精准治疗 持久安全
NOVA DES®颅内药物洗脱支架植入

赵松
砀山县人民医院
2013年毕业于安徽医科大学
主要擅长脑血管造影术、颈动脉支架植入术、急性脑梗死动脉取栓术、颅内动脉狭窄支架植入术、颅内动脉瘤栓塞术
01
患者基本信息
主诉:反复右侧肢体无力2月。
病史:
患者2月15日无明显诱因下突然出现右侧肢体无力,就诊我科,查头颅MRI+MRA提示:左额顶叶/左枕叶亚急性期脑梗死,左侧大脑中动脉M1段重度狭窄。给予抗血小板聚集/降脂/改善微循环等对症治疗后,好转出院。
3月15日再次出现右侧肢体无力,复查MRI提示:左侧基底节区/侧脑室旁及额顶枕叶急性期脑梗死;CTA提示:左侧大脑中动脉M1段起始部重度狭窄。给予抗血小板聚集/降脂/改善微循环及康复等治疗。
既往史:糖尿病史5年,口服二甲双胍/格列吡嗪/恒格列净控制血糖;高血压病史2年;冠心病史2年。
专科查体:神清,语利,双侧瞳孔等大等圆,双侧鼻唇沟对称,口角不歪,伸舌居中,右下肢肌力约3-级,右上肢肌力2级,肌张力稍弱,右侧巴氏征(+)。NIHSS评分6分(右上肢运动3分,右下肢运动2分,感觉1分),mRS评分3分。
02
影像学资料
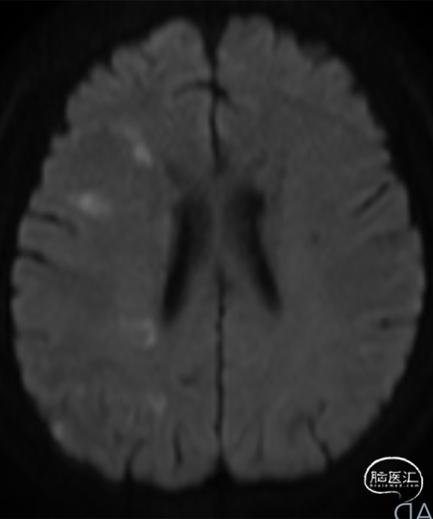
➤2024.2.28 头颅MRI+MRA
左额顶叶/左枕叶亚急性期脑梗死,左侧大脑中动脉M1段重度狭窄。




➤2024.3.2 DSA
左侧大脑中动脉M1段重度狭窄。

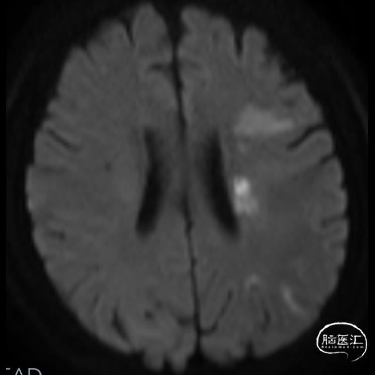
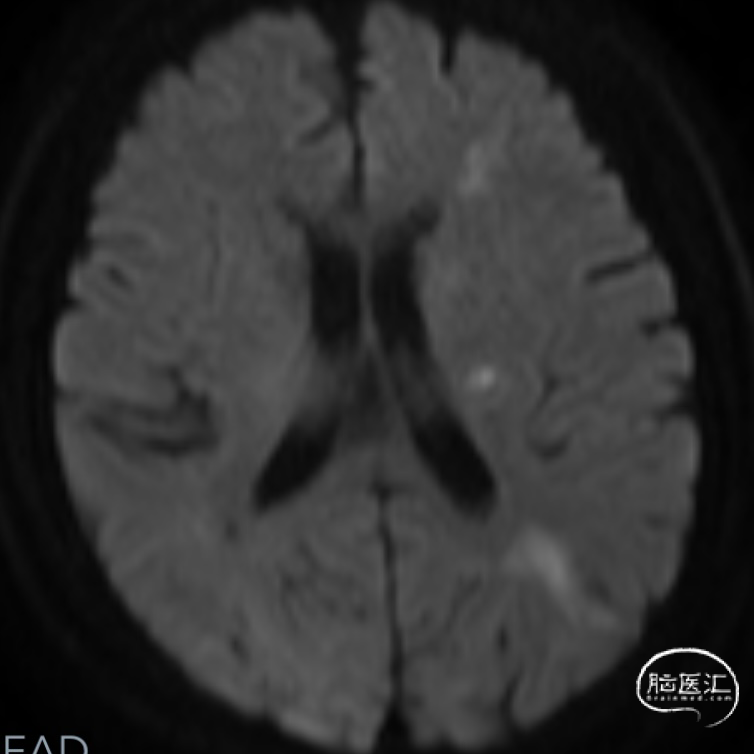
➤2024.3.20 头颅MRI
左侧基底节区/侧脑室旁及额顶枕叶急性期脑梗死。



➤2024.3.20 CTA
左侧大脑中动脉M1段起始部重度狭窄。

03
术前讨论
➤术前诊断
① 左侧大脑中动脉重度狭窄
② 脑梗死
③ 高血压病2级
④ 2型糖尿病
⑤ 冠状动脉粥样硬化性心脏病
➤拟行手术方案
左侧大脑中动脉颅内药物洗脱支架植入术。
04
术中器械
操作入路:
经股动脉入路
导管:
8F短鞘
造影导管:猪尾导管+单弯导管
5F 115cm SOFIA 中间导管
微导管
导丝:
泥鳅导丝
300cm Synchro 微导丝
治疗器械:
赛诺NOVA®颅内药物洗脱支架 2.5*15mm
05
治疗过程
➤经股动脉入路造影影像
II型弓,左侧大脑中动脉M1段重度狭窄(几近闭塞)。








➤手术过程
微导丝带领微导管通过左侧大脑中动脉狭窄段。

微导管冒烟证实在血管真腔内。

沿微导丝将赛诺NOVA®颅内药物洗脱支架 2.5*15mm送至左侧大脑中动脉狭窄段,造影定位准确。

缓慢扩张球囊/释放支架。

06
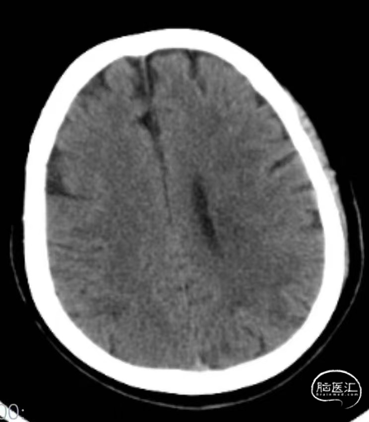
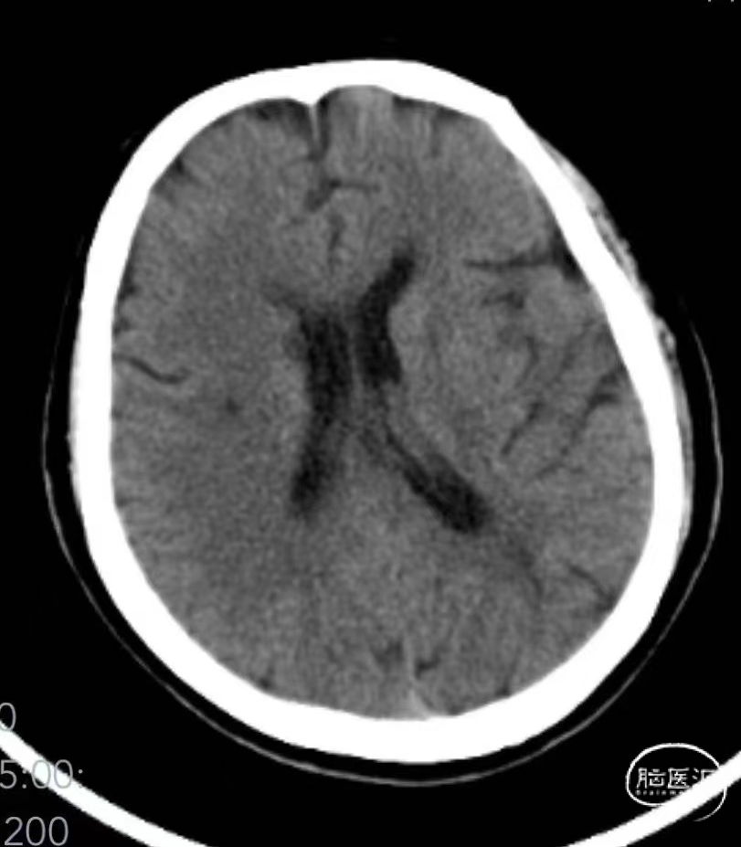
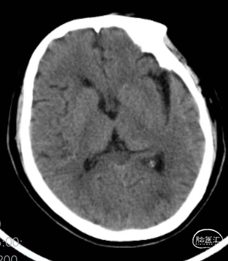
术后情况
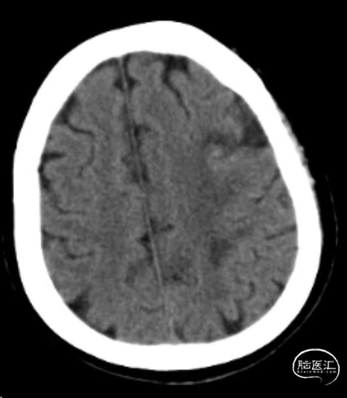
➤术后造影



➤术后CT
术后第二天复查头颅CT:无明显新发脑梗死。NIHSS评分7分(右上肢运动3分,右下肢运动2分,感觉1分,语言1分)。




产品详情
<< 滑动查看下一张图片 >>
公司简介
说明:赛诺神畅医疗科技有限公司为赛诺医疗科学技术股份有限公司控股子公司。
声明:脑医汇旗下神外资讯、神介资讯、脑医咨询、Ai Brain 所发表内容之知识产权为脑医汇及主办方、原作者等相关权利人所有。
投稿邮箱:NAOYIHUI@163.com
未经许可,禁止进行转载、摘编、复制、裁切、录制等。经许可授权使用,亦须注明来源。欢迎转发、分享。
投稿/会议发布,请联系400-888-2526转3。









