据报道,有症状的亚急性/慢性颅内大动脉闭塞是不良预后、复发性卒中和死亡的独立预测因素。研究表明,有症状的亚急性或慢性颅内大动脉闭塞患者尽管接受了最好的药物治疗,但仍会反复出现缺血性症状。这种非急性期闭塞的患者,往往在早期有更高的卒中复发风险,血管内开通治疗可能是一项有效的治疗措施。一些临床研究对有症状的亚急性/慢性颅内血管闭塞患者进行血管内再通治疗,并取得了令人满意的初步临床结果。


病史简介
患者:男性,51岁。
主诉:因突发言语蹇涩伴左上肢无力3天入院。
现病史:无明显诱因突然出现吐词不清、口角歪斜,伴左上肢无力,左侧上肢持物不稳,不伴头晕、头痛、意识障碍、恶心呕吐、行走不稳、大小便失禁等不适,患者遂立即至当地医院就诊,行颅脑MRI+MRA:1、右侧额叶、额叶、顶叶新发脑梗塞;2、双侧基底节区、侧脑室旁腔梗灶;3、脑萎缩改变;4、右侧颈内动脉颅内段闭塞。立即予以溶栓、抗栓、控制血压、抑制血小板聚集、抗脑水肿等治疗,治疗后患者吐词不清、肢体无力较前稍好转,为行进一步治疗,患者遂至我院。
既往史:有糖尿病史3年,长期口服“二甲双胍缓释片、达格列净片控制血糖,具体不详。
入院查体:意识清醒,构音不清,对答切题,高级神经活动正常,双侧瞳孔等大等圆约0.3cm,光反射灵敏,双侧额纹对称,左侧鼻唇沟变浅,伸舌左偏,四肢肌张力不高,左侧上下肢肌力4级,右侧肢体肌力5级,双侧病理征未引出,双侧痛觉基本对称。NIHSS评分4分:(面瘫1+上肢运动1+下肢运动1+构音障碍1)。
术前影像学检查
术前CT
术前右侧颈动脉高分辨磁共振
术前CTP示:右侧大脑半球低灌注,TTP、Tmax延长;CBF部分降低,CBV未见降低。

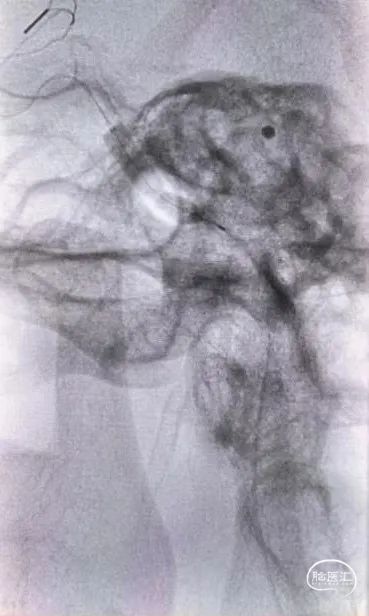
DSA示:右侧颈内动脉起始段闭塞,颈外动脉通过眼动脉代偿至眼动脉,前交通级后交通均开放,代偿右侧大脑中动脉供血。




术前讨论
患者中年男性,言语蹇涩伴左侧肢体乏力,头颅CT和MRI提示:右侧分水岭区域梗死,CTP提示:右侧大脑半球低灌注,脑血管造影提示:右侧颈内动脉全程闭塞。
考虑右侧颈内动脉长节段慢性闭塞同时为本次发病责任血管,右侧大脑半球存在明显低灌注,故存在“右侧颈内动脉慢性闭塞”手术指征。
手术器械
6F 90cm 长鞘
SL-10微导管
300cm 0.014inch 微导丝
XT-27微导管
加奇生物 Syphonet®取栓支架 6*35mm
低压球囊 2.5*15mm
冠脉球囊 2.0*15mm
EP支架 4.5*37mm
EZ支架 4.5*30mm
自膨式支架 7*40mm
手术过程
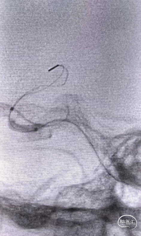
微导丝引导微导管成功通过血管闭塞处至右侧颈内动脉C7段,造影确认真腔。
沿微导管送入6*35mm Syphonet®取栓支架至右侧大脑中动脉M1段并释放。
用2.5*15mm 低压球囊扩张右侧颈内动脉C5-C2段。





扩张后造影示:右侧颈内动脉畅通,可见夹层样改变,C6段仍重度狭窄。


再次用2.0*15mm 冠脉球囊扩张C6段。


依次从远心端到近心端释放4.5*37mm EP支架、4.5*30mm EZ支架、7*40mm 自膨式支架覆盖夹层明显处后造影示:右侧颈内动脉畅通,远端血流mTICI 3级。


术后即刻影像及患者术后情况:术后患者即可恢复清醒,无神经系统缺损体征,术后24小时复查头颅CT示:
该病例为右侧颈内动脉长节段闭塞,困难在于导丝是否能顺利通过颈内动脉闭塞段,通过后能否保持导丝稳定。
COSIS技术治疗体会:
1. 避免反复交换,精简手术操作,减少手术时间;
2. 取栓支架远端保护,预防术中栓塞、血栓形成,提高手术安全性;
3. Syphonet®取栓支架输送导丝作为工作导丝,提供稳定的系统的情况下,近端进行球囊扩张、支架成形、抽吸取栓等一系列操作。

郭钊云
西南医科大学附属中医医院
神经内科主治医师,神经内科介入常务组长
中国研究型医院学会介入神经病学专委会经桡动脉介入协作组副组长
四川省老年医学会介入专委会委员
四川省老年医学会脑病专委会委员
四川省中医学会脑病专委会委员
从事神经内科及神经介入专业十余年。擅长于脑血管病、中风、偏瘫、头晕、头痛等神经科常见病及脑血管病诊疗,特别在神经介入手术方面积累了丰富的临床经验
毛权西
西南医科大学附属中医医院
主治医师,硕士研究生
四川省中医药学会神经介入学会委员
先后于四川大学华西医院和西南医科大学附属医院进修学习,擅长神经介入造影及血管内治疗,发表北大核心论著一篇,SCI论文一篇
邓世宇
西南医科大学附属中医医院
神经内科,硕士研究生
四川省中医药学会神经介入学会委员
四川省卒中学会介入青委会委员
曾于四川大学华西医院进修学习神经介入1年
❖
西南医科大学附属中医医院脑病科(神经内科)是国家中医临床研究基地重点病种(出血性中风病)牵头科室、国家区域中医脑病诊疗中心、国家临床重点专科、国家中医药管理局“十二•五”重点专科、国家卫健委脑卒中筛查与防治基地、国家中医药管理局“中医药防治重大疑难疾病(中风病)能力建设推广”单位、“高级卒中中心”、四川省中医专科脑病诊疗中心、四川省中医脑病专业医疗质量控制中心、中医神经内科GCP基地、四川省神经内科住院医师培训基地。
科室拥有重症监护仪、DSA、康复治疗仪、无创颅内压检测仪、视频脑电图、前庭功能检测仪等多种先进设备,“移动CT卒中救护车”将急性缺血性脑卒中的神经症状学检查、生命功能监测、CT诊断、静脉溶栓和远程会诊融为一体,对脑卒中患者提供院前快速、及时、安全、高效的诊断、治疗,赢得救治的“黄金时间”。
特别说明:本页面所包含的文字、图片、音视频等内容仅供医学专业人士参考。本页面所包含的内容,仅为专家个人观点,不能代替医疗专业人士的判断。本页面不向非医学专业人士开放,敬请理解。


声明:脑医汇旗下神外资讯、神介资讯、脑医咨询、Ai Brain 所发表内容之知识产权为脑医汇及主办方、原作者等相关权利人所有。
投稿邮箱:NAOYIHUI@163.com
未经许可,禁止进行转载、摘编、复制、裁切、录制等。经许可授权使用,亦须注明来源。欢迎转发、分享。
投稿/会议发布,请联系400-888-2526转3。