本文来源于公众号:第91病区
![]()
知识点
脊柱X线解剖图像
![]()
图6-1 颈椎正位DR平片
1 齿状突 odontoid 2 钩椎关节 uncovertebral joint
3 第5/6颈椎间隙 5th/6th cervical intervertebral space
4 第7颈椎横突 7th cervical transverse process
5 第1胸椎椎体 1st thoracic vertebral body 6 第1肋骨 1st rib
7 棘突 spinous process
8 第5颈椎横突 5th cervical transverse process
9 第4颈椎椎体 4th cervical vertebral body 10 下颌骨 lower jawbone
![]()
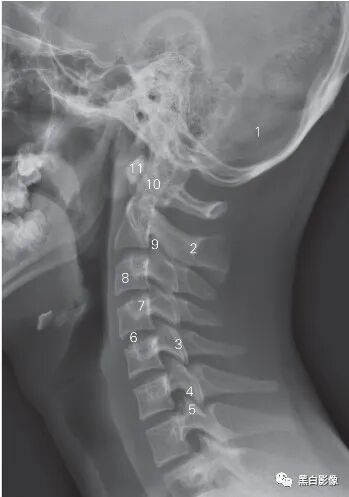
图6-2 颈椎侧位DR平片
1 枕骨 occipital bone 2 第2颈椎棘突 2nd cervical spinous process
3 关节突关节 zygapophyseal joint
4 下关节突 inferior articular process
5 上关节突 superior articular process
6 第4/5颈椎间隙 4th/5th cervical intervertebral space
7 横突 transverse process 8 第3颈椎 3rd cervical vertebra
9 颈2/3椎间孔 2nd/3rd cervical foramen intervertebrale
10 齿状突 odontoid 11 寰椎前弓 anterior tubercle of atlas
![]()
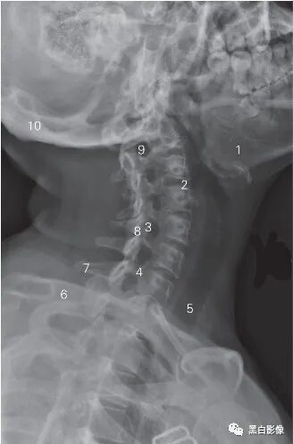
图6-3 颈椎斜位DR平片
1 下颌骨 lower jawbone
2 第3/4颈椎间隙 3rd/4th cervical intervertebral space
3 上关节突 superior articular process 4 椎弓板 lamina arcus vertebrae
5 气管 trachea 6 锁骨 clavicle
7 棘突 spinous process 8 下关节突 inferior articular process
9 第2/3颈椎间孔 2nd/3rd cervical foramen intervertebrale
10 枕骨 occipital bone
![]()
图6-4 腰椎正位DR平片
1 第1腰椎椎体 1st lumbar vertebral body
2 棘突 spinous process 3 横突 transverse process
4 L3/4椎间隙 L3/4 lumber intervertebrale space
5 髂骨 ilium 6 骶骨 sacrum
7 骶髂关节 sacroiliac joint 8 骶骨翼 sacral wing
9 上关节突 superior articular process
10 下关节突 inferior articular process 11 椎弓根 vertebral pedicle
12 关节突关节 zygapophyseal joint
![]()
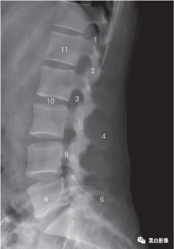
图6-5 腰椎侧位DR 平片
1 上关节突 superior articular process 2 下关节突 inferior articular process
3 椎间孔 foramen intervertebrale 4 棘突 spinous process
5 关节突关节 zygapophyseal joint 6 髂骨 ilium
7 骶骨 sacrum 8 第5腰椎 5th lumbar vertebra
9 椎弓峡部 isthmus vertebral arch
10 L2/3椎间隙 L2/3 lumber intervertebrale space
11 第1腰椎椎体 1st lumbar vertebral body
![]()
图6-6 椎斜位DR平片
1 上关节突 superior articular process 2 关节突关节 zygapophyseal joint
3 椎弓峡部 isthmus of vertebral arch 4 椎间孔 foramen intervertebrale
5 下关节突 inferior articular process 6 髂骨翼 ala of ilium
7 关节突关节 zygapophyseal joint 8 横突 transverse process
9 L2/3椎间隙 L2/3 lumber intervertebrale space
10 第2腰椎椎体 2nd lumbar vertebral body
11 椎弓根 vertebral pedicle
![]()
![]()
声明:脑医汇旗下神外资讯、神介资讯、神内资讯、脑医咨询、Ai Brain 所发表内容之知识产权为脑医汇及主办方、原作者等相关权利人所有。
投稿邮箱:NAOYIHUI@163.com
未经许可,禁止进行转载、摘编、复制、裁切、录制等。经许可授权使用,亦须注明来源。欢迎转发、分享。




