
病史
患者郭某某于2周前饮酒后发现口唇歪斜,无头晕头痛,无视物不清,无恶心呕吐,无意识障碍,无四肢麻木。遂至当地医院就诊,查MR检查提示:右侧颞顶叶占位,胶质瘤考虑。建议转院治疗,遂至我院门诊就诊,门诊拟“脑恶性肿瘤”收住入院。
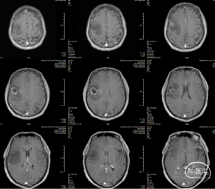
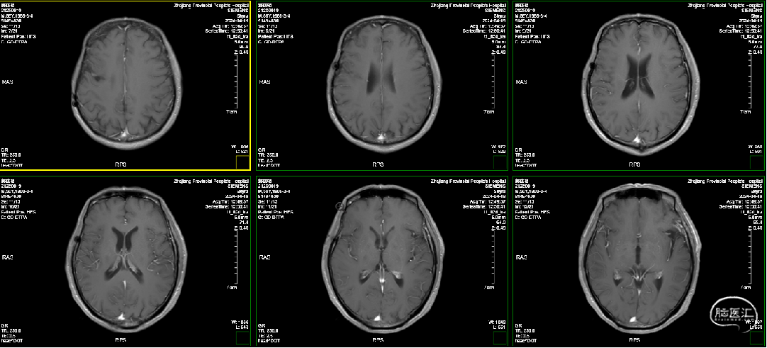
术前MRI:

术中光动力治疗:

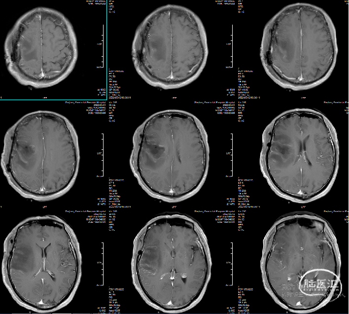
术后MRI:

肿瘤病理分级

术后基本情况
患者术后常规避光无光敏不良反应,神志清、四肢活动正常,切口愈合良好。
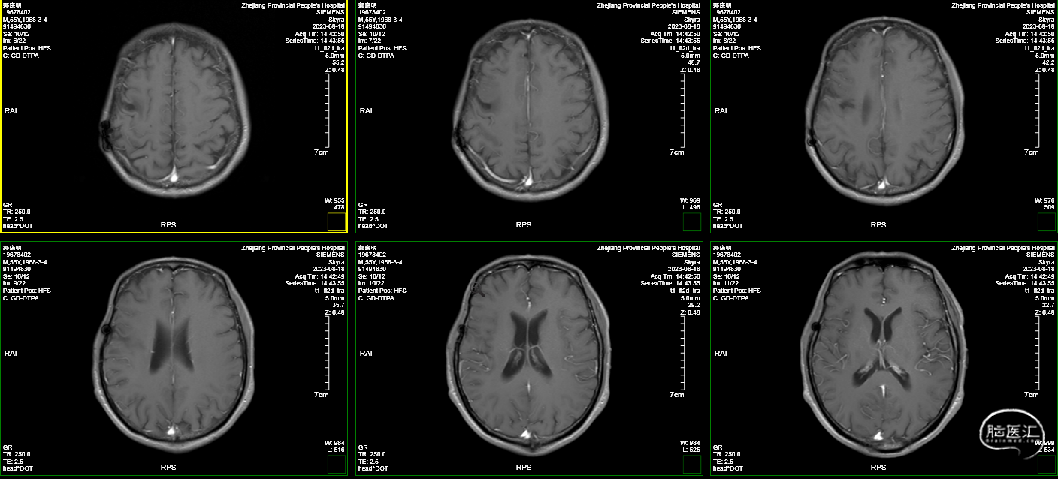
术后一年复查

术后一年半

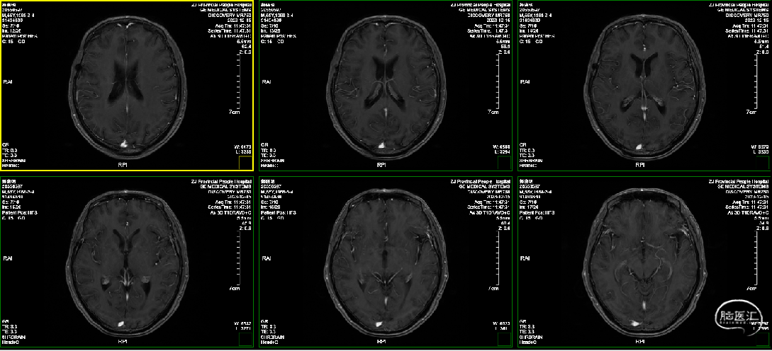
术后2年,患者一般状态良好,肿瘤未见复发,光动力瘢痕形成

专家简介
胡韶山 教授
浙江省人民医院
二级教授,主任医师,博士生导师,浙江省人民医院神经外科主任
现任中国抗癌协会肿瘤光动力治疗专业委员会主任委员、外科学组组长
中华医学会激光医学分会常委兼光动力治疗与肿瘤学组组长
中国临床肿瘤学会肿瘤光动力治疗专家委员会副主任委员
中国抗癌协会理事会理事
中国医师协会脑胶质瘤专业委员会全国委员
中国抗癌学会胶质瘤专业委员会全国委员
中国光学会激光医学分会常委
中国医师协会周围神经专业委员会常务委员
中国卒中学会脑出血微创治疗分会常务委员
中日神经外科联盟委员,常务理事
中国微侵袭神经外科杂志编辑
浙江省抗癌协会神经肿瘤专业委员会副主任委员
浙江省医学会神经外科分会副主任委员
浙江省医师协会脑胶质瘤专业委员会副主任委员
浙江省心脑血管预防与控制专业委员会副主任委员
浙江省医师协会神经外科医师分会常务委员
浙江省卒中学会第二届理事会常务理事等
发表SCI收录论文50余篇,累计影响因子近300,国内各级杂志发表文章60余篇,完成各级科研课题多项,并获得代表专利两项;作为主编、副主编参与撰写多部相关指南和规范;主持国家级科研课题6项(国家自然科学基金4项,中国博士后基金1项,2009年度教育部新世纪优秀人才支持计划1项)和省市级课题多项;获得中国抗癌协会颁布的科技创新奖1项,中国发明创业奖创新奖一等奖1项,黑龙江省政府科技进步三等奖3项,黑龙江省高校科学技术奖1项,黑龙江省医药卫生科技进步一等奖1项,2等奖2项,省卫生厅医疗新技术奖多项
熟练掌握显微神经外科技术、激光光动力治疗技术、脑肿瘤的电化学疗法、神经内镜技术;擅长颅脑损伤、动脉瘤、脑卒中的急诊、急救,各部位动脉瘤和血管畸形显微外科治疗,颞下入路基底动脉瘤夹闭术、经乙状窦前入路、经乳突入路、幕上下联合入路治疗颅底肿瘤手术,脑干内病变(脑血管瘤和胶质瘤)显微外科手术。平均年手术量400台以上,累积近万台神经外科手术经验
专业特长:在脑胶质瘤的光动力治疗和激光神经外科领域处于国内领先地位,尤其在脑胶质瘤的综合治疗领域取得重大突破。针对脑胶质瘤这一世界性难题,围绕脑胶质瘤分子诊断技术和分子标记物检测进行胶质瘤分子诊断,开拓改良的光动力靶向治疗方式,进一步探索脑胶质瘤的发病机制和瘤周异质性。国内率先应用靶向生发界面的光动力技术联合精准显微手术治疗恶性脑胶质瘤,患者2年生存率超过了53%,出现多例超过5年的无瘤生存病例,个别病例生存已经超过十年
科研方向:脑胶质瘤的发生机制以及综合治疗、脑胶质瘤光动力靶向治疗、脑血管病显微外科治疗
![]()
声明:脑医汇旗下神外资讯、神介资讯、神内资讯、脑医咨询、Ai Brain 所发表内容之知识产权为脑医汇及主办方、原作者等相关权利人所有。
投稿邮箱:NAOYIHUI@163.com
未经许可,禁止进行转载、摘编、复制、裁切、录制等。经许可授权使用,亦须注明来源。欢迎转发、分享。





