陈怀剑
平湖市第二人民医院
神经外科主治医师
2011年毕业于蚌埠医学院临床医学专业,同年于怀远县第二人民医院神经外科工作,2014年开始从事神经介入工作,于同济大学附属上海市东方医院进修学习。
擅长脑梗死、脑出血、脑动脉瘤、脑血管畸形、脑外伤等疾病的诊疗;熟练掌握脑血管造影、颅内动脉取栓、支架植入、动脉瘤栓塞等神经介入手术。

(上下滑动查看更多)
01
患者基本信息
患者:男性,76岁。
主诉:突发左侧肢体乏力2小时余。
现病史:患者于入院当天下午约2小时余前在家中如厕时无明显诱因下突然倒地,左侧肢体乏力,右侧肢体躁动,有轻微发音,构音含糊,伴有二便失禁,无呕吐及抽搐,无黑朦,无视物旋转,无耳鸣,无胸闷气急,无腹痛腹胀,由120急送我院,入院后查头颅CT未见脑出血,予以TNK 15mg溶栓、控制性降压等治疗,桥接取栓。
既往史:多年前上级医院考虑有“高血压、心脏病、低钾血症”,长期口服“美托洛尔缓释片、瑞舒伐他汀、氯吡格雷、氯化钾”,未复诊及监测,具体用量及控制情况不详。
专科查体:言语不利,行动不利,肌力(左侧1级、右侧4级),瞳孔正常,对光反射减弱。神经系统评分:NIHSS 12分;mRS 4分;ASPECTS( CT-10分)。
02
影像学资料
CT平扫未见颅内出血,右侧大脑中动脉高密度影,可疑血栓。



心电图可见心房颤动。


右颈动脉正位

右颈动脉侧位

左颈动脉正位

左椎动脉正位
03
术前讨论&手术策略
➤病变部位
右侧颈内动脉。
➤拟行手术方案
颅内动脉取栓。
➤手术指征
患者意识障碍,左侧肢体偏瘫,NIHSS评分12分。头颅CT:颅内未见出血。DSA:右侧颈内动脉闭塞。发病时间1.5小时。无明确手术禁忌。
➤手术策略
先采取抽吸导管抽吸血栓并联合支架取栓;若血管不能再通,可考虑球囊扩张及支架植入补救。
04
术中器械
造影:
0.035inch 260cm 导丝
5F 导管
开通:
0.014inch 200cm 微导丝
0.021inch 153cm 微导管
6F 115cm 远端通路导管
8F 90cm 输送导管
8F 血管鞘
植入:
赛诺神畅 Ghunter™颅内取栓支架 ISR4-30
05
手术过程
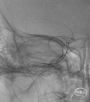
颈内动脉抽吸一次后造影,颈内动脉部分再通。

抽吸出大量血栓。

微导管通过闭塞处造影,可见大脑中动脉远端通畅,微导管位于真腔。

输送赛诺神畅 Ghunter™颅内取栓支架 ISR4-30到位,支架打开后造影可见血栓位于颈内动脉末端至大脑中动脉M1段。

第一次支架取栓,无明显血栓取出,造影可见颈动脉仍闭塞。

微导管再次通过闭塞段,造影可见颈内动脉末端及大脑中动脉、大脑前动脉通畅。考虑血栓向近心端移动。

再次释放赛诺神畅 Ghunter™颅内取栓支架 ISR4-30,支架释放过程流畅。
赛诺神畅 Ghunter™颅内取栓支架 ISR4-30全程显影清晰,可见颈内动脉末端支架被血栓压迫。

第二次支架取栓,右大块血栓取出,造影可见颈动脉动脉再通,右侧大脑中动脉、双侧大脑前动脉显影可,颈内动脉C1段痉挛。



06
术后情况
➤术后影像
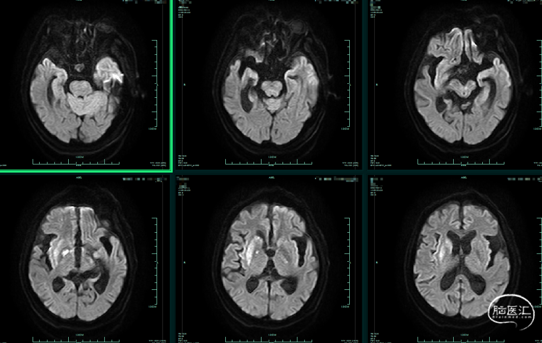
术后第一天,头颅DWI可见尾状核及基底节区新发脑梗死;MRA可见右侧颈内动脉、右侧大脑中动脉、双侧大脑前动脉无再次闭塞。



➤术后随访
神经系统评分:
NIHSS 0分,mRS 0分。
症状体征描述:
神志清楚,精神可,语言基本流利,双瞳孔等大等圆,直径3mm,对光反射存在,口角不歪,伸舌基本居中,构音基本清晰,颈软,无抵抗,胸廓未见畸形,两肺呼吸音粗,心律不齐,第一心音强弱不等,各瓣膜听诊区未及明显病理性杂音,腹软,未及包块,四肢肌力V级,肌张力不高,左侧肢体位置觉、精细触觉稍减退,双侧巴氏征未引出。NIHSS评分0分,mRS评分0分。疗效评价:治愈。

产品详情
<< 滑动查看下一张图片 >>
公司简介
说明:赛诺神畅医疗科技有限公司为赛诺医疗科学技术股份有限公司控股子公司。
![]()
声明:脑医汇旗下神外资讯、神介资讯、脑医咨询、Ai Brain 所发表内容之知识产权为脑医汇及主办方、原作者等相关权利人所有。
投稿邮箱:NAOYIHUI@163.com
未经许可,禁止进行转载、摘编、复制、裁切、录制等。经许可授权使用,亦须注明来源。欢迎转发、分享。
投稿/会议发布,请联系400-888-2526转3。









