一、颅内动脉是否存在非狭窄斑块?
二、如果存在,临床能用何种技术去评估这些非狭窄的颅内斑块?
三、非狭窄颅内斑块的评估指标有哪些?
四、评估颅内非狭窄斑块的临床意义何在?
中年男性,首次卒中,有高血压和糖尿病危险因素,MRI证实是脑桥急性腔隙性梗死。动脉管腔影像学(CTA和MRA)评估于颅内动脉未及明确狭窄病变。
然而,CTA源图像和重建图像,于双侧颈内动脉虹吸段管壁检测到明确高密度钙化斑块,但未造成管腔狭窄。同时,CTA重建图像还于左侧椎动脉颅内段局部管壁检测到低密度斑块(管腔略窄),以及其远侧管壁的一小结节样钙化微小斑块(管腔无异常)。
CTA曲面重建和3D-TOF-MRA多平面重建图像均显示基底动脉显影轮廓不规则,提示非狭窄斑块可能。
相较于CTA,大范围的三维黑血高分辨T1-SPACE增强扫描评估可获得更为丰富的颅内非狭窄斑块信息。首先,于左侧颅内椎动脉,三维管壁高分辨T1增强扫描不仅明确了CTA所示低密度斑块为显著强化的不稳定斑块,还发现了此椎动脉末端还存在一非狭窄的显著强化的不稳定斑块;同时,三维高分辨T1增强扫描还于双侧椎动脉颅内段其他位置检测管壁轻度增厚和强化;另外,高分辨MRI结果还揭示了CTA和MRA所示的基底动脉轮廓不规则的病理机制是非狭窄斑块所致,还清晰显示了基底动脉背侧弥漫的非狭窄斑块;最后,高分辨管壁MRI还于左侧颈内动脉颅内段局部管壁检测到明显偏心增厚斑块,及其轻度强化。
男,59岁
发病时间:2024-5-2
症状:头晕和行走不稳
外院MRI:左侧脑桥腔隙性梗死
入院时间:2024-5-10
既往偶有吸烟,本次住院期间诊断高血压病和2型糖尿病。
BMI值为27.5,属超重(注:BMI值大于28属肥胖)。
外院MRI:常规颅脑MRI序列,T1WI/T2WI/FLAIR,颅脑3D-TOF-MRA。
住院多模式CT:头部CT平扫,颈部CTA,脑CTP,基于CTP源图像的动脉期数据重建头部CTA;重建技术包括MIP重建,容积重建,多平面重建,曲面重建。
多模式MRI:常规颅脑T1WI/T2WI/FLAIR,DWI和SWI,颅脑3D-TOF-MRA,基底动脉断面二维高分辨MRI(T2,T1平扫和增强),全脑三维黑血高分辨T1平扫和增强;重建技术主要是多平面薄层重建。
外院MRI(2024-5-5)


T2WI👆🏻

FLAIR👆🏻
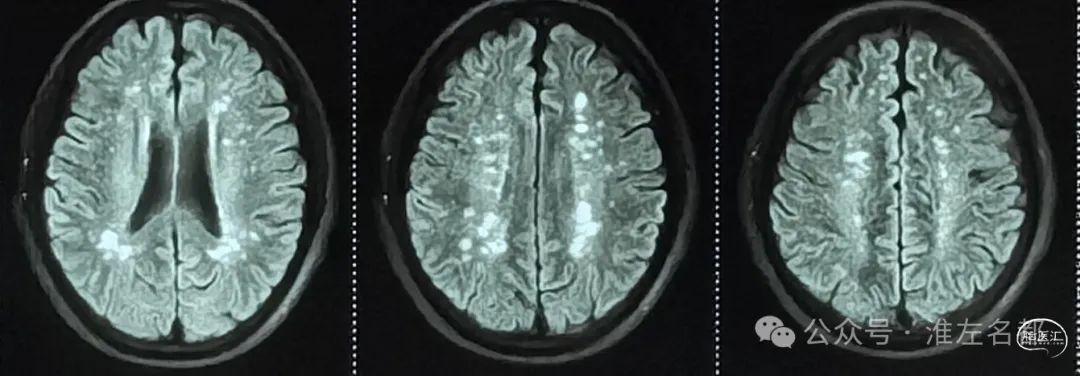
T2WI和FLAIR:左侧脑桥内部腔隙性梗死灶高信号。

FLAIR:双侧侧脑室旁和皮质下多发脑白质改变(慢性缺血所致)。
多模式CT(2025-5-11)


头颈部CTA:颅内-外主要脑动脉未见明显狭窄-闭塞病变。


颈部CTA薄层源图像和曲面重建图像:左侧颈总动脉远端管壁局部可见低密度斑块(黄箭),管腔无明显狭窄;左侧颈内动脉窦部后壁局部见小结节样钙化高密度(红箭)。


颈部CTA薄层源图像和曲面重建图像:左侧锁骨下动脉局部管壁见明显高密度钙化斑块影(红箭),管腔轻度狭窄。




CTA源图像和曲面重建重建图像:双侧颈内虹吸段可见多发高密度钙化斑块影,但管腔未见明显狭窄。


CTA重建重建图像:左侧椎动脉颅内V4段近端局部管壁见一低密度斑块影(黄箭),管腔狭窄不明显;V4局部管壁见一小结节样高密度钙化影(红箭);另外,基底动脉显影轮廓不规则。
多模式MRI(2024-5-14)

颅脑3D-TOF-MRA:颅内主要脑动脉管腔未见明确狭窄-闭塞病变。

基于3D-TOF-MRA源图像的基底动脉薄层重建图像:基底动脉显影轮廓不规则(橙箭)。

三维黑血高分辨T1-SPACE增强扫描薄层重建:左侧颈内动脉颅内段局部管壁偏心增厚,并轻度强化(黄箭)。

三维黑血高分辨T1-SPACE增强扫描,多平面薄层重建:左侧椎动脉颅内段局部管壁偏心增厚,并显著强化(黄箭),局部管腔略微变窄。

三维黑血高分辨T1-SPACE增强扫描,多平面薄层重建:左侧椎动脉颅内段其他位置管壁可见多处管壁增厚,并明显强化(红箭);右侧椎动脉颅内段管壁也见多处强化(紫箭)。

三维黑血高分辨T1-SPACE增强扫描,多平面薄层重建:左侧椎动脉末端管壁明显增厚,并显著强化(红箭);基底动脉背侧管壁弥漫轻度增厚(橙箭),伴轻度强化;基底动脉其他部位管壁也可见局部轻度增厚,并轻度强化。

二维管壁高分辨T2WI(基底动脉血管断面扫描):基底动脉局部背侧管壁偏心增厚,信号呈异质性,部分层面见临近管腔的典型线样高信号纤维帽影,以及其下方的低信号脂质核,符合典型斑块表现。

三维黑血高分辨T1-SPACE增强扫描,基底动脉断面薄层重建:基底动脉背侧斑块轻度强化。
讨论
正如此患者所示,和其他位置动脉血管床一样,颅内脑动脉粥样硬化早期时的斑块引发血管正性重构,此时血管轮廓增大,并不造成管腔狭窄,此时的管腔影像学评估(CTA/MRA/DSA)呈阴性结果。
颈部脑供血动脉位置表浅,有多种临床常用技术可用于评估其非狭窄斑块,其中以超声技术最为便捷高效,其他还有CTA和管壁MRI技术;血管内超声和OCT技术也可用于评估颈部脑动脉非狭窄斑块,但受技术和费用等限制,只有少数情况下才会使用这些技术。
受解剖和技术的限制,常规超声、血管内超声、OCT技术不适合评估颅内动脉管壁。目前,管壁高分辨MRI是评估颅内管壁斑块的最佳技术,对颅内非狭窄斑块十分敏感;部分情况下,CTA技术也能显示一些明显的非狭窄斑块,主要是高密度的钙化斑块,以及一些明显的低密度斑块,正如本病例所示,但这需建立在高质量成像和娴熟判读技巧的基础之上。
评估指标包括:
1、是否存在非狭窄斑块
非狭窄斑块于管壁高分辨MRI表现为:管壁偏心轻度偏心增厚,呈或不呈典型斑块信号,但无明确管腔狭窄。于CTA表现为:管壁高密度钙化影,或轻度管壁偏心低密度增厚,而管腔无明确狭窄。
2、非狭窄斑块的范围或负荷
相较于CTA技术,管壁高分辨MRI技术在评估非狭窄颅内斑块范围或负荷方便具有明显优势;因为CTA技术对非钙化的管壁轻度增厚斑块不敏感。
3、非狭窄斑块的稳定性
CTA检测到的非狭窄钙化斑块,属稳定斑块。而管壁高分辨MRI技术可通过斑块是否强化或是否存在高信号出血来判断斑块的稳定性,具备不言而喻的优势。
这是一个重要,且无法回避的问题,其意义在下列几个方面:
1、丰富诊断的内涵:当前技术条件下,颅内动脉评估不仅仅只是限于管腔影像学的层面,还要深入到管壁成像的层面,为诊治提供更为丰富的信息。
2、进行危险分层,指导防治策略:在危险人群,如果脑动脉管腔影像学未见异常,此时是否合并颅内非狭窄斑块,以及斑块是否稳定,导致其卒中风险也很可能是不一样的,这些信息是指导防治决策重要依据。
3、治疗和随访的新靶点:对合并多种危险因素的颅内非狭窄斑块人群,如果非狭窄斑块不稳定,那么这个不稳定的非狭窄斑块就是治疗和随访监测的靶点。
4、为未来脑卒中防治临床研究提供新思路。
声明:脑医汇旗下神外资讯、神介资讯、脑医咨询、Ai Brain 所发表内容之知识产权为脑医汇及主办方、原作者等相关权利人所有。
投稿邮箱:NAOYIHUI@163.com
未经许可,禁止进行转载、摘编、复制、裁切、录制等。经许可授权使用,亦须注明来源。欢迎转发、分享。
投稿/会议发布,请联系400-888-2526转3。





