医学重点课题主要研究者,合作参与国家“十二五”科技支撑计划重点课题1项,发表SCI和中文核心期刊论文20余篇
-END-
声明:脑医汇旗下神外资讯、神介资讯、脑医咨询、Ai Brain 所发表内容之知识产权为脑医汇及主办方、原作者等相关权利人所有。
投稿邮箱:NAOYIHUI@163.com
未经许可,禁止进行转载、摘编、复制、裁切、录制等。经许可授权使用,亦须注明来源。欢迎转发、分享。
投稿/会议发布,请联系400-888-2526转3。






