今天为大家分享由上海冬雷脑科医院神外二科张学军、刘旻谛、郑佳佳、霍俊峰、衡东阳、江亦诚、毕玉善、张海珍、曾凡凤带来的:神经内镜经幕下小脑上入路在岩斜区肿瘤术中的应用,欢迎阅读、分享!
概 述
岩斜区肿瘤,指位于上界至鞍背,下界至斜坡的上2/3,内侧至中线,外侧至内听道内侧的肿瘤,常见的有脑膜瘤,胆脂瘤,神经鞘瘤等。
该区域位置深在,解剖结构复杂,是神经外科最具挑战的手术区域之一。
经典的手术入路有颞下岩前入路,乙状窦前入路,乙状窦后入路,额眶颧入路,远外侧入路等。
内镜技术的发展,幕下小脑上入路在岩斜区肿瘤手术治疗中应用将会越来越多。















侧俯卧位(病变侧在上),头部抬高,利用体位和小脑下垂获得充足的手术空间; 跨窦直线切口,骨窗充分显露横窦; 气动臂或者电动臂夹持固定内镜; 充分利用内镜抵近观察,广视野的优势; 经小脑幕与小脑上表面外侧的间隙,结合乙状窦后入路的间隙; 术中需要时游离松解岩上静脉,妥善保护岩上静脉; 处理好肿瘤供血与分块切除肿瘤,妥善保护好脑干、小脑、血管及神经。

滑车神经鞘瘤
01
患者男性,51岁。 主诉:头晕2月,间断复视1月。 查体:神志清楚,右侧外下方复视。 辅助检查:头颅MRI增强影像诊断:右环池占位,神经鞘瘤可能,请结合临床及MRI平扫原片。 诊断:右侧环池占位,考虑神经鞘瘤。 治疗计划:神经内镜下右侧幕下小脑上外侧入路肿瘤切除术。



幕下小脑上外侧入路显露岩上静脉及肿瘤。

显露肿瘤,分离肿瘤,见肿瘤与滑车神经关系密切。

扫码即可观看手术过程
肿瘤切除完毕。


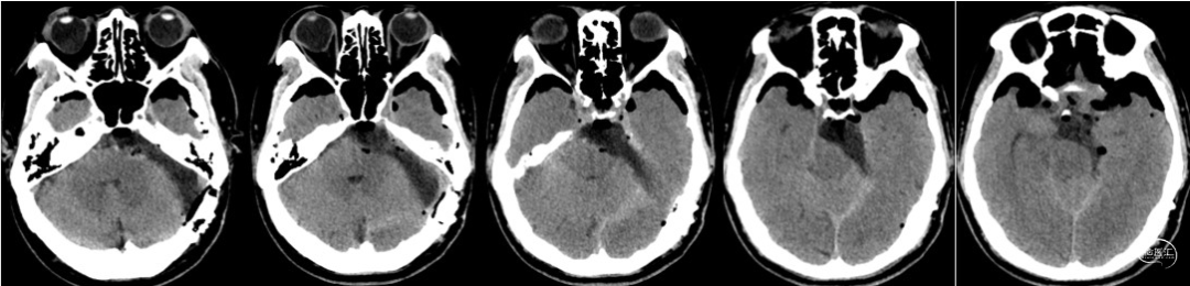
术后CT
岩斜区脑膜瘤
02
梁XX,M,67; 视力下降,复视,左侧耳鸣听力下降,吞咽困难饮水呛咳,行走不稳; 影像学检查提示左侧岩斜区脑膜瘤; 诊断:左侧岩斜区脑膜瘤,梗阻性脑积水; 手术方案:颞下岩前入路?内镜经鼻入路?窦前入路?CPA入路?







术前症状消失或改善
无新发神经功能障碍
脑积水缓解
三叉神经鞘瘤
03
李XX,M,55岁。
左侧面部麻木偶伴疼痛两周。
影响学检查:




诊断:左侧三叉神经鞘瘤
手术方案:内镜经幕下小脑上外侧入路。
手术效果:面部麻木同术前,余无异常。





讨 论
1.岩斜区肿瘤,由于位置深在,周围毗邻的组织血管神经众多,因此,是神经外科最具有挑战的手术区域;
2.目前常用手术的方式有开颅手术,包括额颞入路、颞下岩前入路入路、额眶颧入路、乙状窦前入路、乙状窦后入路;传统开颅手术历史悠久,是经典的入路,手术入路通常较为复杂,技术要求高,一般情况下创伤较大,脑组织牵拉较重,肿瘤与周围脑组织血管神经显露不够直接,难以避免的手术相关并发症较多;
3.内镜经鼻蝶入路是近10余年兴起的,对于肿瘤体积不大、基底较为局限(斜坡、岩尖附近者)较为适合,但是,颅底损伤较大,有脑脊液漏和难治性颅内感染的风险等;
4.随着神经内镜技术的发展,幕下小脑上外侧入路,由于其借助神经内镜抵近观察、广视野、清晰的优势,逐渐成为岩斜区肿瘤的较好的手术方式选择;
5.我们体位选择侧俯卧位(病变侧在上),头部抬高,选择的是枕部直线切口,枕骨跨窦骨瓣,手术对头皮及颅骨损伤较小;横窦暴露范围3cm,外侧显露到乙状窦后缘;硬膜剪开后充分释放小脑延髓池脑脊液,通过体位和充分释放脑脊液,获得幕下小脑上外侧充足的空间,显露肿瘤,避免小脑的牵拉和损伤;
6.术中气动臂或电动臂固定神经内镜保持稳定,充分松解游离岩上静脉;
7.通过瘤内减压缩小肿瘤体积获得更大的术区空间,可以更安全更有效的分离肿瘤与脑干、小脑和周围血管神经;
8.对于脑膜瘤,显露岩斜区的基底更为直接,有效,必要时可以磨除内听道上结节增加显露;
9.必要时可以利用三叉神经与面听神经的间隙协助切除肿瘤。
总 结
1.SCITA是经典的入路;
2.神经内镜使得SCITA焕发了新生、活力;
3.神经内镜搭配SCITA,优势明显,深部病变不再遥不可及;
4.选择合适的病例;
5.手术微创,减少头皮、颅骨损伤,避免脑组织牵拉损伤;
6.利用自然间隙,释放脑脊液和合适的体位小脑自然下垂所显露的空间,直接面对肿瘤,缩瘤和处理肿瘤的基底或“根”,周围血管、神经、脑干都能清晰显露,做到最大程度的保护;
7.利用内镜抵近观察的优势,肿瘤切除满意,周围结构保护确切,可靠止血。
专家简介
![]()
张学军 教授
上海冬雷脑科医院
冬雷脑科医院神外二科主任,核心主诊专家
中国医师协会脑胶质瘤专业委员会委员
上海市医学会神经外科专科分会第十一届委员会肿瘤学组委员
世界华人神经外科协会脊髓脊柱专业委员会委员
中国研究型医院学会脊柱脊髓专业委员会青年委员
中国非公立医疗机构协会脊柱脊髓专业委员会委员
上海市社会医疗机构协会神经外科分会常务委员
冬雷脑科医院神经内镜中心负责人
冬雷脑科神经脊柱诊疗中心负责人
从事神经外科工作20年,对颅脑脊髓肿瘤、脊髓脊柱专科疾病的诊治具有丰富的经验。师从知名的颅底脑干肿瘤专家首都医科大学附属北京天坛医院张俊廷教授
擅长显微技术及神经内镜技术治疗脑脊髓肿瘤,尤其是擅长颅底脑干脑深部等高难度肿瘤等疾病的显微内镜微创手术治疗。发表论文10余篇
![]()
声明:脑医汇旗下神外资讯、神介资讯、神内资讯、脑医咨询、Ai Brain 所发表内容之知识产权为脑医汇及主办方、原作者等相关权利人所有。
投稿邮箱:NAOYIHUI@163.com
未经许可,禁止进行转载、摘编、复制、裁切、录制等。经许可授权使用,亦须注明来源。欢迎转发、分享。










