近日,华山医院复合手术室里面临又一场生死考验:一根超过10厘米的金属棒从伤者刘先生的鼻根部直插颅内复杂静脉结构海绵窦,紧紧“咬”住颈内动脉与多组重要颅神经。万幸的是,在华山医院神经外科领衔的多学科团队几近完美的救治下,经过10小时手术,异物被顺利取出,未造成任何神经功能损伤,35岁的刘先生终于转危为安。
金属棒直插颅内
紧贴供血动脉颈内动脉!
35岁的刘先生是浙江人,在车间打磨金属部件时,不慎被一根超过10厘米的金属棒从鼻根部直插进颅内,虽稍感疼痛,但无其他不适。家人紧急将他送到了当地医院,医生看到刘先生状态及头颅CT后,以为只是普通异物伤,计划手术治疗,在鼻根部切开小口,将金属棒直接拔出。
就在准备进手术室的时候,主刀医生看到了重建后的颅内血管CTA,不禁倒吸一口凉气:这根金属棒竟然不偏不倚,从颅内最复杂静脉结构之一的海绵窦正中穿过,压在大脑最主要的供血动脉颈内动脉旁!从图像上看,金属棒已经明显在动脉上形成压痕,棒尾还有小钩子,钩在颈内动脉后方。

当地医生和家属沟通,告知手术风险巨大,建议转上级医院治疗。家属叫了救护车,直接送到了国家神经疾病医学中心、复旦大学附属华山医院急诊。
华山开通绿色通道
手术方案不断优化
神经外科急诊医生接诊,完善基本评估及治疗措施后,第一时间汇报了神经外科急救中心吴雪海教授。评估伤者病情后,吴教授感受到了情况的棘手:金属棒穿过的海绵窦,是脑内极复杂的静脉结构,止血困难,且周边密布着视神经、运动神经、感觉神经在内的包括多组颅神经,极易造成神经功能缺损;此外,海绵窦与颈内动脉相接,一旦颈内动脉损伤,就会出现大出血或复杂血管畸形颈内动脉海绵窦瘘,危及生命。
若不去除金属棒,伤者随时有刺破颈内动脉导致大出血可能,但若手术拔出,风险更大。吴教授提出:完善脑血管造影后,尽可能在神经内镜下进行异物取出手术。
神经外科副主任、总院执行主任朱巍教授在查看伤者情况后指出应在神经外科复合手术室(Hybrid)进行手术,要在内镜下明确异物与海绵窦及海绵窦内多组颅神经之关系,并要充分考虑如何在金属棒拔除后出现颈内动脉破裂出血或颈内动脉海绵窦瘘的情况下,挽救患者生命及神经功能。他提出在内镜手术基础上备好颈内动脉覆膜支架,并做好开颅手术准备,如出血进入颅内,可开颅清除血肿、去骨瓣等。
团队在向周良辅院士汇报手术方案时,周院士进一步指出,应在术前完善球囊闭塞实验(BOT),一种在对颅内动脉瘤或肿瘤采用颈动脉治疗性闭塞时用来评价脑组织对缺血耐受程度的技术以提前评估伤者对侧血管代偿情况,万一术中出现无法控制的出血,可考虑直接闭塞一侧颈内动脉。同时,术后需即刻复查造影,评估血管损伤情况。
手术方案最终明确。手术团队与麻醉、手术室护理及输血团队深入沟通,准备为刘先生放手一搏。
十小时接力手术
患者转危为安
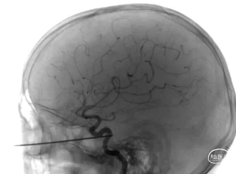
手术当天,余果副教授先进行血管造影。重建的影像再次确认金属棒压迫颈内动脉。当BOT实验及加强实验证实“对侧血管代偿良好”时,整个团队都松了一口气:在万不得已的情况下,至少可以通过闭塞血管挽救患者生命。花玮教授、吴雪海教授、朱侗明及张金森医生负责内镜下操作,朱巍教授全程指导。
内镜下逐步分离后,医生看到金属棒通过海绵窦的“安全三角”进入窦内,解释了为何患者尚未出现严重的症状。极其细致、缓慢拔除金属棒后,大量血液自破口内涌出,紧急压迫止血后进行血管造影,未见明确动脉破裂。治疗团队决定不再进行颈内动脉闭塞,尝试内镜下止血。为了更有效地止血,团队在内镜下逐步去除压迫物后,将常规的材料压扁揉搓成米粒大小的致密止血材料,替代填塞止血,最终成功止住破口的出血。手术结束后再次造影,未见动脉破裂及颈内动脉海绵窦瘘。再看时钟,已经十个小时过去了。
麻醉苏醒后,刘先生神志清楚,已经可以清晰地回答医生的问题,不仅成功地保住了性命,还成功地保住了神经功能。医疗团队随访造影后,排除了迟发性血管损伤的可能。
该伤者的救治,体现了华山医院对于高风险复杂颅内异物的救治能力及技术优势,更是医务人员“以患者为中心”的具体实践。
文丨神经外科 朱侗明
声明:脑医汇旗下神外资讯、神介资讯、神内资讯、脑医咨询、Ai Brain 所发表内容之知识产权为脑医汇及主办方、原作者等相关权利人所有。
投稿邮箱:NAOYIHUI@163.com
未经许可,禁止进行转载、摘编、复制、裁切、录制等。经许可授权使用,亦须注明来源。欢迎转发、分享。