本文来源于公众号:第91病区
![]()
知识点
1.椎间盘退变
看T2:椎间盘信号由高变低,失去正常夹层样结构,在T2加权像上椎间盘中央信号减低明显。变性椎间盘以低信号为主,其中混杂有不规则点状高信号,高信号髓核与低信号纤维环分界消失。受累椎间隙变窄,椎间盘变薄。
椎间盘退变的Pfirrmann分级系统
磁共振成像被认为是评估椎间盘突出和随后的神经元压迫的金标准成像方式。
Pfirrmann分级系统是利用MRI对腰椎间盘退变进行分级的可靠分类系统。根据椎间盘信号强度、椎间盘结构、核与环之间的区别以及椎间盘高度,将退行性变分为5个等级。
![]()
2.椎间盘膨出
变性椎间盘的纤维环完整,超出椎体终板的边缘或向后膨突部分不超过4mm。矢状面见变性的椎间盘向后膨出,呈现出凸面向后的弧形改变的低信号。横断面见椎间盘对称地超出椎体终板边缘,无局限性突出。椎间盘膨出的特点是高信号的髓核未突出于低信号的纤维环之外。
3.椎间盘突出
高信号的髓核突出于低信号的纤维环之后,其突出部分仍与髓核母体相连。突出的髓核呈中等强度信号,边缘清楚,位于椎管中央或偏一侧,压迫硬膜囊。突出椎间盘的信号在T1加权像高于脑脊液,低于硬膜外脂肪;在T2加权像低于脑脊液,高于脊髓,与硬膜外脂肪相似。
当突出髓核穿过后纵韧带时,在矢状面上可显示其与未突出的部分“狭颈”相连征象;当突出的椎间盘体积较大时,硬膜囊受压变形。硬膜囊受压的深度在T2加权像显示较好,反映椎间盘突出的间接征象,但突出的直接征象在T1加权像显示明显。
脊髓长期受压,可出现水肿、软化,表现在T1加权像上呈低信号;在T2
加权像上呈高信号
4.髓核游离
高信号的髓核突出于低信号的纤维环之外,其突出部分与髓核母体不相连。突出物可位于原椎间隙水平,也可向上或向下迁移,其范围可达10mm左右。
膨出
突出
脱出
游离
5.神经根受压
椎间盘向侧后方突出时,可造成神经根的受压,在横断面上显示较好,可观察到侧隐窝饱满,神经根淹没,或突出髓核突入椎间孔,推移椎间孔内脂肪,压迫神经根。
L4神经通过L4/5孔从L4椎骨下方伸出,L4/5层面后方椎管内见L5及S1神经根下行。
![]()
![]()
![]()
|
|
|
![]()
![]()
中央管 (CC) 狭窄等级实例:(A) 0 级(正常)CC 狭窄,无蛛网膜下腔闭塞。(B) I 级(轻度)CC 狭窄伴蛛网膜下腔闭塞,但马尾神经明显分离。(C) II 级(中度)CC 狭窄伴有蛛网膜下腔显著闭塞和马尾部分聚集。(D) III 级(严重)CC 狭窄伴蛛网膜下腔完全闭塞;马尾的细根无法区分。
![]()
![]()
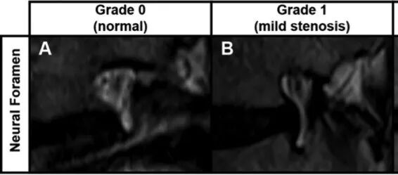
椎间孔(NF)狭窄等级实例:(A) 0 级(正常)NF 狭窄,神经周围脂肪没有消失。(B) 1 级(轻度)NF 狭窄,伴头尾方向神经周围脂肪消失(前后方向神经周围脂肪消失也符合该等级)。(C) 2 级(中度)NF 狭窄,神经周围脂肪在各个方向几乎完全消失,但神经根没有形态学变化。(D) 3 级(严重)NF 狭窄伴神经根受压和形态学改变。
![]()
声明:脑医汇旗下神外资讯、神介资讯、神内资讯、脑医咨询、Ai Brain 所发表内容之知识产权为脑医汇及主办方、原作者等相关权利人所有。
投稿邮箱:NAOYIHUI@163.com
未经许可,禁止进行转载、摘编、复制、裁切、录制等。经许可授权使用,亦须注明来源。欢迎转发、分享。




