![]()
患者情况
患者:男性,69岁。
主诉:被人发现意识不清并呼吸困难1.5小时。
现病史:患者在异地的儿子因发现患者今日微信步数为0遂于1.5小时前让妻子去看望患者,发现躺床上,意识不清,呼之不应,口角流涎,肢体僵硬,小便失禁,无肢体抽搐,口周未见明显呕吐物,同时患者呼吸困难,张口呯吸,喉中鼾鸣,在外未特殊处理,经“120”车接入我院急诊,急诊建立静脉通道,行“颅脑、胸、腹CT”影像检查后以“昏迷”收入ICU。患者自发病以来,神志不清,未进饮食,体重无变化,无小便失禁。患者是否有“糖尿病、高血压病”不详,整1年前因“脑梗死”在我院神经内科治疗,好转出院。未遗留明显后遗症,出院自服“拜阿司匹林肠溶片、阿托伐他汀钙”治疗。
既往史:平素身体健康状况一般,否认有“肝炎”、“结核”等传染病史,否认有“手术、输血、外伤”史,否认有“食物、药物”过敏史,预防接种史情况不详。
查体:T:36.5℃ P:122次/分 R:12次/分 BP:167/107mmHg。发育正常,被动体位,神志昏迷,查体不合作。双侧瞳孔等大等圆,直径2mm,对光反射迟钝。口唇紫绀,张口呼吸,喉中痰鸣,颈软抵抗感。听诊双肺呼吸音粗,闻及湿性啰音,闻及胸膜摩擦音。心前区无隆起,心率122次/分,律齐,心音有力,各辦膜区未闻及病理性杂音,未闻及心包摩探音。刺痛左侧肢体无活动,右侧肢体微屈曲,肌力查体不合作、肌张力正常,左侧病理征阳性,右侧未引出。
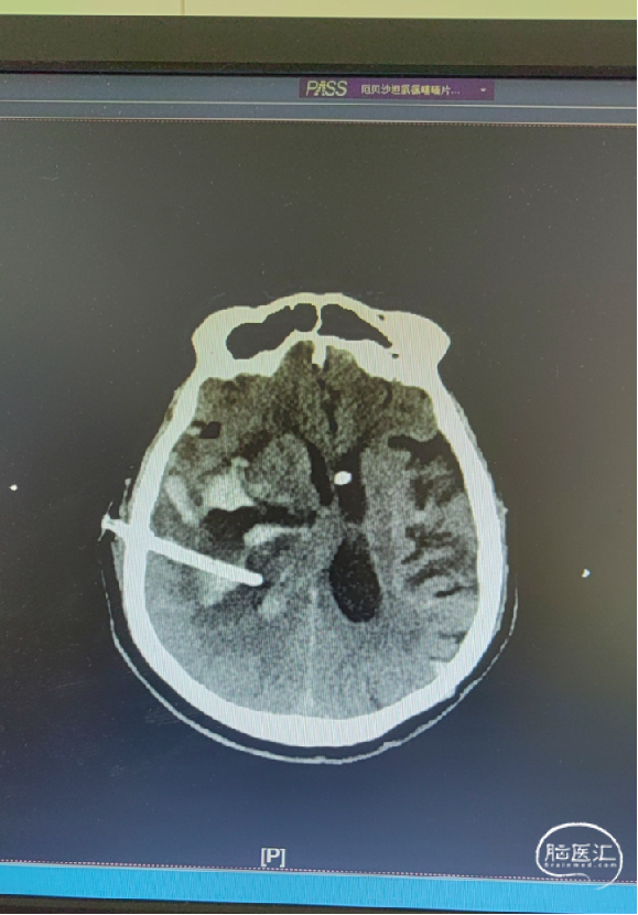
辅助检查:2024年06月21日-本院脑、胸、腹CT-右侧脑出血破入脑液腔系统、脑疝、肺炎、冠状动脉钙化;急诊心电图部分ST-T段改变。
影像所见:右侧脑出血并破入脑液腔系统治疗后复查,右基底节区示团块状高密度影,直径约5.5cm,同恻脑室及双侧脑沟多发高密度铸型改变,中线结构向对侧移位约1cm。
影像提示:右侧脑出血并破入脑液腔;考虑脑疝;建议结合临床。
初步诊断:1. 高血压脑出血(右侧基底节);2. 脑疝;3. 高血压病3级(极高危);4. 吸入性肺炎;5. 冠状动脉粥样硬化性心脏病;6. 脑梗死后遗症;7. 2型糖尿病?
治疗:脑室穿刺,对侧脑血肿引流。
![]()
术前CT


![]()
术后CT


![]()
手术过程









扫码观看手术视频
![]()
专家简介
郄光峰 副主任医师
青州市人民医院神经外一科主任、主任医师、外科学硕士
擅长颅脑肿瘤、脑血管病、重型颅脑损伤的临床治疗与基础研究,尤其在显微血管减压治疗三叉神经痛、面肌痉挛、舌咽神经痛及脊髓脊柱疾病方面,有自己独特的经验和体会,疗效显著;省内较早开展头面神经痛、糖尿病周围神经病变的外科治疗及球囊压迫治疗三叉神经痛
现任中国研究型医院学会颅神经疾患分会委员,山东省疼痛医学会功能神经外科副主任委员,山东省疼痛医学会颅神经外科专业委员会常务委员、山东省医师协会神经脊柱分会常务委员,潍坊市医学会神经外科分会委员
青州市人民医院神经外一科简介:
神经外一科在主任郄光峰教授的带领下,形成了以颅脑创伤、脑血管病及颅内肿瘤为基础,以功能神经外科、脊髓脊柱为特色,以周围神经外科为重要发展方向的新格局。在重型颅脑损伤的救治、高血压脑出血的精准治疗、脑血管病的介入治疗方面居于同级医院先进水平;省内较早开展原发性三叉神经痛的个体化治疗、显微血管减压治疗面肌痉挛,其中经皮球囊压迫治疗三叉神经痛在治疗病例数量和质量均居于省内领先;开创性的进行颅外血管责任血管减压治疗偏头痛,周围神经松解治疗糖尿病周围神经病变,居于国内领先水平。近年来在常规开展椎管肿瘤的基础上,相继开展了颈椎前路显微椎间盘切除,经皮微通道下腰椎间盘突出切除及腰椎管狭窄微创减压术,取得了良好的效果。
科室与首都医科大学附属天坛医院、北京宣武医院、福建医科大学附属协和医院、山东大学齐鲁医院、山东省立医院、青岛大学附属医院神经外科保持着密切的联系并给予科室强大的技术支持。
![]()
声明:脑医汇旗下神外资讯、神介资讯、神内资讯、脑医咨询、Ai Brain 所发表内容之知识产权为脑医汇及主办方、原作者等相关权利人所有。






